Skip to main content

Key Product Details

Species Reactivity

Validated:

Human

Cited:

Human, Primate - Chlorocebus pygerythrus (Vervet Monkey)

Applications

Validated:

Immunohistochemistry, Western Blot, ELISA

Cited:

Western Blot, Neutralization, Flow Cytometry

Label

Unconjugated

Antibody Source

Polyclonal Sheep IgG

Product Specifications

Immunogen

Chinese hamster ovary cell line CHO-derived recombinant human PSGL-1/CD162
Thr44-Val295
Accession # NP_002997

Specificity

Detects human PSGL-1/CD162 in direct ELISAs and Western blots.

Clonality

Polyclonal

Host

Sheep

Isotype

IgG

Scientific Data Images for Human PSGL-1/CD162 Antibody

Detection of Human PSGL-1/CD162 antibody by Western Blot.

Detection of Human PSGL‑1/CD162 by Western Blot.

Western blot shows lysates of Jurkat human acute T cell leukemia cell line and human peripheral blood mononuclear cells (PBMCs). PVDF membrane was probed with 0.2 µg/mL of Sheep Anti-Human PSGL-1/CD162 Antigen Affinity-purified Polyclonal Antibody (Catalog # AF3345) followed by HRP-conjugated Anti-Sheep IgG Secondary Antibody (Catalog # HAF016). Specific bands were detected for PSGL-1/CD162 homodimer at approximately 250 kDa and PSGL-1/CD162 monomer at approximately 110 kDa (as indicated). This experiment was conducted under reducing conditions and using Immunoblot Buffer Group 8.
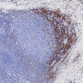
PSGL-1/CD162 antibody in Human Tonsil by Immunohistochemistry (IHC-P).

PSGL‑1/CD162 in Human Tonsil.

PSGL-1/CD162 was detected in immersion fixed paraffin-embedded sections of human tonsil using Sheep Anti-Human PSGL-1/CD162 Antigen Affinity-purified Polyclonal Antibody (Catalog # AF3345) at 3 µg/mL overnight at 4 °C. Tissue was stained using the Anti-Sheep HRP-DAB Cell & Tissue Staining Kit (brown; Catalog # CTS019) and counterstained with hematoxylin (blue). Specific staining was localized to lymphocytes. View our protocol for Chromogenic IHC Staining of Paraffin-embedded Tissue Sections.
Human PSGL-1/CD162 Antibody in ELISA Standard Curve.

Human PSGL‑1/CD162 ELISA Standard Curve.

Recombinant Human PSGL-1/CD162 protein was serially diluted 2-fold and captured by Mouse Anti-Human PSGL-1/CD162 Monoclonal Antibody(Catalog # MAB9962) coated on a Clear Polystyrene Microplate (Catalog # DY990). Sheep Anti-Human PSGL-1/CD162 Antigen Affinity-purified Polyclonal Antibody (Catalog # AF3345) was biotinylated and incubated with the protein captured on the plate. Detection of the standard curve was achieved by incubating Streptavidin-HRP (Catalog # DY998) followed by Substrate Solution (Catalog # DY999) and stopping the enzymatic reaction with Stop Solution (Catalog # DY994).

Applications for Human PSGL-1/CD162 Antibody

Application
Recommended Usage

ELISA

This antibody functions as an ELISA detection antibody when paired with Mouse Anti-Human PSGL‑1/CD162 Monoclonal Antibody(Catalog # MAB9962).

This product is intended for assay development on various assay platforms requiring antibody pairs. We recommend the Human PSGL-1/CD162 DuoSet ELISA (Catalog # DY3345-05) for convenient development of a sandwich ELISA.

Immunohistochemistry

3-15 µg/mL
Sample: Immersion fixed paraffin-embedded sections of human tonsils

Western Blot

0.2 µg/mL
Sample: Jurkat human acute T cell leukemia cell line and human peripheral blood mononuclear cells (PBMCs)

Formulation, Preparation, and Storage

Purification

Antigen Affinity-purified

Reconstitution

Sterile PBS to a final concentration of 0.2 mg/mL. For liquid material, refer to CoA for concentration.

Reconstitution Buffer Available:
Size / Price
Qty
Loading...

Formulation

Lyophilized from a 0.2 μm filtered solution in PBS with Trehalose. *Small pack size (SP) is supplied either lyophilized or as a 0.2 µm filtered solution in PBS.

