Skip to main content

Key Product Details

Species Reactivity

Validated:

Human

Cited:

Rat, Primate - Macaca mulatta (Rhesus Macaque)

Applications

Validated:

Immunohistochemistry, Western Blot, Neutralization

Cited:

Immunohistochemistry, Neutralization

Label

Unconjugated

Antibody Source

Polyclonal Goat IgG

Product Specifications

Immunogen

S. frugiperda insect ovarian cell line Sf 21-derived recombinant human NT-3
Tyr139-Thr257
Accession # P20783

Specificity

Detects human NT-3 in direct ELISAs and Western blots. In direct ELISAs, less than 10% cross-reactivity with recombinant human (rh) NT‑4 and rhBDNF is observed.

Clonality

Polyclonal

Host

Goat

Isotype

IgG

Endotoxin Level

<0.10 EU per 1 μg of the antibody by the LAL method.

Scientific Data Images for Human NT-3 Antibody

Detection of NT-3 in Mouse Cerebellum.

NT-3 was detected in perfusion fixed frozen sections of mouse cerebellum using Goat Anti-Human NT-3 Antigen Affinity-purified Polyclonal Antibody (Catalog # AF-267-NA) at 0.25 µg/ml overnight at 4 °C. Before incubation with the primary antibody, tissue was subjected to heat-induced epitope retrieval using VisUCyte Antigen Retrieval Reagent-Basic (VCTS021). Tissue was stained using the HRP-conjugated Anti-Goat IgG Secondary Antibody (HAF109) and counterstained with hematoxylin (blue). Specific staining was localized to the cytoplasm of purkinje neurons. View our protocol for Chromogenic IHC Staining of Frozen Tissue Sections.
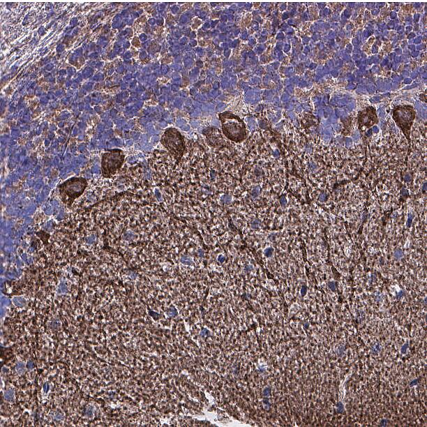
NT-3 antibody in Rat Brain by Immunohistochemistry (IHC-P) by Immunohistochemistry (IHC-Fr).

NT-3 in Rat Brain.

NT-3 was detected in perfusion fixed frozen sections of rat brain (Purkinje cells in the cerebellum) using 10 µg/mL Human NT-3 Antigen Affinity-purified Polyclonal Antibody (Catalog # AF-267-NA) overnight at 4 °C. Tissue was stained with the Anti-Goat HRP-AEC Cell & Tissue Staining Kit (red; CTS009) and counterstained with hematoxylin (blue). View our protocol for Chromogenic IHC Staining of Paraffin-embedded Tissue Sections.
Cell Proliferation Induced by NT‑3 and Neutralization by Human NT‑3 Antibody.

Cell Proliferation Induced by NT‑3 and Neutralization by Human NT‑3 Antibody.

Recombinant Human NT-3 (267-N3) stimulates proliferation in BaF-TrKB-BD mouse pro-B cell line transfected with TrkB in a dose-dependent manner (orange line). Proliferation elicited by Recombinant Human NT-3 (20 ng/mL) is neutralized (green line) by increasing concentrations of Human NT-3 Antigen Affinity-purified Polyclonal Antibody (Catalog # AF-267-NA). The ND50 is typically 0.1-0.4 µg/mL.

Applications for Human NT-3 Antibody

Application
Recommended Usage

Immunohistochemistry

0.25-15 µg/mL
Sample: Perfusion fixed frozen sections of rat cerebellum and mouse cerebellum.

Western Blot

0.1 µg/mL
Sample: Recombinant Human NT-3 (Catalog # 267-N3)

Neutralization

Measured by its ability to neutralize NT‑3-induced proliferation in BaF‑TrKB-BD mouse pro‑B cell line transfected with TrkB. The Neutralization Dose (ND50) is typically 0.1-0.4 µg/mL in the presence of 20 ng/mL Recombinant Human NT‑3.

Reviewed Applications

Read 2 reviews rated 4.5 using AF-267-NA in the following applications:

Formulation, Preparation, and Storage

Purification

Antigen Affinity-purified

Reconstitution

Reconstitute at 0.2 mg/mL in sterile PBS. For liquid material, refer to CoA for concentration.

Reconstitution Buffer Available:
Size / Price
Qty
Loading...

Formulation

Lyophilized from a 0.2 μm filtered solution in PBS with Trehalose. See Certificate of Analysis for details.
*Small pack size (-SP) is supplied either lyophilized or as a 0.2 µm filtered solution in PBS.

Shipping

Lyophilized product is shipped at ambient temperature. Liquid small pack size (-SP) is shipped with polar packs. Upon receipt, store immediately at the temperature recommended below.

Stability & Storage

Use a manual defrost freezer and avoid repeated freeze-thaw cycles.
  • 12 months from date of receipt, -20 to -70 °C as supplied.
  • 1 month, 2 to 8 °C under sterile conditions after reconstitution.
  • 6 months, -20 to -70 °C under sterile conditions after reconstitution.

Background: NT-3

Neurotrophin-3 (NT-3) is a member of the NGF family of neurotrophic factors (also named neurotrophins) that are required for the differentiation and survival of specific neuronal subpopulations in both the central as well as the peripheral nervous systems. The neurotrophin family is comprised of at least four proteins including NGF, BDNF, NT-3, and NT-4/5. These secreted cytokines are synthesized as prepropeptides that are proteolytically processed to generate the mature proteins. All neurotrophins have six conserved cysteine residues that are involved in the formation of three disulfide bonds and all share approximately 55% sequence identity at the amino acid level. Similarly to NGF, bioactive NT-3 is predicted to be a non-covalently linked homodimer.

The NT-3 cDNA encodes a 257 amino acid residue precursor protein with a signal peptide and a proprotein that are cleaved to yield the 119 amino acid residue mature NT-3. The amino acid sequence of mature NT-3 is identical in human, mouse and rat. NT-3 transcripts have been detected in the cerebellum, hippocampus, placenta, heart, skin, and skeletal muscle. NT-3 primarily activates the TrkC tyrosine kinase receptor. In addition, NT-3 can activate Trk and TrkB kinase receptors in certain cell systems. NT-3 can also bind with low affinity to the low affinity NGF receptor.

References

  1. Eide, F.F. et al. (1993) Exp. Neurol. 121:200.
  2. Snider, W.D. (1994) Cell 77:627.
  3. Barbacid, M. (1994) J. Neurobiol. 25:1386.

Long Name

Neurotrophin 3

Alternate Names

HDNF, NGF2, NT3, NTF3

Entrez Gene IDs

4908 (Human)

Gene Symbol

NTF3

UniProt

Additional NT-3 Products

Product Documents for Human NT-3 Antibody

Certificate of Analysis

To download a Certificate of Analysis, please enter a lot number in the search box below.

Note: Certificate of Analysis not available for kit components.

Product Specific Notices for Human NT-3 Antibody

For research use only

Loading...
Loading...
Loading...
Loading...