Skip to main content

Key Product Details

Species Reactivity

Human

Applications

Multiplex Immunofluorescence, Immunohistochemistry, Western Blot, COMET

Label

Unconjugated

Antibody Source

Monoclonal Mouse IgG1 Clone # 1094645

Product Specifications

Immunogen

Synthetic Peptide
Accession # A6NFN3

Specificity

Detects a synthetic peptide specific for human RBFOX3 around amino acid 5 in Direct ELISA. 

Clonality

Monoclonal

Host

Mouse

Isotype

IgG1

Scientific Data Images for Human RBFOX3/NeuN MAb (Clone 1094645)

Detection of RBFOX3 in Human Cerebellum via seqIF™ staining on COMET™​

RBFOX3 was detected in immersion fixed paraffin-embedded sections of human Cerebellum using Mouse Anti-Human RBFOX3, Monoclonal Antibody (Catalog #MAB11665) at 25ug/mL at 37 ° Celsius for 8 minutes. Before incubation with the primary antibody, tissue underwent an all-in-one dewaxing and antigen retrieval preprocessing using PreTreatment Module (PT Module) and Dewax and HIER Buffer H (pH 9; Epredia Catalog # TA-999-DHBH). Tissue was stained using the Alexa Fluor™ 647 Goat anti-Mouse IgG Secondary Antibody at 1:200 at 37 ° Celsius for 8 minutes. (Yellow; Lunaphore Catalog # DR647MS) and counterstained with DAPI (blue; Lunaphore Catalog # DR100). Specific staining was localized to the neuronal nuclei. Protocol available in COMET™ Panel Builder.

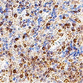
Detection of RBFOX3/NeuN in Human Cerebellum.

RBFOX3/NeuN was detected in immersion fixed paraffin-embedded sections of human cerebellum using Mouse Anti-Human RBFOX3/NeuN Monoclonal Antibody (Catalog # MAB11665) at 5 µg/ml for 1 hour at room temperature followed by incubation with the Anti-Mouse IgG VisUCyte™ HRP Polymer Antibody (Catalog # VC001) or the HRP-conjugated Anti-Mouse IgG Secondary Antibody (Catalog # HAF007). Before incubation with the primary antibody, tissue was subjected to heat-induced epitope retrieval using VisUCyte Antigen Retrieval Reagent-Basic (Catalog # VCTS021). Tissue was stained using DAB (brown) and counterstained with hematoxylin (blue). Specific staining was localized to the nucleus. View our protocol for IHC Staining with VisUCyte HRP Polymer Detection Reagents.

Detection of Human RBFOX3/NeuN by Western Blot.

Western Blot shows lysates of human hippocampus tissue. PVDF membrane was probed with 2 µg/ml of Mouse Anti-Human RBFOX3/NeuN Monoclonal Antibody (Catalog # MAB11665) followed by HRP-conjugated Anti-Mouse IgG Secondary Antibody (Catalog # HAF018). Specific bands were detected for RBFOX3/NeuN at approximately 40 and 50 kDa (as indicated). This experiment was conducted under reducing conditions and using Western Blot Buffer Group 1.

Applications for Human RBFOX3/NeuN MAb (Clone 1094645)

Application
Recommended Usage

COMET

Immunohistochemistry

3-25 µg/mL
Sample: Immersion fixed paraffin-embedded sections of human cerebellum

Multiplex Immunofluorescence

25 µg/mL
Sample: Immersion fixed paraffin-embedded sections of human cerebellum

Western Blot

2 µg/mL
Sample: Human hippocampus tissue

Formulation, Preparation, and Storage

Purification

Protein A or G purified from hybridoma culture supernatant

Reconstitution

Reconstitute lyophilized material at 0.2mg/ml in sterile PBS. For liquid material, refer to CoA for concentration.

Reconstitution Buffer Available:
Size / Price
Qty
Loading...

Formulation

Lyophilized from a 0.2 μm filtered solution in PBS with Trehalose.

Shipping

Lyophilized product is shipped at ambient temperature. Liquid small pack size (-SP) is shipped with polar packs. Upon receipt, store immediately at the temperature recommended below.

Stability & Storage

Use a manual defrost freezer and avoid repeated freeze-thaw cycles.
  • 12 months from date of receipt, -20 to -70 °C as supplied.
  • 1 month, 2 to 8 °C under sterile conditions after reconstitution.
  • 6 months, -20 to -70 °C under sterile conditions after reconstitution.

Background: RBFOX3/NeuN

RBFOX3, also known as Neuronal nuclei (NeuN), is a 34kDa marker of post-mitotic neurons that is highly conserved  among different species.  The RBFOX family regulates alternative slicing and is encoded by three genes: RBFOX1, RBFOX2 and RBFOX3.  RBFOX3 mediates hippocampal circuitry, neurogenesis, and synaptogenesis. RBFOX3 plays a crucial role in normal synaptic function and is implicated in human neurological functions and mutations have been linked to neurodevelopmental delay, cognitive impairment, autistic features, and epilepsy.

References

  1. Wang HY, Hsieh PF, Huang DF, Chin PS, Chou CH, Tung CC, Chen SY, Lee LJ, Gau SS, Huang HS. RBFOX3/NeuN is Required for Hippocampal Circuit Balance and Function. Sci Rep. 2015 Dec 1;5:17383. doi: 10.1038/srep17383. PMID: 26619789; PMCID: PMC4664964. 
  2. Huang DF, Lee CY, Chou MY, Yang TY, Cao X, Hsiao YH, Wu RN, Lien CC, Huang YS, Huang HP, Gau SS, Huang HS. Neuronal splicing regulator RBFOX3 mediates seizures via regulating Vamp1 expression preferentially in NPY-expressing GABAergic neurons. Proc Natl Acad Sci U S A. 2022 Aug 16;119(33):e2203632119. doi: 10.1073/pnas.2203632119. Epub 2022 Aug 11. PMID: 35951651; PMCID: PMC9388145.

Long Name

RNA binding fox-1 homolog 3

Alternate Names

FOX-3, FOX3, HRNBP3, NEUN

Entrez Gene IDs

146713 (Human); 52897 (Mouse); 287847 (Rat)

Gene Symbol

RBFOX3

UniProt

Additional RBFOX3/NeuN Products

Product Documents for Human RBFOX3/NeuN MAb (Clone 1094645)

Certificate of Analysis

To download a Certificate of Analysis, please enter a lot number in the search box below.

Note: Certificate of Analysis not available for kit components.

Product Specific Notices for Human RBFOX3/NeuN MAb (Clone 1094645)

For research use only

Loading...
Loading...
Loading...
Loading...