Shipping

Lyophilized product is shipped at ambient temperature. Liquid small pack size (-SP) is shipped with polar packs. Upon receipt, store immediately at the temperature recommended below.

Stability & Storage

Use a manual defrost freezer and avoid repeated freeze-thaw cycles.
  • 12 months from date of receipt, -20 to -70 °C as supplied.
  • 1 month, 2 to 8 °C under sterile conditions after reconstitution.
  • 6 months, -20 to -70 °C under sterile conditions after reconstitution.

Background: PSGL-1/CD162

Human PSGL-1 (P-Selectin Glycoprotein Ligand-1; also CD162), is a 120 kDa mucin-type glycoprotein that plays a key role in leukocyte adhesion (1-3). It is synthesized as a 412 amino acid (aa) preproprecursor that contains a 17 aa signal sequence, a 24 aa propeptide, a 279 aa extracellular domain (ECD), a 21 aa transmembrane segment and a 71 aa cytoplasmic region (4, 5). Following cleavage of the pre- and prosegments, it is expressed as a 240 kDa disulfide-linked homodimer. The extreme N-terminus (aa 1-16 of the mature molecule) contains one threonine (#16) and three tyrosines (#5, 7, and 10) that are involved in ligand binding. The Thr residue allows for O-linked glycosylation in the form of a core-2 structure (GalNAc-Gal) linked in a beta1,6 bond to a sialylated Lewis X motif (GlcNAc linked to both Fuc and Gal with a terminal sialic acid residue) (1, 2, 5, 6, 7). The three tyrosine residues allow for sulfation (8, 9). When binding to P-selectin, Tyr sulfation and glycosylation are essential. Tyr7 provides the most efficient sulfate moiety, while Fuc and sialic acid are essentially mandatory (7). When binding to
E‑Selectin, only carbohydrate is needed, while both carbohydrate and Tyr10 are used for L-selectin binding (6, 8). There are 16 decameric aa repeats in the ECD of the longform of PSGL-1. This form is referred to as the A allele, and represents 65-80% of the population. Alleles B and C show deletions of decameric repeats #2 (aa 132‑141) plus #9 and 10 (aa 222-241), respectively. Shorter forms may show weaker binding to P-selectin (9, 10). Soluble forms of PSGL-1 are also known. Neutrophil elastase will cleave somewhere within repeats #5-9, while cathepsin G cleaves after Tyr7 (11). The loss of Tyr5 and 7 should impact binding affinity.
PSGL‑1 is found on virtually all leukocytes and macrophages/DC’s (1). Although there is similarity in the organization of the ECD between species, there is little aa identity. Human PSGL-1 ECD is 51%, 52% and 43% aa identical to equine, canine and mouse ECD, respectively.

References

  1. Yang, J. et al. (1999) Thromb. Haemost. 81:1.
  2. Cummings, R.D. (1999) Braz. J. Med. Biol. Res. 32:519.
  3. McEver, R.P. and R.D. Cummings (1997) J. Clin. Invest. 100:485.
  4. Sako, D. et al. (1993) Cell 75:1179.
  5. Veldman, G.M. et al. (1995) J. Biol. Chem. 270:16470.
  6. Bernimoulin, M.P. et al. (2003) J. Biol. Chem. 278:37.
  7. Leppanen, A. et al. (2000) J. Biol. Chem. 275:39569.
  8. Sako, D. et al. (1995) Cell 83:323.
  9. Afshar-Kharghan, V. et al. (2001) Blood 97:3306.
  10. Lozano, M.L. et al. (2001) Br. J. Haematol. 115:969.
  11. Gardiner, E.E. et al. (2001) Blood 98:1440.

Long Name

P-Selectin Glycoprotein Ligand 1

Alternate Names

CD162, PSGL1, SELPLG

Entrez Gene IDs

6404 (Human); 20345 (Mouse); 363930 (Rat)

Gene Symbol

SELPLG

UniProt

Additional PSGL-1/CD162 Products

Product Documents for Human PSGL-1/CD162 Antibody

Certificate of Analysis

To download a Certificate of Analysis, please enter a lot number in the search box below.

Note: Certificate of Analysis not available for kit components.

Product Specific Notices for Human PSGL-1/CD162 Antibody

For research use only

Loading...
Loading...
Loading...
Loading...