Skip to main content

Key Product Details

Species Reactivity

Human

Applications

Immunohistochemistry, Simple Western, Western Blot

Label

Unconjugated

Antibody Source

Monoclonal Mouse IgG1 Clone # 1085531

Product Specifications

Immunogen

E. coli-derived human Prolactin
Leu29-Cys227
Accession # P01236

Specificity

Detects rhProlactin in Direct ELISA

Clonality

Monoclonal

Host

Mouse

Isotype

IgG1

Scientific Data Images for Human Prolactin Antibody

Detection of Human Prolactin by Western Blot.

Western Blot shows lysates of human pituitary tissue. PVDF membrane was probed with 0.5 µg/ml of Mouse Anti-Human Prolactin Monoclonal Antibody (Catalog # MAB11590) followed by HRP-conjugated Anti-Mouse IgG Secondary Antibody (Catalog # HAF018). A specific band was detected for Prolactin at approximately 24 kDa (as indicated). This experiment was conducted under reducing conditions and using Western Blot Buffer Group 1.

Detection of Human Prolactin by Simple WesternTM.

Simple Western shows lysates of human pituitary tissue, loaded at 0.2 mg/ml. A specific band was detected for Prolactin at approximately 29 kDa (as indicated) using 20 µg/mL of Mouse Anti-Human Prolactin Monoclonal Antibody (Catalog # MAB11590). This experiment was conducted under reducing conditions and using the 12-230 kDa separation system.

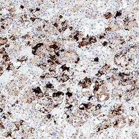
Detection of Prolactin in Human Pituitary.

Prolactin was detected in immersion fixed paraffin-embedded sections of human pituitary using Mouse Anti-Human Prolactin Monoclonal Antibody (Catalog # mab11590) at 5 µg/ml for 1 hour at room temperature followed by incubation with the Anti-Mouse IgG VisUCyte™ HRP Polymer Antibody (Catalog # VC001). Before incubation with the primary antibody, tissue was subjected to heat-induced epitope retrieval using VisUCyte Antigen Retrieval Reagent-Basic (Catalog # VCTS021). Tissue was stained using DAB (brown) and counterstained with hematoxylin (blue). Specific staining was localized to the cytoplasm. View our protocol for IHC Staining with VisUCyte HRP Polymer Detection Reagents.

Applications for Human Prolactin Antibody

Application
Recommended Usage

Immunohistochemistry

3-25 µg/mL
Sample: Immersion fixed paraffin-embedded sections of human pituitary

Simple Western

20 µg/mL
Sample: Human pituitary tissue

Western Blot

0.5 µg/mL
Sample: Human pituitary tissue

Formulation, Preparation, and Storage

Purification

Protein A or G purified from hybridoma culture supernatant

Reconstitution

Reconstitute lyophilized material at 0.2 mg/ml in sterile PBS. For liquid material, refer to CoA for concentration.

Reconstitution Buffer Available:
Size / Price
Qty
Loading...

Formulation

Lyophilized from a 0.2 μm filtered solution in PBS with Trehalose.

Shipping

Lyophilized product is shipped at ambient temperature. Liquid small pack size (-SP) is shipped with polar packs. Upon receipt, store immediately at the temperature recommended below.

Stability & Storage

Use a manual defrost freezer and avoid repeated freeze-thaw cycles.
  • 12 months from date of receipt, -20 to -70 °C as supplied.
  • 1 month, 2 to 8 °C under sterile conditions after reconstitution.
  • 6 months, -20 to -70 °C under sterile conditions after reconstitution.

Background: Prolactin

Prolactin (gene name PRL) is a secreted neuroendocrine pituitary hormone that acts primarily on the mammary gland to promote lactation, but has pleiotropic effects in both males and females (1-6). Prolactin is predominantly found as 199 amino acid, 25 kDa glycosylated and 23 kDa non-glycosylated monomers (6). Human prolactin shares only 60% and 63% amino acid sequence identity with mouse and rat prolactin, respectively, although rat prolactin can activate the human prolactin receptor (3). Post-translational modifications such as polymerization, complex formation with IgG (in humans), glycosylation, and proteolytic cleavage can alter the activities of prolactin (6-8). Non-glycosylated prolactin is produced by the pituitary and packaged in storage granules before secretion, while glycosylated prolactin is reported to be constitutively secreted, have lower biological potency, and be removed from the circulation more quickly (3, 6, 7). Cleavage by matrix metalloproteinases or Cathepsin D can produce N-terminal 16 kDa antiangiogenic fragments also called vasoinhibins (9, 10). Thrombin can produce C-terminal 16 kDa fragments that are not antiangiogenic (3). Prolactin is synthesized mainly by the anterior pituitary in all mammals, where secretion is under tonic inhibition by hypothalamic dopamine (2, 3). In humans, prolactin is also produced peripherally (2-5). Prolactin expression is low during early human pregnancy, but increases in late pregnancy (2, 3). The prolactin receptor (gene name PRLR) is a transmembrane type I glycoprotein that belongs to the cytokine hematopoietic receptor family. Expression of the prolactin receptor is widespread (2-5). Each prolactin molecule is thought to bind two receptor molecules (11). In addition to its lactogenic activity, peripherally produced prolactin plays roles in breast and prostate cancer development, regulation of reproductive function, and immunoregulation (5, 6).

References

  1. Cooke, N.E. et al. (1981) J. Biol. Chem. 256:4007.
  2. Grattan, D.R. and I.C. Kokay (2008) J. Neuroendocrinol. 20:752.
  3. Ben-Jonathan, N. et al. (2008) Endocr. Rev. 29:1.
  4. Bernichtein, S. et al. (2010) J. Endocrinol. 206:1.
  5. Goffin, V. et al. (2011) Nat. Rev. Urology 8:597.
  6. Price, A.E. et al. (1995) Endoc. 136:4827.
  7. Hoffmann, T. et al. (1993) J. Endoc. Invest. 16:807.
  8. Cole, E. et al. (1991) Endoc. 129:2639.
  9. Piwnica, D. et al. (2006) Mol. Endocrinol. 20:3263.
  10. Macotela, Y. et al. (2006) J. Cell Sci. 119:1790.
  11. Broutin, I. et al. (2010) J. Biol. Chem. 285:8422.

Alternate Names

PRL

Entrez Gene IDs

5617 (Human); 19109 (Mouse)

Gene Symbol

PRL

UniProt

Additional Prolactin Products

Product Documents for Human Prolactin Antibody

Certificate of Analysis

To download a Certificate of Analysis, please enter a lot number in the search box below.

Note: Certificate of Analysis not available for kit components.

Product Specific Notices for Human Prolactin Antibody

For research use only

Loading...
Loading...
Loading...
Loading...