Human RBFOX3/NeuN Antibody
R&D Systems, part of Bio-Techne | Catalog # MAB11690
Recombinant Monoclonal Antibody.
Conjugate
Catalog #
Key Product Details
Species Reactivity
Human
Applications
Multiplex Immunofluorescence, Immunohistochemistry, Western Blot, COMET
Label
Unconjugated
Antibody Source
Recombinant Monoclonal Rabbit IgG Clone # 3202C
Product Specifications
Immunogen
Synthetic Peptide
Accession # A6NFN3
Accession # A6NFN3
Specificity
Detects a synthetic peptide specific for human RBFOX3 around amino acid 25 in Direct ELISA.
Clonality
Monoclonal
Host
Rabbit
Isotype
IgG
Scientific Data Images for Human RBFOX3/NeuN Antibody
Detection of RBFOX3 in Human Brain Cortex via seqIF™ staining on COMET™
RBFOX3 was detected in immersion fixed paraffin-embedded sections of human brain Cortex using Rabbit Anti-Human RBFOX3, Monoclonal Antibody (Catalog # MAB11690) at 3ug/mL at 37° Celsius for 4 minutes. Before incubation with the primary antibody, tissue underwent an all-in-one dewaxing and antigen retrieval preprocessing using PreTreatment Module (PT Module) and Dewax and HIER Buffer H (pH 9; Epredia Catalog # TA-999-DHBH). Tissue was stained using the Alexa Fluor™ Plus 647 Goat anti-Rabbit IgG Secondary Antibody at 1:200 at 37 ° Celsius for 2 minutes. (Yellow; Lunaphore Catalog # DR647RB) and counterstained with DAPI (blue; Lunaphore Catalog # DR100). Specific staining was localized to the neuronal nuclei. Protocol available in COMET™ Panel Builder.Detection of RBFOX3 in Frozen Mouse Spinal Cord via seqIF™ staining on COMET™
RBFOX3 was detected in perfusion fixed-frozen sections of mouse Spinal Cord using Rabbit Anti-Mouse RBFOX3, Monoclonal Antibody (Catalog# MAB11690) at 5ug/mL at 27° Celsius for 4 minutes. Before incubation with the primary antibody, tissue underwent preprocessing by incubating tissue with Multi Staining Buffer (Lunaphore Catalog # BU06) for 5minutes at room temperature followed by a 20 minute incubation in Tris-Buffered Saline + 0.2% Triton at room temperature. Tissue was stained using the Alexa Fluor™ Plus 555 Goat anti-Rabbit IgG Secondary Antibody at 1:100 at 37 ° Celsius for 2 minutes. (Yellow; Lunaphore Catalog # DR555RB) and counterstained with DAPI (blue; Lunaphore Catalog # DR100). Specific staining was localized to the cytoplasm and nucleus. Protocol available in COMET™ Panel Builder.Detection of RBFOX3 in Frozen Mouse Hippocampus via seqIF™ staining on COMET™
