Skip to main content

Key Product Details

Species Reactivity

Human, Rat

Applications

Immunohistochemistry, Western Blot, Immunocytochemistry, Simple Western

Label

Unconjugated

Antibody Source

Monoclonal Mouse IgG2B Clone # 1006903

Product Specifications

Immunogen

E. coli-derived recombinant human GR/NR3C1
Val271-Lys777
Accession # P04150

Specificity

Detects human GR/NR3C1 in direct ELISAs. Detects human and rat GR/NR3C1 in Western blots.

Clonality

Monoclonal

Host

Mouse

Isotype

IgG2B

Scientific Data Images for Human/Rat GR/NR3C1 Antibody

Detection of Human and Rat GR/NR3C1 antibody by Western Blot.

Detection of Human and Rat GR/NR3C1 by Western Blot.

Western blot shows lysates of HeLa human cervical epithelial carcinoma cell line, U-87 MG human glioblastoma/astrocytoma cell line, A549 human lung carcinoma cell line, and C6 rat glioma cell line. PVDF membrane was probed with 2 µg/mL of Mouse Anti-Human/Rat GR/NR3C1 Monoclonal Antibody (Catalog # MAB10144) followed by HRP-conjugated Anti-Mouse IgG Secondary Antibody (Catalog # HAF018). A specific band was detected for GR/NR3C1 at approximately 85 kDa (as indicated). This experiment was conducted under reducing conditions and using Immunoblot Buffer Group 1.
GR/NR3C1 antibody in HeLa Human Cell Line by Immunocytochemistry (ICC).

GR/NR3C1 in HeLa Human Cell Line.

GR/NR3C1 was detected in immersion fixed HeLa human cervical epithelial carcinoma cell line using Mouse Anti-Human/Rat GR/NR3C1 Monoclonal Antibody (Catalog # MAB10144) at 8 µg/mL for 3 hours at room temperature. Cells were stained using the NorthernLights™ 557-conjugated Anti-Mouse IgG Secondary Antibody (red; Catalog # NL007) and counterstained with DAPI (blue). Specific staining was localized to nuclei. View our protocol for Fluorescent ICC Staining of Cells on Coverslips.
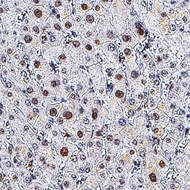
GR/NR3C1 antibody in Human Liver by Immunohistochemistry (IHC-P).

GR/NR3C1 in Human Liver.

GR/NR3C1 was detected in immersion fixed paraffin-embedded sections of human liver using Mouse Anti-Human/Rat GR/NR3C1 Monoclonal Antibody (Catalog # MAB10144) at 5 µg/mL for 1 hour at room temperature followed by incubation with the Anti-Mouse IgG VisUCyte™ HRP Polymer Antibody (Catalog # VC001). Before incubation with the primary antibody, tissue was subjected to heat-induced epitope retrieval using Antigen Retrieval Reagent-Basic (Catalog # CTS013). Tissue was stained using DAB (brown) and counterstained with hematoxylin (blue). Specific staining was localized to nuclei. View our protocol for IHC Staining with VisUCyte HRP Polymer Detection Reagents.

Applications for Human/Rat GR/NR3C1 Antibody

Application
Recommended Usage

Immunocytochemistry

8-25 µg/mL
Sample: Immersion fixed HeLa human cervical epithelial carcinoma cell line

Immunohistochemistry

5-25 µg/mL
Sample: Immersion fixed paraffin-embedded sections of human liver

Simple Western

20 µg/mL
Sample: HeLa human cervical epithelial carcinoma cell line

Western Blot

2 µg/mL
Sample: HeLa human cervical epithelial carcinoma cell line, U‑87 MG human glioblastoma/astrocytoma cell line, A549 human lung carcinoma cell line, and C6 rat glioma cell line

Reviewed Applications

Read 1 review rated 4 using MAB10144 in the following applications:

Formulation, Preparation, and Storage

Purification

Protein A or G purified from hybridoma culture supernatant

Reconstitution

Reconstitute at 0.5 mg/mL in sterile PBS. For liquid material, refer to CoA for concentration.

Reconstitution Buffer Available:
Size / Price
Qty
Loading...

Formulation

Lyophilized from a 0.2 μm filtered solution in PBS with Trehalose. *Small pack size (SP) is supplied either lyophilized or as a 0.2 µm filtered solution in PBS.

Shipping

Lyophilized product is shipped at ambient temperature. Liquid small pack size (-SP) is shipped with polar packs. Upon receipt, store immediately at the temperature recommended below.

Stability & Storage

Use a manual defrost freezer and avoid repeated freeze-thaw cycles.
  • 12 months from date of receipt, -20 to -70 °C as supplied.
  • 1 month, 2 to 8 °C under sterile conditions after reconstitution.
  • 6 months, -20 to -70 °C under sterile conditions after reconstitution.

Background: GR/NR3C1

GR is a glucocorticoid receptor that is expressed in almost every cell in the body and regulates genes controlling development, metabolism and the immune response. The unbound receptor resides in the cytosol of the cell, but upon binding to glucocorticoids, it is translocated to the nucleus where it regulates gene transcription. The activated GR complex up-regulates the expression of anti-inflammatory proteins in the nucleus or acts to repress the expression of pro-inflammatory proteins in the cytosol. It is also involved in chromatin remodeling and plays a role in rapid mRNA degradation.

Long Name

Glucocorticoid Receptor

Alternate Names

NR3C1

Entrez Gene IDs

2908 (Human)

Gene Symbol

NR3C1

UniProt

Additional GR/NR3C1 Products

Product Documents for Human/Rat GR/NR3C1 Antibody

Certificate of Analysis

To download a Certificate of Analysis, please enter a lot number in the search box below.

Note: Certificate of Analysis not available for kit components.

Product Specific Notices for Human/Rat GR/NR3C1 Antibody

For research use only

Loading...
Loading...
Loading...
Loading...