Skip to main content

Key Product Details

Validated by

Knockout/Knockdown

Species Reactivity

Validated:

Human

Cited:

Human, Mouse

Applications

Validated:

Knockout Validated, Immunohistochemistry, Western Blot, CyTOF-ready

Cited:

Immunohistochemistry, Immunohistochemistry-Paraffin, Immunohistochemistry-Frozen, Western Blot, Flow Cytometry, Immunocytochemistry

Label

Unconjugated

Antibody Source

Polyclonal Goat IgG

Product Specifications

Immunogen

Mouse myeloma cell line NS0-derived recombinant human Podocalyxin
Ser23-Arg427
Accession # AAB61574

Specificity

Detects human Podocalyxin in direct ELISAs and Western blots.

Clonality

Polyclonal

Host

Goat

Isotype

IgG

Scientific Data Images for Human Podocalyxin Antibody

Detection of Podocalyxin antibody in MDA-MB-231 Human Cell Line by Flow Cytometry.

Detection of Podocalyxin antibody in MDA-MB-231 Human Cell Line by Flow Cytometry.

MDA-MB-231 (orange) or MG-63 (blue) human cell lines were stained with Goat Anti-Human Podocalyxin Polyclonal Antibody (Catalog # AF1658, filled histograms) or isotype control antibody AB-108-C, open histograms), followed by Allophycocyanin-conjugated Anti-Goat IgG Secondary Antibody F0108). View our protocol for Staining Membrane-associated Proteins.
Detection of Human Podocalyxin antibody by Western Blot.

Detection of Human Podocalyxin by Western Blot.

Western blot shows lysates of human kidney tissue. PVDF membrane was probed with 1 µg/mL of Goat Anti-Human Podocalyxin Antigen Affinity-purified Polyclonal Antibody (Catalog # AF1658) followed by HRP-conjugated Anti-Goat IgG Secondary Antibody (Catalog # HAF109). A specific band was detected for Podocalyxin at approximately 130 kDa (as indicated). This experiment was conducted under reducing conditions and using Immunoblot Buffer Group 1.
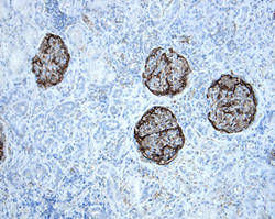
Podocalyxin antibody in Human Kidney by Immunohistochemistry (IHC-P).

Podocalyxin in Human Kidney.

Podocalyxin was detected in immersion fixed paraffin-embedded sections of human kidney using 5 µg/mL Goat Anti-Human Podocalyxin Antigen Affinity-purified Polyclonal Antibody (Catalog # AF1658) overnight at 4 °C. Tissue was stained with the Anti-Goat HRP-DAB Cell & Tissue Staining Kit (brown; Catalog # CTS008) and counterstained with hematoxylin (blue). Specific labeling was localized to podocytes in glomeruli. View our protocol for Chromogenic IHC Staining of Paraffin-embedded Tissue Sections.

Applications for Human Podocalyxin Antibody

Application
Recommended Usage

CyTOF-ready

Ready to be labeled using established conjugation methods. No BSA or other carrier proteins that could interfere with conjugation.

Immunohistochemistry

5-15 µg/mL
Sample: Immersion fixed paraffin-embedded sections of human kidney

Knockout Validated

Podocalyxin/PODXL is specifically detected in HeLa human cervical epithelial carcinoma parental cell line but is not detectable in Podocalyxin/PODXL knockout HeLa cell line.

Western Blot

1 µg/mL
Sample: Human kidney tissue

Formulation, Preparation, and Storage

Purification

Antigen Affinity-purified

Reconstitution

Reconstitute at 0.2 mg/mL in sterile PBS. For liquid material, refer to CoA for concentration.

Reconstitution Buffer Available:
Size / Price
Qty
Loading...

Formulation

Lyophilized from a 0.2 μm filtered solution in PBS with Trehalose. See Certificate of Analysis for details.
*Small pack size (-SP) is supplied either lyophilized or as a 0.2 µm filtered solution in PBS.

Shipping

Lyophilized product is shipped at ambient temperature. Liquid small pack size (-SP) is shipped with polar packs. Upon receipt, store immediately at the temperature recommended below.

Stability & Storage

Use a manual defrost freezer and avoid repeated freeze-thaw cycles.
  • 12 months from date of receipt, -20 to -70 °C as supplied.
  • 1 month, 2 to 8 °C under sterile conditions after reconstitution.
  • 6 months, -20 to -70 °C under sterile conditions after reconstitution.

Background: Podocalyxin

Podocalyxin, also known as Podocalyxin-like protein-1 (PCLP1 or PODXL), is a type I transmembrane glycoprotein. It belongs to the CD34/Podocalyxin family of sialomucins that share structural similarity and sequence homology. Podocalyxin is a major sialoprotein in the podocytes of the kidney glomerulus and is also expressed by both endothelium and multipotent hematopoietic progenitors. It has been identified as a novel cell surface marker for hemangioblasts, the common precursors of hematopoietic and endothelial cells (1, 2).

References

  1.  Li, J. et al. (2001) DNA Seq. 12:407.
  2.  Hara, T. et al. (1999) Immunity 11:567.

Alternate Names

GCTM, PCLP, POD XL, PODXL

Entrez Gene IDs

5420 (Human); 27205 (Mouse)

Gene Symbol

PODXL

UniProt

Additional Podocalyxin Products

Product Documents for Human Podocalyxin Antibody

Certificate of Analysis

To download a Certificate of Analysis, please enter a lot number in the search box below.

Note: Certificate of Analysis not available for kit components.

Product Specific Notices for Human Podocalyxin Antibody

For research use only

Loading...
Loading...
Loading...
Loading...
Loading...