RBFOX3 was detected in perfusion fixed-frozen sections of mouse Hippocampus using Rabbit Anti-Mouse RBFOX3, Monoclonal Antibody (Catalog# MAB11690) at 5ug/mL at 27° Celsius for 4 minutes. Before incubation with the primary antibody, tissue underwent preprocessing by incubating tissue with Multi Staining Buffer (Lunaphore Catalog # BU06) for 5 minutes at room temperature followed by a 20 minute incubation in Tris-Buffered Saline + 0.2% Triton at room temperature. Tissue was stained using the Alexa Fluor™ Plus 555 Goat anti-Rabbit IgG Secondary Antibody at 1:100 at 37 ° Celsius for 2 minutes. (Yellow; Lunaphore Catalog # DR555RB) and counterstained with DAPI (blue; Lunaphore Catalog # DR100). Specific staining was localized to the cytoplasm and nucleus. Protocol available in COMET™ Panel Builder.Applications for Human RBFOX3/NeuN Antibody
Application
Recommended Usage
COMET
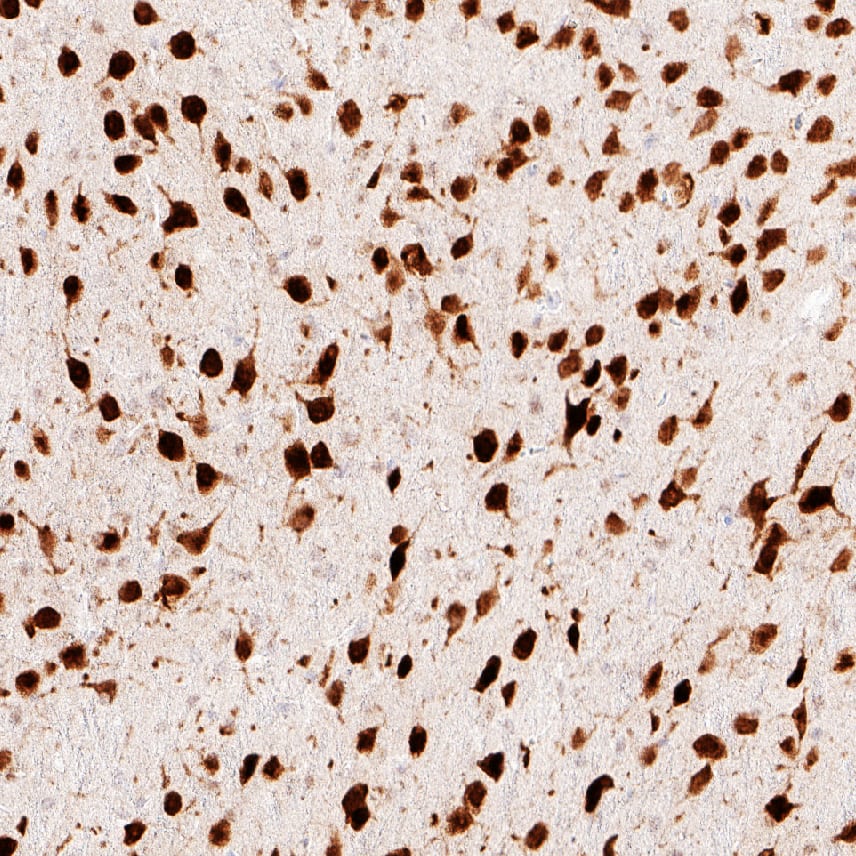
Immunohistochemistry
1-10 µg/mL
Sample: Immersion fixed paraffin-embedded sections of human cerebellum
Sample: Immersion fixed paraffin-embedded sections of human cerebellum
Multiplex Immunofluorescence
3 µg/mL
Sample: Immersion fixed paraffin-embedded sections of human brain cortex
Sample: Immersion fixed paraffin-embedded sections of human brain cortex
Western Blot
2 µg/mL
Sample: Human cerebellum tissue
Sample: Human cerebellum tissue
Formulation, Preparation, and Storage
Purification
Protein A or G purified from hybridoma culture supernatant
Reconstitution
Reconstitute lyophilized material at 0.2 mg/ml in sterile PBS. For liquid material, refer to CoA for concentration.
Formulation
Lyophilized from a 0.2 μm filtered solution in PBS with Trehalose.
Shipping
Lyophilized product is shipped at ambient temperature. Liquid small pack size (-SP) is shipped with polar packs. Upon receipt, store immediately at the temperature recommended below.
Stability & Storage
Use a manual defrost freezer and avoid repeated freeze-thaw cycles.
- 12 months from date of receipt, -20 to -70 °C as supplied.
- 1 month, 2 to 8 °C under sterile conditions after reconstitution.
- 6 months, -20 to -70 °C under sterile conditions after reconstitution.
Background: RBFOX3/NeuN
References
- Wang HY, Hsieh PF, Huang DF, Chin PS, Chou CH, Tung CC, Chen SY, Lee LJ, Gau SS, Huang HS. RBFOX3/NeuN is Required for Hippocampal Circuit Balance and Function. Sci Rep. 2015 Dec 1;5:17383. doi: 10.1038/srep17383. PMID: 26619789; PMCID: PMC4664964.
- Huang DF, Lee CY, Chou MY, Yang TY, Cao X, Hsiao YH, Wu RN, Lien CC, Huang YS, Huang HP, Gau SS, Huang HS. Neuronal splicing regulator RBFOX3 mediates seizures via regulating Vamp1 expression preferentially in NPY-expressing GABAergic neurons. Proc Natl Acad Sci U S A. 2022 Aug 16;119(33):e2203632119. doi: 10.1073/pnas.2203632119. Epub 2022 Aug 11. PMID: 35951651; PMCID: PMC9388145.
Long Name
RNA binding fox-1 homolog 3
Alternate Names
FOX-3, FOX3, HRNBP3, NEUN
Gene Symbol
RBFOX3
UniProt
Additional RBFOX3/NeuN Products
Product Documents for Human RBFOX3/NeuN Antibody
Product Specific Notices for Human RBFOX3/NeuN Antibody
For research use only
Loading...
Loading...
Loading...
Loading...