Skip to main content

Human PSMA/FOLH1/NAALADase I Antibody

R&D Systems, part of Bio-Techne | Catalog # MAB4234

R&D Systems, part of Bio-Techne

Key Product Details

Species Reactivity

Validated:

Human

Cited:

Human, Mouse, Rat, Primate - Macaca mulatta (Rhesus Macaque)

Applications

Validated:

Immunohistochemistry, Western Blot, Flow Cytometry, Immunocytochemistry, CyTOF-ready

Cited:

Immunohistochemistry, Western Blot, Immunocytochemistry, Simple Western

Label

Unconjugated

Antibody Source

Monoclonal Mouse IgG2A Clone # 460420

Product Specifications

Immunogen

Chinese hamster ovary cell line CHO-derived recombinant human PSMA/FOLH1/NAALADase I
Lys44-Ala750
Accession # Q04609

Specificity

Detects human PSMA/FOLH1/NAALADase I in direct ELISA and Western blot. In direct ELISAs, less than 10% cross-reactivity with recombinant human (rh) NAALADase-like 2 and no cross-reactivity with rhNAALADase-like 1, rhNAALADase-like 3, recombinant mouse (rm) NAALADase I, or rmNAALAase-like 2 is observed.

Clonality

Monoclonal

Host

Mouse

Isotype

IgG2A

Scientific Data Images for Human PSMA/FOLH1/NAALADase I Antibody

Detection of Human NAALADase I antibody by Western Blot.

Detection of Human NAALADase I by Western Blot.

Western blot shows lysates of human prostate tissue. PVDF membrane was probed with 2 µg/mL of Mouse Anti-Human PSMA/FOLH1/NAALADase I Monoclonal Antibody (Catalog # MAB4234) followed by HRP-conjugated Anti-Mouse IgG Secondary Antibody (Catalog # HAF007). A specific band was detected for NAALADase I at approximately 120 kDa (as indicated). This experiment was conducted under reducing conditions and using Immunoblot Buffer Group 1.
Detection of NAALADase I antibody in LNCaP Human Cell Line antibody by Flow Cytometry.

Detection of NAALADase I in LNCaP Human Cell Line by Flow Cytometry.

LNCaP human prostate cancer cell line was stained with Mouse Anti-Human PSMA/FOLH1/NAALADase I Monoclonal Antibody (Catalog # MAB4234, filled histogram) or isotype control antibody (Catalog # MAB003, open histogram), followed by Phycoerythrin-conjugated Anti-Mouse IgG Secondary Antibody (Catalog # F0102B).
NAALADase I antibody in PC-3 Human Cell Line by Immunocytochemistry (ICC).

NAALADase I in PC‑3 Human Cell Line.

NAALADase I was detected in immersion fixed PC-3 human prostate cancer cell line using Mouse Anti-Human PSMA/FOLH1/ NAALADase I Monoclonal Antibody (Catalog # MAB4234) at 10 µg/mL for 3 hours at room temperature. Cells were stained using the NorthernLights™ 557-conjugated Anti-Mouse IgG Secondary Antibody (red; Catalog # NL007) and counterstained with DAPI (blue). Specific staining was localized to cell surfaces and cytoplasm. View our protocol for Fluorescent ICC Staining of Cells on Coverslips.

Applications for Human PSMA/FOLH1/NAALADase I Antibody

Application
Recommended Usage

CyTOF-ready

Ready to be labeled using established conjugation methods. No BSA or other carrier proteins that could interfere with conjugation.

Flow Cytometry

2.5 µg/106 cells
Sample: LNCaP human prostate cancer cell line

Immunocytochemistry

8-25 µg/mL
Sample: Immersion fixed PC‑3 human prostate cancer cell line

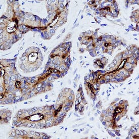
Immunohistochemistry

8-25 µg/mL
Sample: Immersion fixed paraffin-embedded sections of human prostate

Western Blot

2 µg/mL
Sample: Human prostate tissue

Reviewed Applications

Read 2 reviews rated 5 using MAB4234 in the following applications:

Formulation, Preparation, and Storage

Purification

Protein A or G purified from hybridoma culture supernatant

Reconstitution

Reconstitute at 0.5 mg/mL in sterile PBS. For liquid material, refer to CoA for concentration.

Reconstitution Buffer Available:
Size / Price
Qty
Loading...

Formulation

Lyophilized from a 0.2 μm filtered solution in PBS with Trehalose. *Small pack size (SP) is supplied either lyophilized or as a 0.2 µm filtered solution in PBS.

Shipping

Lyophilized product is shipped at ambient temperature. Liquid small pack size (-SP) is shipped with polar packs. Upon receipt, store immediately at the temperature recommended below.

Stability & Storage

Use a manual defrost freezer and avoid repeated freeze-thaw cycles.
  • 12 months from date of receipt, -20 to -70 °C as supplied.
  • 1 month, 2 to 8 °C under sterile conditions after reconstitution.
  • 6 months, -20 to -70 °C under sterile conditions after reconstitution.

Background: PSMA/FOLH1/NAALADase I

Human prostate-specific membrane antigen (PSMA), a tumor marker in prostate cancer encoded by the FOLH1 gene, is a type II transmembrane zinc metallopeptidase that is most highly expressed in the nervous system, prostate, kidney, and small intestine (1, 2). The enzyme is also known as glutamate carboxypeptidase II (GCPII), folate hydrolase 1, folypoly-gamma-glutamate carboxypeptidase (FGCP), and N-acetylated-alpha-linked acidic dipeptidase I (NAALADase I). In the brain, PSMA hydrolyzes the neurotransmitter N-acetyl-Asp-Glu to produce glutamate, another neurotransmitter. Inhibition of brain PSMA activity is considered to be a promising approach for the treatment of neurological disorders associated with glutamate excitotoxicity, such as stroke, chronic pain, and amyotrophic lateral sclerosis (3). Intestinal PSMA hydrolyzes folylpoly-gamma -glutamates, facilitating the uptake of folate (4).

References

  1. Silver, D.A. et al. (1997) Clin. Cancer Res. 3:81.
  2. Carter, R.E. et al. (1996) Pro. Natl. Acad. Sci. USA. 93:749.
  3. Jackson, P.F. and Slusher, B.S. (2001) Curr. Med. Chem. 8:949.
  4. Heston, W.D. (1997) Urology 49:104.

Long Name

Prostate-specific Membrane Antigen

Alternate Names

FGCP, FOLH1, GCP2, GCPII, mopsm, NAALAD1, NAALADase I

Entrez Gene IDs

2346 (Human); 53320 (Mouse); 85309 (Rat); 101866140 (Cynomolgus Monkey)

Gene Symbol

FOLH1

UniProt

Additional PSMA/FOLH1/NAALADase I Products

Product Documents for Human PSMA/FOLH1/NAALADase I Antibody

Certificate of Analysis

To download a Certificate of Analysis, please enter a lot number in the search box below.

Note: Certificate of Analysis not available for kit components.

Product Specific Notices for Human PSMA/FOLH1/NAALADase I Antibody

For research use only

Loading...
Loading...
Loading...
Loading...
Loading...