Skip to main content

Key Product Details

Species Reactivity

Human

Applications

Immunohistochemistry, Western Blot

Label

Unconjugated

Antibody Source

Monoclonal Mouse IgG2A Clone # 998012

Product Specifications

Immunogen

E. coli-derived recombinant Human Prostaglandin E Synthase 2/PTGES2
Glu88-His377
Accession # Q9H7Z7

Specificity

Detects Human Prostaglandin E Synthase 2/PTGES2 in direct ELISAs.

Clonality

Monoclonal

Host

Mouse

Isotype

IgG2A

Scientific Data Images for Human Prostaglandin E Synthase 2/PTGES2 Antibody

Detection of Human Prostaglandin E Synthase 2/PTGES2 antibody by Western Blot.

Detection of Human Prostaglandin E Synthase 2/PTGES2 by Western Blot.

Western blot shows lysates of SW480 human colorectal adenocarcinoma cell line, COLO 205 human colorectal adenocarcinoma cell line, and human heart tissue. PVDF membrane was probed with 2 µg/mL of Mouse Anti-Human Prostaglandin E Synthase 2/PTGES2 Monoclonal Antibody (Catalog # MAB7627) followed by HRP-conjugated Anti-Mouse IgG Secondary Antibody (Catalog # HAF018). A specific band was detected for Prostaglandin E Synthase 2/PTGES2 at approximately 30 kDa (as indicated). This experiment was conducted under reducing conditions and using Immunoblot Buffer Group 1.
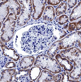
Prostaglandin E Synthase 2/PTGES2 antibody in Human Kidney by Immunohistochemistry (IHC-P).

Prostaglandin E Synthase 2/PTGES2 in Human Kidney.

Prostaglandin E Synthase 2/PTGES2 was detected in immersion fixed paraffin-embedded sections of human kidney using Mouse Anti-Human Prostaglandin E Synthase 2/PTGES2 Monoclonal Antibody (Catalog # MAB7627) at 5 µg/mL for 1 hour at room temperature followed by incubation with the Anti-Mouse IgG VisUCyte™ HRP Polymer Antibody (Catalog # VC001). Before incubation with the primary antibody, tissue was subjected to heat-induced epitope retrieval using Antigen Retrieval Reagent-Basic (Catalog # CTS013). Tissue was stained using DAB (brown) and counterstained with hematoxylin (blue). Specific staining was localized to cytoplasm in epithelial cells in convoluted tubules. View our protocol for IHC Staining with VisUCyte HRP Polymer Detection Reagents.

Applications for Human Prostaglandin E Synthase 2/PTGES2 Antibody

Application
Recommended Usage

Immunohistochemistry

5-25 µg/mL
Sample: Immersion fixed paraffin-embedded sections of human kidney

Western Blot

2 µg/mL
Sample: SW480 human colorectal adenocarcinoma cell line, COLO 205 human colorectal adenocarcinoma cell line, and Human heart tissue

Formulation, Preparation, and Storage

Purification

Protein A or G purified from cell culture supernatant

Reconstitution

Reconstitute at 0.5 mg/mL in sterile PBS. For liquid material, refer to CoA for concentration.

Reconstitution Buffer Available:
Size / Price
Qty
Loading...

Formulation

Lyophilized from a 0.2 μm filtered solution in PBS with Trehalose. *Small pack size (SP) is supplied either lyophilized or as a 0.2 µm filtered solution in PBS.

Shipping

Lyophilized product is shipped at ambient temperature. Liquid small pack size (-SP) is shipped with polar packs. Upon receipt, store immediately at the temperature recommended below.

Stability & Storage

Use a manual defrost freezer and avoid repeated freeze-thaw cycles.
  • 12 months from date of receipt, -20 to -70 °C as supplied.
  • 1 month, 2 to 8 °C under sterile conditions after reconstitution.
  • 6 months, -20 to -70 °C under sterile conditions after reconstitution.

Background: Prostaglandin E Synthase 2/PTGES2

PTGES2 (Prostaglandin E Synthase 2; also C9orf15, GBF-1 and mPGES2) is a 32 kDa member of the GST superfamily of molecules. It is a constitutively expressed, integral membrane protein embedded in the Golgi apparatus, and is found in select cell types, including striated muscle cells, neurons, hepatocytes and astrocytes and endothalium. PTGES2 is proposed to lie at the end of a PGE2 synthetic pathway. PLA2S is known to first releases arachidonic acid (AA) from membrane phospholipids. This AA is next converted to PGH2 by COX-1/-2, and the PGH2 is then potentially isomerized into PGE2 by PTGES type enzymes. Notably, PTGES2 is not a glutathione-dependent enzyme, and some evidence suggests it is not a functional prostaglandin synthase. Human PTGES2 is potentially a 377 amino acid (aa) type III (no signal sequence) transmembrane protein. It contains a 57 aa luminal region, a 17 aa transmembrane segment (aa 58-74) and a 303 aa cytoplasmic domain (aa 75-377). There is one glutaredoxin domain (aa 90-193) and a GST-like region (aa 263-377). Proteolytic cleavage between Ala87Glu88 of 42-43 kDa full-length PTGES2 generates a soluble 32 kDa short form that localizes perinuclearly. There are two potential alternative splice forms. One contains a 19 aa insertion after Ser159, while a second utilizes an alternative start site at Met192. Over aa 88-377, human PTGES2 shares 91% aa sequence identity with mouse PTGES2.

Alternate Names

C9orf15, GBF1, mPGES2, PGES2

Entrez Gene IDs

80142 (Human); 96979 (Mouse); 311865 (Rat)

Gene Symbol

PTGES2

UniProt

Additional Prostaglandin E Synthase 2/PTGES2 Products

Product Documents for Human Prostaglandin E Synthase 2/PTGES2 Antibody

Certificate of Analysis

To download a Certificate of Analysis, please enter a lot number in the search box below.

Note: Certificate of Analysis not available for kit components.

Product Specific Notices for Human Prostaglandin E Synthase 2/PTGES2 Antibody

For research use only

Loading...
Loading...
Loading...
Loading...