Skip to main content

Key Product Details

Species Reactivity

Human

Applications

Immunohistochemistry, Western Blot

Label

Unconjugated

Antibody Source

Monoclonal Mouse IgG1 Clone # 967905

Product Specifications

Immunogen

Human Adrenocorticotropic hormone/ACTH) synthetic peptide
Accession # P01189

Specificity

Detects human POMC in immunohistochemistry.

Clonality

Monoclonal

Host

Mouse

Isotype

IgG1

Scientific Data Images for Human POMC Antibody

Detection of Human POMC antibody by Western Blot.

Detection of Human POMC by Western Blot.

Western blot shows lysates of human pituitary gland tissue. PVDF membrane was probed with 0.5 µg/mL of Mouse Anti-Human POMC Monoclonal Antibody (Catalog # MAB9498) followed by HRP-conjugated Anti-Mouse IgG Secondary Antibody (Catalog # HAF018). Specific bands were detected for POMC at approximately 10-30 kDa (as indicated). This experiment was conducted under reducing conditions and using Immunoblot Buffer Group 1.
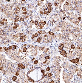
POMC antibody in Human Pituitary by Immunohistochemistry (IHC-P).

POMC in Human Pituitary.

POMC was detected in immersion fixed paraffin-embedded sections of human pituitary using Mouse Anti-Human POMC Monoclonal Antibody (Catalog # MAB9498) at 5 µg/mL for 1 hour at room temperature followed by incubation with the Anti-Mouse IgG VisUCyte™ HRP Polymer Antibody (Catalog # VC001). Tissue was stained using DAB (brown) and counterstained with hematoxylin (blue). Specific staining was localized to corticotroph cells. View our protocol for IHC Staining with VisUCyte HRP Polymer Detection Reagents.

Applications for Human POMC Antibody

Application
Recommended Usage

Immunohistochemistry

5-25 µg/mL
Sample: Immersion fixed paraffin-embedded sections of human pituitary

Western Blot

0.5 µg/mL
Sample: Human pituitary gland tissue

Formulation, Preparation, and Storage

Purification

Protein A or G purified from hybridoma culture supernatant

Reconstitution

Reconstitute at 0.5 mg/mL in sterile PBS. For liquid material, refer to CoA for concentration.

Reconstitution Buffer Available:
Size / Price
Qty
Loading...

Formulation

Lyophilized from a 0.2 μm filtered solution in PBS with Trehalose. *Small pack size (SP) is supplied either lyophilized or as a 0.2 µm filtered solution in PBS.

Shipping

Lyophilized product is shipped at ambient temperature. Liquid small pack size (-SP) is shipped with polar packs. Upon receipt, store immediately at the temperature recommended below.

Stability & Storage

Use a manual defrost freezer and avoid repeated freeze-thaw cycles.
  • 12 months from date of receipt, -20 to -70 °C as supplied.
  • 1 month, 2 to 8 °C under sterile conditions after reconstitution.
  • 6 months, -20 to -70 °C under sterile conditions after reconstitution.

Background: POMC

Adrenocorticotropic hormone (ACTH)/corticotropin is a 39 amino acid peptide generated by cleavage of the POMC, a preprotein which also can also be cleaved to produce MSH, Beta-endorphin and Met-enkephalin, depending on tissue expression and context. ACTH is a ligand for the ACTH receptor, also known as melanocortin receptor 2. ACTH is secreted by the anterior pituitary gland upon stimulation by corticotropin-releasing hormone (CRH) which is secreted by the hypothalamus. The principal effect of ACTH is production of cortisol by the adrenal gland but it also mediates bone formation and osteoblast survival. ACTH has been shown to induce insulin resistance in adipocytes and promote pro-inflammatory adipokine secretion.

Long Name

Proopiomelanocortin

Alternate Names

ACTH, adrenocorticotropic hormone, adrenocorticotropin, alpha-melanocyte-stimulating hormone, alpha-MSH, beta-endorphin, beta-LPH, beta-melanocyte-stimulating hormone, beta-MSH, CLIP, corticotropin-like intermediary peptide, Corticotropin-lipotropin, gamma-LPH, gamma-MSH, lipotropin beta, lipotropin gamma, LPH, melanotropin alpha, melanotropin beta, melanotropin gamma, met-enkephalin, MSH, NPP, POC, pro-ACTH-endorphin, proopiomelanocortin, pro-opiomelanocortin, proopiomelanocortin preproprotein

Entrez Gene IDs

5443 (Human)

Gene Symbol

POMC

UniProt

Additional POMC Products

Product Documents for Human POMC Antibody

Certificate of Analysis

To download a Certificate of Analysis, please enter a lot number in the search box below.

Note: Certificate of Analysis not available for kit components.

Product Specific Notices for Human POMC Antibody

For research use only

Loading...
Loading...
Loading...
Loading...