Skip to main content

Key Product Details

Validated by

Orthogonal Validation

Species Reactivity

Validated:

Human, Primate

Cited:

Human, Mouse

Applications

Validated:

Immunohistochemistry, Western Blot, ELISA Capture (Matched Antibody Pair), Dual RNAscope ISH-IHC Compatible, Immunocytochemistry

Cited:

Immunohistochemistry, Immunohistochemistry-Paraffin, Western Blot

Label

Unconjugated

Antibody Source

Polyclonal Goat IgG

Product Specifications

Immunogen

E. coli-derived recombinant human IL-17F (R&D Systems, Catalog # 1335-IL)
Arg31-Gln163
Accession # AAK83350

Specificity

Detects human IL-17F in ELISAs and Western blots. In sandwich immunoassays, less than 1% cross-reactivity recombinant human (rh) IL‑17, rhIL‑17B, rhIL-17C, rhIL-17D, rhIL-17E, and recombinant mouse IL-17F is observed.

Clonality

Polyclonal

Host

Goat

Isotype

IgG

Scientific Data Images for Human/Primate IL-17F Antibody

IL-17F antibody in Human Tonsil by Immunohistochemistry (IHC-P).

IL‑17F in Human Tonsil.

IL-17F was detected in immersion fixed paraffin-embedded sections of human tonsil using Goat Anti-Human/Primate IL-17F Antigen Affinity-purified Polyclonal Antibody (Catalog # AF1335) at 3 µg/mL for 1 hour at room temperature followed by incubation with the Anti-Goat IgG VisUCyte™ HRP Polymer Antibody (Catalog # VC004). Before incubation with the primary antibody, tissue was subjected to heat-induced epitope retrieval using Antigen Retrieval Reagent-Basic (Catalog # CTS013). Tissue was stained using DAB (brown) and counterstained with hematoxylin (blue). Specific staining was localized to extracellular space and plasma membrane. View our protocol for IHC Staining with VisUCyte HRP Polymer Detection Reagents.
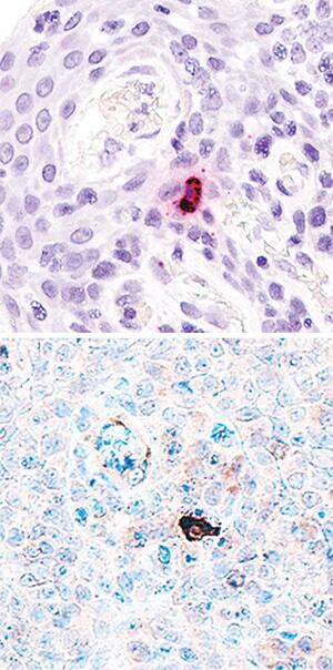
IL-17F antibody in Human Tonsil Using Dual RNAscope®ISH and IHC.

IL-17F in Human Tonsil Using Dual RNAscope®ISH and IHC.

IL-17F mRNA was detected in formalin-fixed paraffin-embedded tissue sections of human tonsil probed with ACD RNAScope® Probe (Catalog # 310941) and stained using ACD RNAscope® 2.5 HD Detection Reagents-Red (top image, Catalog # 32260). Adjacent tissue section was processed for immunohistochemistry using R&D Systems Goat Anti-Human IL-17F Antigen Affinity-purified Polyclonal Antibody (Catalog # AF1335) at 3 ug/mL for 1 hour at room temperature followed by incubation with the Anti-Goat IgG VisUCyte HRP Polymer Antibody (R&D Systems, Catalog # VC004) and DAB chromogen (lower image, yellow-brown). Tissues were counterstained with hematoxylin (blue).

Applications for Human/Primate IL-17F Antibody

Application
Recommended Usage

Dual RNAscope ISH-IHC Compatible

3-15 µg/mL
Sample: Immersion fixed paraffin-embedded sections of human tonsil

Immunocytochemistry

5-15 µg/mL
Sample: Immersion fixed human peripheral blood mononuclear cells treated with PMA and ionomycin.

