Skip to main content

Key Product Details

Species Reactivity

Human

Applications

Immunohistochemistry, Immunocytochemistry

Label

Unconjugated

Antibody Source

Polyclonal Sheep IgG

Product Specifications

Immunogen

E. coli-derived recombinant human PPM1D
Ser400-Cys605
Accession # O15297

Specificity

Detects human PPM1D in direct ELISAs.

Clonality

Polyclonal

Host

Sheep

Isotype

IgG

Scientific Data Images for Human PPM1D Antibody

PPM1D antibody in MCF-7 Human Cell Line by Immunocytochemistry (ICC).

PPM1D in MCF-7 Human Cell Line.

PPM1D was detected in immersion fixed MCF-7 human breast cancer cell line using Sheep Anti-Human PPM1D Antigen Affinity-purified Polyclonal Antibody (Catalog # AF10120) at 1.7 µg/mL for 3 hours at room temperature. Cells were stained using the NorthernLights™ 557-conjugated Anti-Sheep IgG Secondary Antibody (red; NL010) and counterstained with DAPI (blue). Specific staining was localized to nuclei. View our protocol for Fluorescent ICC Staining of Cells on Coverslips.
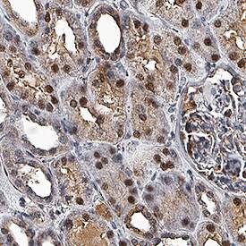
PPM1D antibody in Human Kidney by Immunohistochemistry (IHC-P).

PPM1D in Human Kidney.

PPM1D was detected in immersion fixed paraffin-embedded sections of human kidney using Sheep Anti-Human PPM1D Antigen Affinity-purified Polyclonal Antibody (Catalog # AF10120) at 3 µg/mL for 1 hour at room temperature followed by incubation with the Anti-Sheep IgG VisUCyte™ HRP Polymer Antibody (Catalog # VC006). Before incubation with the primary antibody, tissue was subjected to heat-induced epitope retrieval using Antigen Retrieval Reagent-Basic (Catalog # CTS013). Tissue was stained using DAB (brown) and counterstained with hematoxylin (blue). Specific staining was localized to nuclei. View our protocol for IHC Staining with VisUCyte HRP Polymer Detection Reagents.

Applications for Human PPM1D Antibody

Application
Recommended Usage

Immunocytochemistry

1-15 µg/mL
Sample: Immersion fixed MCF-7 human breast cancer cell line

Immunohistochemistry

3-15 µg/mL
Sample: Immersion fixed paraffin-embedded sections of human kidney

Formulation, Preparation, and Storage

Purification

Antigen Affinity-purified

Reconstitution

Reconstitute at 0.2 mg/mL in sterile PBS. For liquid material, refer to CoA for concentration.

Reconstitution Buffer Available:
Size / Price
Qty
Loading...

Formulation

Lyophilized from a 0.2 μm filtered solution in PBS with Trehalose. See Certificate of Analysis for details.
*Small pack size (-SP) is supplied either lyophilized or as a 0.2 µm filtered solution in PBS.

Shipping

Lyophilized product is shipped at ambient temperature. Liquid small pack size (-SP) is shipped with polar packs. Upon receipt, store immediately at the temperature recommended below.

Stability & Storage

Use a manual defrost freezer and avoid repeated freeze-thaw cycles.
  • 12 months from date of receipt, -20 to -70 °C as supplied.
  • 1 month, 2 to 8 °C under sterile conditions after reconstitution.
  • 6 months, -20 to -70 °C under sterile conditions after reconstitution.

Background: PPM1D

Protein phosphatase 1D, or Wild-type p53-induced phosphatase 1 (WIP-1), is an enzyme encoded by de PPM1D gene. WIP-1 is involved in the negative regulation of p53 expression. WIP1 Phosphatase has been shown to be overexpressed or amplified in human cancers including breast and ovarian cancers, and has been described as a potential therapeutic target in Neuroblastoma; GSK 2830371 is a potent and selective allosteric inhibitor of Wip1 phosphatase (Tocris Cat. 5140).

Long Name

Protein Phosphatase, Mg2+/Mn2+ Dependent, 1D

Alternate Names

PP2C-delta, Wip1

Entrez Gene IDs

8493 (Human)

Gene Symbol

PPM1D

UniProt

Additional PPM1D Products

Product Documents for Human PPM1D Antibody

Certificate of Analysis

To download a Certificate of Analysis, please enter a lot number in the search box below.

Note: Certificate of Analysis not available for kit components.

Product Specific Notices for Human PPM1D Antibody

For research use only

Loading...
Loading...
Loading...
Loading...