Human p21/CIP1/CDKN1A Antibody
R&D Systems, part of Bio-Techne | Catalog # MAB1047
Conjugate
Catalog #
Key Product Details
Validated by
Biological Validation
Species Reactivity
Validated:
Human
Cited:
Human
Applications
Validated:
Immunohistochemistry, Western Blot, Intracellular Staining by Flow Cytometry, Immunoprecipitation
Cited:
Western Blot
Label
Unconjugated
Antibody Source
Monoclonal Mouse IgG2A Clone # 195720
Product Specifications
Immunogen
E. coli-derived recombinant human p21/CIP1/CDKN1A
Ser2-Pro164
Accession # P38936
Ser2-Pro164
Accession # P38936
Specificity
Detects human p21/CIP1/CDKN1A in direct ELISAs and Western blots.
Clonality
Monoclonal
Host
Mouse
Isotype
IgG2A
Scientific Data Images for Human p21/CIP1/CDKN1A Antibody
Detection of Human p21/CIP1/CDKN1A by Western Blot.
Western blot shows lysates of MCF-7 human breast cancer cell line untreated (-) or treated (+) with 1 µM camptothecin (CPT) for 16 hours. PVDF membrane was probed with 2 µg/mL of Mouse Anti-Human p21/CIP1/CDKN1A Monoclonal Antibody (Catalog # MAB1047), followed by HRP-conjugated Anti-Mouse IgG Secondary Antibody (Catalog # HAF007). A specific band was detected for p21/CIP1/CDKN1A at approximately 21 kDa (as indicated). This experiment was conducted under reducing conditions and using Immunoblot Buffer Group 1.p21/CIP1/CDKN1A in Human Breast Cancer Tissue.
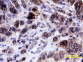
p21/CIP1/CDKN1A was detected in immersion fixed paraffin-embedded sections of human breast cancer tissue using Mouse Anti-Human p21/ CIP1/CDKN1A Monoclonal Antibody (Catalog # MAB1047) at 15 µg/mL overnight at 4 °C. Before incubation with the primary antibody tissue was subjected to heat-induced epitope retrieval using Antigen Retrieval Reagent-Basic (Catalog # CTS013). Tissue was stained using the Anti-Mouse HRP-DAB Cell & Tissue Staining Kit (brown; Catalog # CTS002) and counterstained with hematoxylin (blue). View our protocol for Chromogenic IHC Staining of Paraffin-embedded Tissue Sections.Detection of p21/Cip1/CDKN1A in MCF‑7 Human Cell Line by Flow Cytometry.
MCF-7 human breast cancer cell line either treated with 1 µM camptothecin (CPT) for 16 hours (filled histogram) or untreated (open histogram) was stained with Mouse Anti-Human p21/CIP1/CDKN1A Monoclonal Antibody (Catalog # MAB1047), followed by Phycoerythrin-conjugated Anti-Mouse IgG Secondary Antibody (Catalog # F0102B). To facilitate intracellular staining, cells were fixed with Flow Cytometry Fixation Buffer (Catalog # FC004) and permeabilized with Flow Cytometry Permeabilization/Wash Buffer I (Catalog # FC005). View our protocol for Staining Intracellular Molecules.Applications for Human p21/CIP1/CDKN1A Antibody
Application
Recommended Usage
Immunohistochemistry
8-25 µg/mL
Sample: Immersion fixed paraffin-embedded sections of human breast cancer tissue
Sample: Immersion fixed paraffin-embedded sections of human breast cancer tissue
Immunoprecipitation
4 µg/500 µg cell lysate
Sample: MCF‑7 human breast cancer cell line treated with camptothecin (CPT), see our available Western blot detection antibodies
Sample: MCF‑7 human breast cancer cell line treated with camptothecin (CPT), see our available Western blot detection antibodies
Intracellular Staining by Flow Cytometry
0.25 µg/106 cells
Sample: MCF‑7 human breast cancer cell line treated with 1 μM camptothecin (CPT) for 16 hours were fixed with Flow Cytometry Fixation Buffer (Catalog # FC004) and permeabilized with Flow Cytometry Permeabilization/Wash Buffer I (Catalog # FC005)
Sample: MCF‑7 human breast cancer cell line treated with 1 μM camptothecin (CPT) for 16 hours were fixed with Flow Cytometry Fixation Buffer (Catalog # FC004) and permeabilized with Flow Cytometry Permeabilization/Wash Buffer I (Catalog # FC005)
Western Blot
2 µg/mL
Sample: Camptothecin-treated MCF‑7 human breast cancer cell line
Sample: Camptothecin-treated MCF‑7 human breast cancer cell line
Formulation, Preparation, and Storage
Purification
Protein A or G purified from hybridoma culture supernatant
Reconstitution
For liquid material, refer to CoA for concentration.
Formulation
Supplied as a 0.2 μm filtered solution in PBS. *Small pack size (SP) is supplied either lyophilized or as a 0.2 µm filtered solution in PBS.
Shipping
Lyophilized product is shipped at ambient temperature. Liquid small pack size (-SP) is shipped with polar packs. Upon receipt, store immediately at the temperature recommended below.
Stability & Storage
Use a manual defrost freezer and avoid repeated freeze-thaw cycles.
- 12 months from date of receipt, -20 to -70 °C, as supplied.
- 1 month, 2 to 8 °C under sterile conditions after opening.
- 6 months, -20 to -70 °C under sterile conditions after opening.
Background: p21/CIP1/CDKN1A
p21CIP1, also called CIP1 (CDK-interacting protein 1) and CDKN1A, is a 21 kDa Cyclin/Cyclin-dependent kinase (Cdk) inhibitor that blocks cell cycle progression from G1 to S phase in the cell cycle. Because p21 is a transcriptional target of the p53 tumor suppressor, p21 expression increases in cells that contain stabilized p53 due to genotoxic stress exposure.
Long Name
p21 Cyclin Dependent Kinase 4 Inhibitor 1A
Alternate Names
CDKN1A, CIP1
Gene Symbol
CDKN1A
UniProt
Additional p21/CIP1/CDKN1A Products
Product Documents for Human p21/CIP1/CDKN1A Antibody
Product Specific Notices for Human p21/CIP1/CDKN1A Antibody
For research use only
Loading...
Loading...
Loading...
Loading...
Loading...
Loading...