Skip to main content

Key Product Details

Validated by

Biological Validation

Species Reactivity

Validated:

Human

Cited:

Mouse

Applications

Validated:

Immunohistochemistry, Western Blot, Neutralization, Flow Cytometry, CyTOF-ready

Cited:

Neutralization

Label

Unconjugated

Antibody Source

Polyclonal Sheep IgG

Product Specifications

Immunogen

Mouse myeloma cell line NS0-derived recombinant human OX40
Leu29-Ala216
Accession # P43489

Specificity

Detects human OX40/TNFRSF4 in direct ELISAs and Western blots. In direct ELISAs, less than 5% cross-reactivity with recombinant mouse OX40 is observed.

Clonality

Polyclonal

Host

Sheep

Isotype

IgG

Scientific Data Images for Human OX40/TNFRSF4 Antibody

Detection of Human OX40/TNFRSF4 antibody by Western Blot.

Detection of Human OX40/TNFRSF4 by Western Blot.

Western blot shows lysates of human T regulatory cells (Tregs) and human peripheral blood mononuclear cells (PBMCs) untreated (-) or treated (+) with 1 µg/mL PHA for 5 days. PVDF membrane was probed with 0.5 µg/mL of Sheep Anti-Human OX40/TNFRSF4 Antigen Affinity-purified Polyclonal Antibody (Catalog # AF3388) followed by HRP-conjugated Anti-Sheep IgG Secondary Antibody (Catalog # HAF016). A specific band was detected for OX40/TNFRSF4 at approximately 45 kDa (as indicated). This experiment was conducted under reducing conditions and using Immunoblot Buffer Group 1.
Detection of OX40/TNFRSF4 antibody in Human T Cells antibody by Flow Cytometry.

Detection of OX40/TNFRSF4 in Human T Cells by Flow Cytometry.

Human T cells were treated for 3-5 days with 1 µg/mL PHA then stained with Sheep Anti-Human OX40/ TNFRSF4 Antigen Affinity-purified Polyclonal Antibody (Catalog # AF3388, filled histogram) or control antibody (Catalog # 5-001-A, open histogram), followed by NorthernLights™ 557-conjugated Anti-Sheep IgG Secondary Antibody (Catalog # NL010).
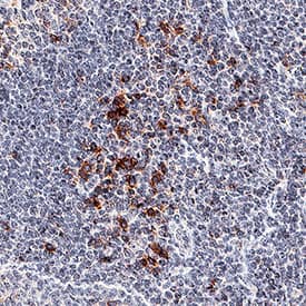
OX40/TNFRSF4 antibody in Human Tonsil by Immunohistochemistry (IHC-P).

OX40/TNFRSF4 in Human Tonsil.

OX40/TNFRSF4 was detected in immersion fixed paraffin-embedded sections of human tonsil using Sheep Anti-Human OX40/TNFRSF4 Antigen Affinity-purified Polyclonal Antibody (Catalog # AF3388) at 3 µg/mL for 1 hour at room temperature followed by incubation with the Anti-Sheep IgG VisUCyte™ HRP Polymer Antibody (Catalog # VC006). Tissue was stained using DAB (brown) and counterstained with hematoxylin (blue). Specific staining was localized to plasma membrane. View our protocol for IHC Staining with VisUCyte HRP Polymer Detection Reagents.

Applications for Human OX40/TNFRSF4 Antibody

Application
Recommended Usage

CyTOF-ready

Ready to be labeled using established conjugation methods. No BSA or other carrier proteins that could interfere with conjugation.

Flow Cytometry

0.25 µg/106 cells
Sample: Human T cells treated with PHA

Immunohistochemistry

3-15 µg/mL
Sample:

Immersion fixed paraffin-embedded sections of human tonsil

Western Blot

0.5 µg/mL
Sample: Human T regulatory cells (Tregs) and human peripheral blood mononuclear cells (PBMCs) treated with PHA

Neutralization

Measured by its ability to neutralize OX40L/TNFSF4-induced IL-8 secretion in the HT1080 human fibrosarcoma cell line transfected with human OX40/TNFRSF4. The Neutralization Dose (ND50) is typically 0.025-0.16 µg/mL in the presence of 10 ng/mL Recombinant Human OX40L/TNFSF4.

Reviewed Applications

Read 1 review rated 4 using AF3388 in the following applications:

Formulation, Preparation, and Storage

Purification

Antigen Affinity-purified

Reconstitution

Reconstitute at 0.2 mg/mL in sterile PBS. For liquid material, refer to CoA for concentration.

