Skip to main content

Key Product Details

Species Reactivity

Validated:

Human

Cited:

Human, Mouse, Rat

Applications

Validated:

Immunohistochemistry, Western Blot, Neutralization

Cited:

Immunohistochemistry, Immunohistochemistry-Paraffin, Western Blot, Neutralization, Flow Cytometry, Immunocytochemistry

Label

Unconjugated

Antibody Source

Monoclonal Mouse IgG1 Clone # 35248

Product Specifications

Immunogen

S. frugiperda insect ovarian cell line Sf 21-derived recombinant human PDGF R alpha

Specificity

Detects human PDGF R alpha in direct ELISAs and Western blots. In direct ELISAs and Western blots, no cross-reactivity with recombinant human PDGF R beta or recombinant mouse PDGF R alpha is observed.

Clonality

Monoclonal

Host

Mouse

Isotype

IgG1

Endotoxin Level

<0.10 EU per 1 μg of the antibody by the LAL method.

Scientific Data Images for Human PDGF R alpha Antibody

Cell Proliferation Induced by PDGF‑AA and Neutralization by Human PDGF R alpha Antibody.

Neutralization by Human PDGF R alpha Antibody

In a functional ELISA, Human PDGF R alpha Antibody (Catalog # MAB322) blocks the binding of Recombinant Human PDGF R alpha Fc Chimera Protein (6765-PR) to Recombinant Human PDGF AA (221-AA). The Neutralization Dose (ND50) for this effect is typically 40.0-400 ng/mL.
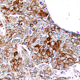
PDGF Ra antibody in Human Breast Cancer Tissue by Immunohistochemistry (IHC-P).

PDGF R alpha in Human Breast Cancer Tissue.

PDGF Ra was detected in immersion fixed paraffin-embedded sections of human breast cancer tissue using Mouse Anti-Human PDGF Ra Monoclonal Antibody (Catalog # MAB322) at 25 µg/mL overnight at 4 °C. Tissue was stained using the Anti-Mouse HRP-DAB Cell & Tissue Staining Kit (brown; Catalog # CTS002) and counterstained with hematoxylin (blue). Specific staining was localized to epithelial cells. View our protocol for Chromogenic IHC Staining of Paraffin-embedded Tissue Sections.

Applications for Human PDGF R alpha Antibody

Application
Recommended Usage

Immunohistochemistry

8-25 µg/mL
Sample: Immersion fixed paraffin-embedded sections of human breast cancer tissue

Western Blot

1 µg/mL
Sample: Recombinant Human PDGF R alpha (Catalog # 322-PR) under non-reducing conditions only

Neutralization

In a functional ELISA, Human PDGF R alpha Antibody (Catalog # MAB322) blocks the binding of Recombinant Human PDGF R alpha Fc Chimera Protein (Catalog # 6765-PR) to Recombinant Human PDGF AA (Catalog # 221-AA). The Neutralization Dose (ND50) for this effect is typically 40.0-400 ng/mL.

Reviewed Applications

Read 3 reviews rated 4.3 using MAB322 in the following applications:

Formulation, Preparation, and Storage

Purification

Protein A or G purified from hybridoma culture supernatant

Reconstitution

Reconstitute at 0.5 mg/mL in sterile PBS. For liquid material, refer to CoA for concentration.

Reconstitution Buffer Available:
Size / Price
Qty
Loading...

Formulation

Lyophilized from a 0.2 μm filtered solution in PBS with Trehalose. See Certificate of Analysis for details.
*Small pack size (-SP) is supplied either lyophilized or as a 0.2 µm filtered solution in PBS.

Shipping

Lyophilized product is shipped at ambient temperature. Liquid small pack size (-SP) is shipped with polar packs. Upon receipt, store immediately at the temperature recommended below.

Stability & Storage

Use a manual defrost freezer and avoid repeated freeze-thaw cycles.
  • 12 months from date of receipt, -20 to -70 °C as supplied.
  • 1 month, 2 to 8 °C under sterile conditions after reconstitution.
  • 6 months, -20 to -70 °C under sterile conditions after reconstitution.

Background: PDGF R alpha

PDGF is a major serum mitogen that can exist as a homo- or heterodimeric protein consisting of disulfide-linked PDGF-A and PDGF-B chains. The PDGF-AA, PDGF‑BB and PDGF-AB isoforms have been shown to bind to two distinct cell surface PDGF receptors with different affinities. Whereas PDGF R alpha binds all three PDGF isoforms with high affinity, PDGF R beta binds PDGF‑BB and AB, but not PDGF-AA. Both PDGF R alpha and PDGF R beta are members of the class III subfamily of receptor tyrosine kinases (RTK) that also includes the receptors for M-CSF, SCF and Flt3 ligand. All class III RTKs are characterized by the presence of five immunoglobulin-like domains in their extracellular region and a split kinase domain in their intracellular region. PDGF binding induces receptor homo-and heterodimerization and signal transduction. The expression of the alpha and beta receptors is independently regulated in various cell types. Only PDGF R alpha is expressed in oligodendrocyte progenitor cells, mesothelial cell and liver endothelial cells. Soluble PDGF-R alpha has been detected in cell conditioned medium and human plasma. Recombinant soluble PDGF R alpha binds PDGF with high affinity and is a potent PDGF antagonist (1).

References

  1. Heldin, C.H. and L. Claesson-Welsh (1994) Guidebook to Cytokines and Their Receptors, Nicola, N.A. (ed) Oxford University Press, New York, NY p. 202.

Long Name

Platelet-derived Growth Factor Receptor alpha

Alternate Names

CD140a, PDGFR alpha, PDGFRA

Entrez Gene IDs

5156 (Human); 18595 (Mouse)

Gene Symbol

PDGFRA

Additional PDGF R alpha Products

Product Documents for Human PDGF R alpha Antibody

Certificate of Analysis

To download a Certificate of Analysis, please enter a lot number in the search box below.

Note: Certificate of Analysis not available for kit components.

Product Specific Notices for Human PDGF R alpha Antibody

For research use only

Loading...
Loading...
Loading...
Loading...
Loading...