 

Immunohistochemistry

3-15 µg/mL
Sample: Immersion fixed paraffin-embedded sections of human tonsil

Western Blot

0.1 µg/mL
Sample: Recombinant Human IL-17F (Catalog # 1335-IL)

Human/Primate IL-17F Sandwich Immunoassay

ELISA Capture (Matched Antibody Pair)
Recommended Concentration: 0.2-0.8 µg/mL
Use in combination with these reagents:
  • Detection Reagent: Human/Primate IL-17F Biotinylated Antibody (Catalog # BAF1335)
  • Standard: Recombinant Human IL-17F Protein (Catalog # 1335-IL)
Please Note: Optimal dilutions of this antibody should be experimentally determined.

Reviewed Applications

Read 1 review rated 5 using AF1335 in the following applications:

Formulation, Preparation, and Storage

Purification

Antigen Affinity-purified

Reconstitution

Reconstitute at 0.2 mg/mL in sterile PBS. For liquid material, refer to CoA for concentration.

Reconstitution Buffer Available:
Size / Price
Qty
Loading...

Formulation

Lyophilized from a 0.2 μm filtered solution in PBS with Trehalose. *Small pack size (SP) is supplied either lyophilized or as a 0.2 µm filtered solution in PBS.

Shipping

Lyophilized product is shipped at ambient temperature. Liquid small pack size (-SP) is shipped with polar packs. Upon receipt, store immediately at the temperature recommended below.

Stability & Storage

Use a manual defrost freezer and avoid repeated freeze-thaw cycles.
  • 12 months from date of receipt, -20 to -70 °C as supplied.
  • 1 month, 2 to 8 °C under sterile conditions after reconstitution.
  • 6 months, -20 to -70 °C under sterile conditions after reconstitution.

Background: IL-17F

The Interleukin 17 (IL-17) family proteins, comprising six members (IL-17A through IL-17F), are secreted, structurally related proteins that share a conserved cystine-knot fold near the C-terminus, but have considerable sequence divergence at the N-terminus. With the exception of IL-17B, which exists as a non-covalently linked dimer, all IL-17 family members are disulfide-linked dimers. IL-17 family proteins are pro-inflammatory cytokines that induce local cytokine production and are involved in the regulation of immune functions (1, 2).

Human IL-17F cDNA encodes a 163 aa protein with a putative 30 aa signal peptide. Among IL-17 family members, IL-17F is most closely related to IL-17A (approximately 44% aa sequence homology), but shares only limited sequence homology (16 - 30%) with IL-17B, C, D and E. Human and mouse IL-17F share 55% sequence identity. IL-17F is expressed in activated CD4+ T-cells and activated monocytes. Five receptors (IL-17 RA, B, C, D and E) have been identified (5). Although the ligands for IL-17 RD and E are not known yet, it is reported that IL-17 RA binds IL-17A, and IL-17 RB binds IL-17B and IL-17E. IL-17 RC binds IL-17A and IL-17F with similarly high affinity and functions as a receptor for both IL-17A and IL-17F (5, 6). The biological activities mediated by IL-17F are similar to those of IL‑17. IL‑17F stimulates production of IL-6, IL-8, G-CSF, and regulates cartilage matrix turnover by increasing matrix release and inhibiting new matrix synthesis (4). IL‑17F also inhibits angiogenesis and induces production of IL-2, TGF-beta, and monocyte chemoattractant protein-1 in endothelial cells (3).

References

  1. Aggarwal, S. and A.L. Gurney (2002) J. Leukoc. Biol. 71:1.
  2. Moseley, T.A. et al. (2003) Cytokine & Growth Factor Rev. 14:155.
  3. Starnes, T. et al. (2001) J. Immunol. 167:4137.
  4. Shen, F. & S. L. Gaffen (2008) Cytokine 41:92.
  5. Kuestner, R.E. et al. (2007) J. Immunol. 179:5462.

Long Name

Interleukin 17F

Alternate Names

IL17F

Entrez Gene IDs

112744 (Human); 257630 (Mouse); 301291 (Rat); 708220 (Rhesus Macaque)

Gene Symbol

IL17F

UniProt

Additional IL-17F Products

Product Documents for Human/Primate IL-17F Antibody

Certificate of Analysis

To download a Certificate of Analysis, please enter a lot number in the search box below.

Note: Certificate of Analysis not available for kit components.

Product Specific Notices for Human/Primate IL-17F Antibody

For research use only

Loading...
Loading...
Loading...
Loading...