Skip to main content

Key Product Details

Species Reactivity

Human

Applications

Immunocytochemistry, Immunohistochemistry, Western Blot

Label

Unconjugated

Antibody Source

Monoclonal Mouse IgG2B Clone # 569012

Product Specifications

Immunogen

E. coli-derived recombinant human Progesterone R B
Met1-Leu189
Accession # P06401

Specificity

Detects human Progesterone R B in Western blots.

Clonality

Monoclonal

Host

Mouse

Isotype

IgG2B

Scientific Data Images for Human Progesterone R B/NR3C3 Antibody

Detection of Human Progesterone R B/NR3C3 antibody by Western Blot.

Detection of Human Progesterone R B/NR3C3 by Western Blot.

Western blot shows lysates of T47D human breast cancer cell line. PVDF membrane was probed with 1 µg/mL of Mouse Anti-Human Progesterone R B/NR3C3 Monoclonal Antibody (Catalog # MAB5886) followed by HRP-conjugated Anti-Mouse IgG Secondary Antibody (Catalog # HAF007). A specific band was detected for Progesterone R B/NR3C3 at approximately 118 kDa (as indicated). This experiment was conducted under reducing conditions and using Immunoblot Buffer Group 3.
Progesterone R B/NR3C3 antibody in T47D Human Cell Line by Immunocytochemistry (ICC).

Progesterone R B/NR3C3 in T47D Human Cell Line.

Progesterone R B/NR3C3 was detected in immersion fixed T47D human breast cancer cell line using Mouse Anti-Human Progesterone R B/NR3C3 Monoclonal Antibody (Catalog # MAB5886) at 3 µg/mL for 3 hours at room temperature. Cells were stained using the NorthernLights™ 557-conjugated Anti-Mouse IgG Secondary Antibody (red; Catalog # NL007) and counterstained with DAPI (blue). Specific staining was localized to nuclei. View our protocol for Fluorescent ICC Staining of Cells on Coverslips.
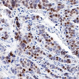
Progesterone R B/NR3C3 antibody in Human Prostate Cancer Tissue by Immunohistochemistry (IHC-P).

Progesterone R B/NR3C3 in Human Prostate Cancer Tissue.

Progesterone R B/NR3C3 was detected in immersion fixed paraffin-embedded sections of human prostate cancer tissue using Mouse Anti-Human Progesterone R B/NR3C3 Monoclonal Antibody (Catalog # MAB5886) at 5 µg/mL for 1 hour at room temperature followed by incubation with the Anti-Mouse IgG VisUCyte™ HRP Polymer Antibody (Catalog # VC001). Tissue was stained using DAB (brown) and counterstained with hematoxylin (blue). Specific staining was localized to nuclei. View our protocol for IHC Staining with VisUCyte HRP Polymer Detection Reagents.

Applications for Human Progesterone R B/NR3C3 Antibody

Application
Recommended Usage

Immunocytochemistry

3-25 µg/mL
Sample: Immersion fixed T47D human breast cancer cell line

Immunohistochemistry

5-25 µg/mL
Sample: Immersion fixed paraffin-embedded sections of human prostate cancer tissue

Western Blot

1 µg/mL
Sample: T47D human breast cancer cell line

Reviewed Applications

Read 1 review rated 5 using MAB5886 in the following applications:

Formulation, Preparation, and Storage

Purification

Protein A or G purified from hybridoma culture supernatant

Reconstitution

Reconstitute at 0.5 mg/mL in sterile PBS. For liquid material, refer to CoA for concentration.

Reconstitution Buffer Available:
Size / Price
Qty
Loading...

Formulation

Lyophilized from a 0.2 μm filtered solution in PBS with Trehalose. *Small pack size (SP) is supplied either lyophilized or as a 0.2 µm filtered solution in PBS.

Shipping

Lyophilized product is shipped at ambient temperature. Liquid small pack size (-SP) is shipped with polar packs. Upon receipt, store immediately at the temperature recommended below.

Stability & Storage

Use a manual defrost freezer and avoid repeated freeze-thaw cycles.
  • 12 months from date of receipt, -20 to -70 °C as supplied.
  • 1 month, 2 to 8 °C under sterile conditions after reconstitution.
  • 6 months, -20 to -70 °C under sterile conditions after reconstitution.

Background: Progesterone R B/NR3C3

Progesterone Receptor B (PR-B) is a 118 kDa member of the NR3 subfamily within the nuclear hormone receptor family of proteins. It is expressed in several tissues, including female reproductive organs as well as neurons throughout the CNS. PR-B is particularly important in the mammary gland where it mediates proliferative responses to progesterone. Human PR-B contains an N-terminal regulatory region (aa1‑566), a DNA binding domain (aa 567‑639), and a steroid-binding region (aa 681‑933). Ligand binding induces a key phosphorylation event at Ser294 by ERK1/2.

Long Name

Progesterone Receptor B

Alternate Names

PGRB, Progesterone RB

Entrez Gene IDs

5241 (Human)

Gene Symbol

PGR

UniProt

Additional Progesterone R B/NR3C3 Products

Product Documents for Human Progesterone R B/NR3C3 Antibody

Certificate of Analysis

To download a Certificate of Analysis, please enter a lot number in the search box below.

Note: Certificate of Analysis not available for kit components.

Product Specific Notices for Human Progesterone R B/NR3C3 Antibody

For research use only

Loading...
Loading...
Loading...
Loading...