Human PGC1 alpha Antibody
R&D Systems, part of Bio-Techne | Catalog # MAB10784

Key Product Details
Species Reactivity
Applications
Label
Antibody Source
Product Specifications
Immunogen
Glu11-Ile280
Accession # Q9UBK2
Specificity
Clonality
Host
Isotype
Scientific Data Images for Human PGC1 alpha Antibody
Detection of Human PGC1 alpha by Western Blot.
Western blot shows lysates of Jurkat human acute T cell leukemia cell line. PVDF membrane was probed with 2 µg/mL of Mouse Anti-Human PGC1 alpha Monoclonal Antibody (Catalog # MAB10784) followed by HRP-conjugated Anti-Mouse IgG Secondary Antibody (HAF018). A specific band was detected for PGC1 alpha at approximately 145 kDa (as indicated). This experiment was conducted under reducing conditions and using Western Blot Buffer Group 1.PGC1 alpha in A431 Human Cell Line.
PGC1 alpha was detected in immersion fixed A431 human epithelial carcinoma cell line using Mouse Anti-Human PGC1 alpha Monoclonal Antibody (Catalog # MAB10784) at 8 µg/mL for 3 hours at room temperature. Cells were stained using the NorthernLights™ 557-conjugated Anti-Mouse IgG Secondary Antibody (red; NL007) and counterstained with DAPI (blue). Specific staining was localized to cell nuclei. Staining was performed using our protocol for Fluorescent ICC Staining of Non-adherent Cells.PGC1 alpha in Human Liver Cancer.
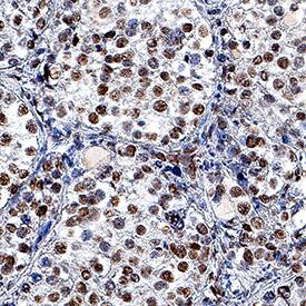
PGC1 alpha was detected in immersion fixed paraffin-embedded sections of human liver cancer tissue using Mouse Anti-Human PGC1 alpha Monoclonal Antibody (Catalog # MAB10784) at 5 µg/mL for 1 hour at room temperature followed by incubation with the Anti-Mouse IgG VisUCyte™ HRP Polymer Antibody (VC001). Before incubation with the primary antibody, tissue was subjected to heat-induced epitope retrieval using Antigen Retrieval Reagent-Basic (CTS013). Tissue was stained using DAB (brown) and counterstained with hematoxylin (blue). Specific staining was localized to nuclei in hepatocytes. Staining was performed using our protocol for IHC Staining with VisUCyte HRP Polymer Detection Reagents.Applications for Human PGC1 alpha Antibody
Immunocytochemistry
Sample: Immersion fixed A431 human epithelial carcinoma cell line
Immunohistochemistry
Sample: Immersion fixed paraffin-embedded sections of human liver cancer
Western Blot
Sample: Jurkat human acute T cell leukemia cell line
Reviewed Applications
Read 1 review rated 5 using MAB10784 in the following applications:
Formulation, Preparation, and Storage
Purification
Reconstitution
Formulation
Shipping
Stability & Storage
- 12 months from date of receipt, -20 to -70 °C as supplied.
- 1 month, 2 to 8 °C under sterile conditions after reconstitution.
- 6 months, -20 to -70 °C under sterile conditions after reconstitution.
Background: PGC1 alpha
PGC1 alpha (PPAR-gamma Coactivator 1 alpha; also LEM6) is a 97-120 kDa member of the PGC-1 family of proteins. It is expressed in select cell types, including brown adipocytes, skeletal muscle and hepatocytes. PGC1 alpha participates in both RNA processing and transcriptional coactivation in conjunction with multiple nuclear hormone receptors such as PPAR gamma, RAR and TR. Human PCG1 alpha is 798 amino acids (aa) in length. It contains an LxxLL nuclear receptor binding motif (aa 144-148), one PPAR-gamma interaction domain (aa 293-339), two NLSs and an RNA binding/processing region (aa 566-710). PGC1 alpha activity is regulated by phosphorylation. AMPK is known to phosphorylate Thr178 and Ser539, promoting cotranscriptional activity. Conversely, Akt-mediated phosphorylation at Ser571 is reported to downregulate PGC1 alpha activity. This latter effect is achieved by an initial Ser571 phosphorylation, followed by GCN5 binding and subsequent PCG1 alpha acetylation that promotes PGC-1 alpha dissociation from target gene promoters.
Long Name
Alternate Names
Gene Symbol
UniProt
Additional PGC1 alpha Products
Product Documents for Human PGC1 alpha Antibody
Product Specific Notices for Human PGC1 alpha Antibody
For research use only