Skip to main content

Human PAR1 Antibody

R&D Systems, part of Bio-Techne | Catalog # MAB3855

R&D Systems, part of Bio-Techne
Catalog #
Availability
Size / Price
Qty
Loading...
MAB3855-SP
MAB3855

Key Product Details

Species Reactivity

Validated:

Human

Cited:

Human, Rat

Applications

Validated:

Immunohistochemistry, Western Blot, Flow Cytometry, CyTOF-ready

Cited:

Western Blot, Immunocytochemistry

Label

Unconjugated

Antibody Source

Monoclonal Mouse IgG2B Clone # 731115

Product Specifications

Immunogen

E. coli-derived recombinant human PAR1
Arg27-Thr102, Ser375-Thr425
Accession # P25116

Specificity

Detects human PAR1 in direct ELISAs and Western blots.

Clonality

Monoclonal

Host

Mouse

Isotype

IgG2B

Scientific Data Images for Human PAR1 Antibody

Detection of Human PAR1 antibody by Western Blot.

Detection of Human PAR1 by Western Blot.

Western blot shows lysates of Y-79 human retinoblastoma cell line. PVDF membrane was probed with 2 µg/mL of Mouse Anti-Human PAR1 Monoclonal Antibody (Catalog # MAB3855) followed by HRP-conjugated Anti-Mouse IgG Secondary Antibody (Catalog # HAF007). A specific band was detected for PAR1 at approximately 65 kDa (as indicated). This experiment was conducted under reducing conditions and using Immunoblot Buffer Group 1.
Detection of PAR1 antibody in HT-29 Human Cell Line antibody by Flow Cytometry.

Detection of PAR1 in HT‑29 Human Cell Line by Flow Cytometry.

HT-29 human colon adenocarcinoma cell line was stained with Mouse Anti-Human PAR1 Monoclonal Antibody (Catalog # MAB3855, filled histogram) or isotype control antibody (Catalog # MAB0041, open histogram), followed by Allophycocyanin-conjugated Anti-Mouse IgG Secondary Antibody (Catalog # F0101B).
Detection of PAR1 antibody in Human Peripheral Blood Platelets antibody by Flow Cytometry.

Detection of PAR1 in Human Peripheral Blood Platelets by Flow Cytometry.

Human peripheral blood platelets were stained with Mouse Anti-Human Integrin a2b/CD41 PE-conjugated Monoclonal Antibody (Catalog # FAB7616P) and either (A) Mouse Anti-Human PAR1 Monoclonal Antibody (Catalog # MAB3855) or (B) Mouse IgG2BFlow Cytometry Isotype Control (Catalog # MAB0041) followed by Allophycocyanin-conjugated Anti-Mouse IgG Secondary Antibody (Catalog # F0101B).

Applications for Human PAR1 Antibody

Application
Recommended Usage

CyTOF-ready

Ready to be labeled using established conjugation methods. No BSA or other carrier proteins that could interfere with conjugation.

Flow Cytometry

0.25 µg/106 cells
Sample: Human peripheral blood platelets or HT‑29 human colon adenocarcinoma cell line

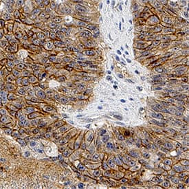
Immunohistochemistry

5-25 µg/mL
Sample:

Immersion fixed paraffin-embedded sections of human colon cancer tissue

Western Blot

2 µg/mL
Sample: Y‑79 human retinoblastoma cell line

Formulation, Preparation, and Storage

Purification

Protein A or G purified from hybridoma culture supernatant

Reconstitution

Sterile PBS to a final concentration of 0.5 mg/mL. For liquid material, refer to CoA for concentration.

Reconstitution Buffer Available:
Size / Price
Qty
Loading...

Formulation

Lyophilized from a 0.2 μm filtered solution in PBS with Trehalose. *Small pack size (SP) is supplied either lyophilized or as a 0.2 µm filtered solution in PBS.

Shipping

Lyophilized product is shipped at ambient temperature. Liquid small pack size (-SP) is shipped with polar packs. Upon receipt, store immediately at the temperature recommended below.

Stability & Storage

Use a manual defrost freezer and avoid repeated freeze-thaw cycles.
  • 12 months from date of receipt, -20 to -70 °C as supplied.
  • 1 month, 2 to 8 °C under sterile conditions after reconstitution.
  • 6 months, -20 to -70 °C under sterile conditions after reconstitution.

Background: PAR1

Human Proteinase-Activated Receptor 1 (hPAR1), also known as thrombin receptor, is a 65-70 kDa, 399 amino acid long member of the seven-transmembrane superfamily of cell-surface G protein-coupled receptors. PAR1 is activated by thrombin cleavage of its N-terminal propeptide in the extracellular domain. Human PAR1 is widely expressed in many cell types including endothelial cells, and it has been implicated in a variety of inflammatory responses. Over the regions used as immunogen, human and mouse PAR1 proteins are 58% identical in the region spanning the propeptide and extracellular domains, and 84% identical in the cytoplasmic tail.

Long Name

Protease-Activated Receptor 1

Alternate Names

Cf2r, F2R, HTR, ThrR, TRGPC

Entrez Gene IDs

2149 (Human); 14062 (Mouse); 25439 (Rat)

Gene Symbol

F2R

UniProt

Additional PAR1 Products

Product Documents for Human PAR1 Antibody

Certificate of Analysis

To download a Certificate of Analysis, please enter a lot number in the search box below.

Note: Certificate of Analysis not available for kit components.

Product Specific Notices for Human PAR1 Antibody

For research use only

Loading...
Loading...
Loading...
Loading...
Loading...