Skip to main content

Key Product Details

Species Reactivity

Validated:

Human, Primate

Cited:

Human, Mouse

Applications

Validated:

Immunohistochemistry, Western Blot, ELISA Capture (Matched Antibody Pair), Neutralization, Flow Cytometry, CyTOF-ready

Cited:

Immunohistochemistry, Immunohistochemistry-Paraffin, Immunohistochemistry-Frozen, Western Blot, Neutralization, Flow Cytometry, Immunocytochemistry

Label

Unconjugated

Antibody Source

Polyclonal Goat IgG

Product Specifications

Immunogen

E. coli-derived recombinant human CXCL16
Asn49-Pro137
Accession # NP_071342

Specificity

Detects human CXCL16 in ELISAs and Western blots. In ELISAs, less than 0.05% cross-reactivity with recombinant mouse (rm) CXCL16, rm6Ckine, recombinant human (rh) BLC, rhCTACK, rhIL-8, rhPF4, and rhLymphotactin is observed.

Clonality

Polyclonal

Host

Goat

Isotype

IgG

Endotoxin Level

<0.10 EU per 1 μg of the antibody by the LAL method.

Scientific Data Images for Human/Primate CXCL16 Antibody

Chemotaxis Induced by CXCL16 and Neutralization by Human CXCL16 Antibody.

Chemotaxis Induced by CXCL16 and Neutralization by Human CXCL16 Antibody.

Recombinant Human CXCL16 Chemokine Domain (Catalog # 976-CX) induces chemotaxis in BaF3 mouse pro-B cell line transfected with mouse CXCR6 in a dose-dependent manner (orange line). Chemotaxis elicited by Recombinant Human CXCL16 Chemokine Domain (20 ng/mL) is neutralized (green line) by increasing concentrations of Goat Anti-Human/Primate CXCL16 Antigen Affinity-purified Polyclonal Antibody (Catalog # AF976). The ND50 is typically 0.05-0.25 µg/mL.
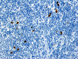
CXCL16 antibody in Human Lymph Node by Immunohistochemistry (IHC-P).

CXCL16 in Human Lymph Node.

CXCL16 was detected in immersion fixed paraffin-embedded sections of human lymph node using Goat Anti-Human/Primate CXCL16 Antigen Affinity-purified Polyclonal Antibody (Catalog # AF976) at 10 µg/mL overnight at 4 °C. Before incubation with the primary antibody tissue was subjected to heat-induced epitope retrieval using Antigen Retrieval Reagent-Basic (Catalog # CTS013). Tissue was stained using the Anti-Goat HRP-DAB Cell & Tissue Staining Kit (brown; Catalog # CTS008) and counterstained with hematoxylin (blue). View our protocol for Chromogenic IHC Staining of Paraffin-embedded Tissue Sections.
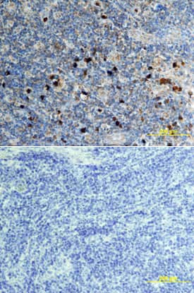
CXCL16 antibody in Human Lymphoma by Immunohistochemistry (IHC-P).

CXCL16 in Human Lymphoma.

CXCL16 was detected in immersion fixed paraffin-embedded sections of human lymphoma using Goat Anti-Human/Primate CXCL16 Antigen Affinity-purified Polyclonal Antibody (Catalog # AF976) at 15 µg/mL overnight at 4 °C. Tissue was stained using the Anti-Goat HRP-DAB Cell & Tissue Staining Kit (brown; Catalog # CTS008) and counterstained with hematoxylin (blue). Lower panel shows a lack of labeling if primary antibodies are omitted and tissue is stained only with secondary antibody followed by incubation with detection reagents. View our protocol for Chromogenic IHC Staining of Paraffin-embedded Tissue Sections.

Applications for Human/Primate CXCL16 Antibody

Application
Recommended Usage

CyTOF-ready

Ready to be labeled using established conjugation methods. No BSA or other carrier proteins that could interfere with conjugation.