Reconstitution Buffer Available:
Size / Price
Qty
Loading...

Formulation

Lyophilized from a 0.2 μm filtered solution in PBS with Trehalose. *Small pack size (SP) is supplied either lyophilized or as a 0.2 µm filtered solution in PBS.

Shipping

Lyophilized product is shipped at ambient temperature. Liquid small pack size (-SP) is shipped with polar packs. Upon receipt, store immediately at the temperature recommended below.

Stability & Storage

Use a manual defrost freezer and avoid repeated freeze-thaw cycles.
  • 12 months from date of receipt, -20 to -70 °C as supplied.
  • 1 month, 2 to 8 °C under sterile conditions after reconstitution.
  • 6 months, -20 to -70 °C under sterile conditions after reconstitution.

Background: OX40

OX40 (CD134; TNFRSF4) is a T cell costimulatory molecule of the TNF receptor superfamily that coordinates with other membrane-bound costimulators such as CD28, CD40, CD30, CD27 and 4-1BB (1‑3). OX40 is expressed on naïve CD4+ T cells only after engagement of the TCR by antigen presenting cells (APC; dendritic and B cells), and costimulation by CD40/CD40 ligand and CD28/B7. It is maximal at 2‑5 days post activation, or 4 hours post reactivation of memory T cells (3‑6). Human OX40 is a 48 kDa type I transmembrane glycoprotein with a 28 amino acid (aa) signal sequence, a 185 aa extracellular domain (ECD) that has four TNFR-Cys repeats and an O-glycosylated hinge region, a 20 aa transmembrane segment, and a 41 aa cytoplasmic domain (3). The ECD of human OX40 shows 71%, 68%, 67%, 64% and 64% aa identity with feline, canine, rabbit, mouse and rat OX40 ECD, respectively. Engagement of OX40 on activated CD4+ T cells by OX40 ligand on activated dendritic cells promotes T cell survival and proliferation, prolongs the immune response, and enhances the number of cells making the transition from effector to memory T cells (1‑6). OX40 signal transduction includes binding TNF receptor-associated factors (TRAFs), and activating NF kappaB and PI3 kinase to enhance expression of cytokines, antiapoptotic Bcl-2 family members, survivin and the chemokine receptor CXCR5 (5‑8). CXCR5 promotes T cell migration to germinal centers to deliver B cell help (5). Studies using knockout or transgenic mice, and agonistic or blocking antibodies, show that OX40/OX40L interaction is critical for establishing or reactivating memory T cells and breaking immune tolerance (9). Blockade of OX40 engagement is efficacious in animal models of allergic airway inflammation, graft-versus-host disease and autoimmune disease (10‑14).

 

References

  1. Salek-Ardakani, S. and M. Croft (2006) Vaccine 24:872.
  2. Hori, T. (2006) Int. J. Hematol. 83:17.
  3. Latza, U. et al. (1994) Eur. J. Immunol. 24:677.
  4. Murata, K. et al. (2000) J. Exp. Med. 191:365.
  5. Fillatreau, S and D. Gray (2003) J. Exp. Med. 197:195.
  6. Gramaglia, I. et al. (1998) J. Immunol. 161:6510.
  7. Rogers, P.R. et al. (2001) Immunity 15:445.
  8. Song, J. et al. (2005) Immunity 22:621.
  9. Bansal-Pakala, P. et al. (2001) Nat. Med. 7:907.
  10. Salek-Ardakani, S. et al. (2003) J. Exp. Med. 198:315.
  11. Jember, A. G. et al. (2001) J. Exp. Med. 193:387.
  12. Demirci, G. et al. (2004) J. Immunol. 172:1691.
  13. Blazar, B.R. et al. (2003) Blood 101:3741.
  14. Higgins, L.M. et al. (1999) J. Immunol. 162:486.

Alternate Names

ACT-135, CD134, Ly-70, TNFRSF4, Txgp1, TXGP1L

Entrez Gene IDs

7293 (Human); 22163 (Mouse); 25572 (Rat); 102145978 (Cynomolgus Monkey)

Gene Symbol

TNFRSF4

UniProt

Additional OX40 Products

Product Documents for Human OX40/TNFRSF4 Antibody

Certificate of Analysis

To download a Certificate of Analysis, please enter a lot number in the search box below.

Note: Certificate of Analysis not available for kit components.

Product Specific Notices for Human OX40/TNFRSF4 Antibody

For research use only

Loading...
Loading...
Loading...
Loading...
Loading...