Skip to main content

Human PD-1 Antibody

R&D Systems, part of Bio-Techne | Catalog # MAB11638

Recombinant Monoclonal Antibody.
R&D Systems, part of Bio-Techne

Key Product Details

Species Reactivity

Human

Applications

Multiplex Immunofluorescence, Immunohistochemistry, COMET

Label

Unconjugated

Antibody Source

Recombinant Monoclonal Rabbit IgG Clone # 2705E

Product Specifications

Immunogen

Synthetic Peptide
Accession # Q15116

Specificity

Detects a synthetic peptide specific for human PD-1 around amino acid 130 in Direct ELISA.

Clonality

Monoclonal

Host

Rabbit

Isotype

IgG

Scientific Data Images for Human PD-1 Antibody

Detection of PD1 in Human Tonsil via seqIF™ staining on COMET™​

PD1 Antibody was detected in immersion fixed paraffin-embedded sections of human Tonsil using Rabbit Anti-Human PD1, Monoclonal Antibody (Catalog # MAB11638) at 15ug/mL at 37 ° Celsius for 4 minutes. Before incubation with the primary antibody, tissue underwent an all-in-one dewaxing and antigen retrieval preprocessing using PreTreatment Module (PT Module) and Dewax and HIER Buffer H (pH 9; Epredia Catalog # TA-999-DHBH).Tissue was stained using the Alexa Fluor™ Plus 647 Goat anti-Rabbit IgG Secondary Antibody at 1:200 at 37 ° Celsius for 2 minutes. (Yellow; Lunaphore Catalog # DR647RB) and counterstained with DAPI (blue; Lunaphore Catalog # DR100). Specific staining was localized to the membrane. Protocol available in COMET™ Panel Builder.

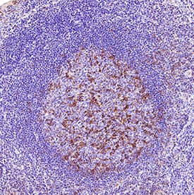
Detection of PD-1 in Human Tonsil.

PD-1 was detected in immersion fixed paraffin-embedded sections of human tonsil using Rabbit Anti-Human PD-1 Monoclonal Antibody (Catalog # MAB11638) at 3 µg/ml for 1 hour at room temperature followed by incubation with the Anti-Rabbit IgG VisUCyte™ HRP Polymer Antibody (Catalog # VC003). Before incubation with the primary antibody, tissue was subjected to heat-induced epitope retrieval using VisUCyte Antigen Retrieval Reagent-Basic (Catalog # VCTS021). Tissue was stained using DAB (brown) and counterstained with hematoxylin (blue). Specific staining was localized to the cell surface. View our protocol for IHC Staining with VisUCyte HRP Polymer Detection Reagents.

Applications for Human PD-1 Antibody

Application
Recommended Usage

COMET

Immunohistochemistry

1-10 µg/mL
Sample: Immersion fixed paraffin-embedded sections of human tonsil

Multiplex Immunofluorescence

15 µg/mL
Sample: Immersion fixed paraffin-embedded sections of human tonsil

Formulation, Preparation, and Storage

Purification

Protein A or G purified from cell culture supernatant

Reconstitution

Reconstitute lyophilized material at 0.2 mg/ml in sterile PBS. For liquid material, refer to CoA for concentration.

Reconstitution Buffer Available:
Size / Price
Qty
Loading...

Formulation

Lyophilized from a 0.2 μm filtered solution in PBS with Trehalose.

Shipping

Lyophilized product is shipped at ambient temperature. Liquid small pack size (-SP) is shipped with polar packs. Upon receipt, store immediately at the temperature recommended below.

Stability & Storage

Use a manual defrost freezer and avoid repeated freeze-thaw cycles.
  • 12 months from date of receipt, -20 to -70 °C as supplied.
  • 1 month, 2 to 8 °C under sterile conditions after reconstitution.
  • 6 months, -20 to -70 °C under sterile conditions after reconstitution.

Background: PD-1

Programmed Death-1 receptor (PD-1), also known as CD279, is type I transmembrane protein belonging to the CD28 family of immune regulatory receptors (1). Other members of this family include CD28, CTLA-4, ICOS, and BTLA (2-5). Mature human PD-1 consists of a 148 amino acid (aa) extracellular region (ECD) with one immunoglobulin-like V-type domain, a 24 aa transmembrane domain, and a 95 aa cytoplasmic region. The human PD-1 ECD shares 65% aa sequence identity with the mouse PD-1 ECD. The cytoplasmic tail contains two tyrosine residues that form the immunoreceptor tyrosine-based inhibitory motif (ITIM) and immunoreceptor tyrosine-based switch motif (ITSM) that are important for mediating PD-1 signaling. PD-1 acts as a monomeric receptor and interacts in a 1:1 stoichiometric ratio with its ligands PD-L1 (B7-H1) and PD-L2 (B7-DC) (6, 7). PD‑1 is expressed on activated T cells, B cells, monocytes, and dendritic cells while PD-L1 expression is constitutive on the same cells and also on nonhematopoietic cells such as lung endothelial cells and hepatocytes (8, 9). Ligation of PD-L1 with PD-1 induces co-inhibitory signals on T cells promoting their apoptosis, anergy, and functional exhaustion (10). Thus, the PD-1: PD-L1 interaction is a key regulator of the threshold of immune response and peripheral immune tolerance (11). Finally, blockade of the PD-1: PD-L1 interaction by either antibodies or genetic manipulation accelerates tumor eradication and shows potential for improving cancer immunotherapy (12, 13, 14).

References

  1. Ishida, Y. et al. (1992) EMBO J. 11:3887.
  2. Sharpe, A.H. and G. J. Freeman (2002) Nat. Rev. Immunol. 2:116.
  3. Coyle, A. and J. Gutierrez-Ramos (2001) Nat. Immunol. 2:203.
  4. Nishimura, H. and T. Honjo (2001) Trends Immunol. 22:265.
  5. Watanabe, N et al. (2003) Nat. Immunol. 4:670.
  6. Zhang, X. et al. (2004) Immunity 20:337.
  7. Lázár-Molnár, E. et al. (2008) Proc. Natl. Acad. Sci. USA 105:10483.
  8. Nishimura, H et al. (1996) Int. Immunol. 8:773.
  9. Keir, M.E. et al. (2008) Annu. Rev. Immunol. 26:677.
  10. Butte, M.J. et al. (2007) Immunity 27:111.
  11. Okazaki, T. et al. (2013) Nat. Immunol. 14:1212.
  12. Iwai, Y. et al. (2002) Proc. Natl. Acad. Sci. USA 99: 12293.
  13. Nogrady, B. (2014) Nature 513:S10.
  14. Swaika, A. et al. (2015) Mol. Immunol. 67:4.

Long Name

Programmed Death-1

Alternate Names

CD279, PD1, PDCD1, SLEB2

Entrez Gene IDs

5133 (Human); 18566 (Mouse); 301626 (Rat); 100533201 (Porcine); 486213 (Canine); 102123659 (Cynomolgus Monkey)

Gene Symbol

PDCD1

UniProt

Additional PD-1 Products

Product Documents for Human PD-1 Antibody

Certificate of Analysis

To download a Certificate of Analysis, please enter a lot number in the search box below.

Note: Certificate of Analysis not available for kit components.

Product Specific Notices for Human PD-1 Antibody

For research use only

Loading...
Loading...
Loading...
Loading...