Flow Cytometry

0.25 µg/106 cells
Sample: Human monocyte-derived dendritic cells

Immunohistochemistry

5-15 µg/mL
Sample: Immersion fixed paraffin-embedded sections of human lymph node subjected to Antigen Retrieval Reagent-Basic (Catalog # CTS013) and human lymphoma

Western Blot

0.1 µg/mL
Sample: Recombinant Human CXCL16 Chemokine Domain (Catalog # 976-CX)

Neutralization

Measured by its ability to neutralize CXCL16-induced chemotaxis in BaF3 mouse pro‑B cell line transfected with mouse CXCR6. Matloubian, M. et al. (2000) Nat. Immunol.The Neutralization Dose (ND50) is typically
0.05-0.25 μg/mL in the presence of 20 ng/mL Recombinant Human CXCL16 Chemokine Domain.

Human/Primate CXCL16 Sandwich Immunoassay

ELISA Capture (Matched Antibody Pair)
Recommended Concentration: 0.2-0.8 µg/mL
Use in combination with these reagents:
  • Detection Reagent: Human/Primate CXCL16 Biotinylated Antibody (Catalog # BAF976)
  • Standard: Recombinant Human CXCL16 (Histidine-tagged) Protein (Catalog # 1164-CX)
Please Note: Optimal dilutions of this antibody should be experimentally determined.

Reviewed Applications

Read 4 reviews rated 4.5 using AF976 in the following applications:

Formulation, Preparation, and Storage

Purification

Antigen Affinity-purified

Reconstitution

Reconstitute at 0.2 mg/mL in sterile PBS. For liquid material, refer to CoA for concentration.

Reconstitution Buffer Available:
Size / Price
Qty
Loading...

Formulation

Lyophilized from a 0.2 μm filtered solution in PBS with Trehalose. *Small pack size (SP) is supplied either lyophilized or as a 0.2 µm filtered solution in PBS.

Shipping

Lyophilized product is shipped at ambient temperature. Liquid small pack size (-SP) is shipped with polar packs. Upon receipt, store immediately at the temperature recommended below.

Stability & Storage

Use a manual defrost freezer and avoid repeated freeze-thaw cycles.
  • 12 months from date of receipt, -20 to -70 °C as supplied.
  • 1 month, 2 to 8 °C under sterile conditions after reconstitution.
  • 6 months, -20 to -70 °C under sterile conditions after reconstitution.

Background: CXCL16

CXC chemokine ligand 16 (CXCL16) is a type I membrane protein containing a non-ELR motif-containing CXC chemokine domain in its extracellular region. Together with Fractalkine (CX3CL1), CXCL16 constitute the only two transmembrane chemokines within the superfamily. The gene for human CXCL16 predicts a 273 amino acid (aa) residue precursor protein with a putative signal peptide, a CXC chemokine domain, a mucin-like spacer region, a transmembrane domain and a cytoplasmic domain with a potential tyrosine phosphorylation and SH2 protein-binding site. Mouse and human CXCL16 share 70% aa sequence similarity within their chemokine domains and 49% overall aa sequence identity. By northern blot analysis, CXCL16 expression is detected in various human organs except for brain, bone marrow, skeletal muscle or colon. By flow cytometry, CXCL16 has been detected on the surface CD19+ B cells, CD14+ monocytes/macrophages, and CD11c+ splenic and lymph node dendritic cells. Functional CXCL16 can be shed from the cell surface as an approximately 35 kDa soluble protein. The functional receptor for CXCL16 has been identified as CXCR6 (also known as Bonzo, STRL33 or TYMSTR), a receptor previously shown to be a co-receptor for HIV entry. CXCL16 has also been independently cloned and named SRPSOX (scavenger receptor that binds phosphatidylserine and oxidized lipoprotein). It was shown to be a specific receptor for OxLDL but not LDL or acetyl-LDL.

References

  1. Matloubian, M. et al. (2000) Nature Immun. 1:298.
  2. Shimaoka, T. et al. (2000) J. Biol. Chem. 275:40663.
  3. Wilbanks, A. et al. (2001) J. Immun. 166:5145.

Alternate Names

CXCL16

Entrez Gene IDs

58191 (Human); 66102 (Mouse)

Gene Symbol

CXCL16

UniProt

Additional CXCL16 Products

Product Documents for Human/Primate CXCL16 Antibody

Certificate of Analysis

To download a Certificate of Analysis, please enter a lot number in the search box below.

Note: Certificate of Analysis not available for kit components.

Product Specific Notices for Human/Primate CXCL16 Antibody

For research use only

Loading...
Loading...
Loading...
Loading...
Loading...
Loading...