Skip to main content

Human NRG1-beta 1/HRG1-beta 1 EGF Domain Antibody

R&D Systems, part of Bio-Techne | Catalog # AF-396-NA

R&D Systems, part of Bio-Techne

Key Product Details

Species Reactivity

Validated:

Human

Cited:

Human, Mouse

Applications

Validated:

Immunohistochemistry, Western Blot, Neutralization

Cited:

Immunohistochemistry, Western Blot, Neutralization

Label

Unconjugated

Antibody Source

Polyclonal Goat IgG

Product Specifications

Immunogen

E. coli-derived recombinant human NRG1‑ beta1/HRG1‑ beta1 EGF Domain
Thr176-Lys246
Accession # NP_039250

Specificity

Detects human NRG1‑ beta1/HRG1‑ beta1 EGF Domain in direct ELISAs and Western blots. In Western blots (reducing conditions), approximately 100% cross‑reactivity with recombinant human HRG-alpha is observed. In direct ELISAs, approximately 5% cross‑reactivity with recombinant human HRG-alpha is observed.

Clonality

Polyclonal

Host

Goat

Isotype

IgG

Endotoxin Level

<0.10 EU per 1 μg of the antibody by the LAL method.

Scientific Data Images for Human NRG1-beta 1/HRG1-beta 1 EGF Domain Antibody

Cell Proliferation Induced by NRG1‑ beta1/HRG1‑ beta1 and Neutralization by Human NRG1‑ beta1/HRG1‑ beta1 Antibody.

Cell Proliferation Induced by NRG1‑ beta1/HRG1‑ beta1 and Neutralization by Human NRG1‑ beta1/HRG1‑ beta1 Antibody.

Recombinant Human NRG1-beta 1/ HRG1-beta 1 EGF Domain (Catalog # 396-HB) stimulates proliferation in the MCF-7 human breast cancer cell line in a dose-dependent manner (orange line). Proliferation elicited by Recombinant Human NRG1-beta 1/ HRG1-beta 1 EGF Domain (0.75 ng/mL) is neutralized (green line) by increasing concentrations of Goat Anti-Human NRG1-beta 1/HRG1-beta 1 EGF Domain Antigen Affinity-purified Polyclonal Antibody (Catalog # AF-396-NA). The ND50 is typically 0.5-2.0 µg/mL.
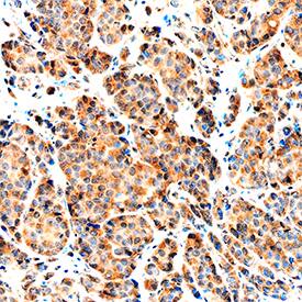
NRG1-beta 1/HRG1-beta 1 antibody in Human Breast by Immunohistochemistry (IHC-P).

NRG1‑ beta1/HRG1‑ beta1 in Human Breast .

NRG1-beta 1/HRG1-beta 1 was detected in immersion fixed paraffin-embedded sections of human breast using Goat Anti-Human NRG1-beta 1/HRG1-beta 1 EGF Domain Antigen Affinity-purified Polyclonal Antibody (Catalog # AF-396-NA) at 1 µg/mL overnight at 4 °C. Tissue was stained using the Anti-Goat HRP-DAB Cell & Tissue Staining Kit (brown; Catalog # CTS008) and counterstained with hematoxylin (blue). Specific staining was localized to cytoplasm. View our protocol for Chromogenic IHC Staining of Paraffin-embedded Tissue Sections.

Applications for Human NRG1-beta 1/HRG1-beta 1 EGF Domain Antibody

Application
Recommended Usage

Immunohistochemistry

5-15 µg/mL
Sample: Immersion fixed paraffin-embedded sections of human breast

Western Blot

0.1 µg/mL
Sample: Recombinant Human NRG1-beta 1/HRG1-beta 1 EGF Domain (Catalog # 396-HB)

Neutralization

Measured by its ability to neutralize NRG1‑ beta1/HRG1‑ beta1-induced proliferation in the MCF‑7 human breast cancer cell line. Karey, K. P. et al. (1988) Cancer Research 48:4083. The Neutralization Dose (ND50) is typically 0.5‑2.0 µg/mL in the presence of 0.75 ng/mL Recombinant Human NRG1‑ beta1/HRG1‑ beta1 EGF Domain.

Formulation, Preparation, and Storage

Purification

Antigen Affinity-purified

Reconstitution

Reconstitute at 0.2 mg/mL in sterile PBS. For liquid material, refer to CoA for concentration.

Reconstitution Buffer Available:
Size / Price
Qty
Loading...

Formulation

Lyophilized from a 0.2 μm filtered solution in PBS with Trehalose. *Small pack size (SP) is supplied either lyophilized or as a 0.2 µm filtered solution in PBS.

Shipping

Lyophilized product is shipped at ambient temperature. Liquid small pack size (-SP) is shipped with polar packs. Upon receipt, store immediately at the temperature recommended below.

Stability & Storage

Use a manual defrost freezer and avoid repeated freeze-thaw cycles.
  • 12 months from date of receipt, -20 to -70 °C as supplied.
  • 1 month, 2 to 8 °C under sterile conditions after reconstitution.
  • 6 months, -20 to -70 °C under sterile conditions after reconstitution.

Background: Neuregulin-1 beta 1/NRG1 beta 1

The neuregulin family of structurally related glycoproteins comprises products from four distinct but related genes, Nrg-1, Nrg-2, Nrg-3, and Nrg-4. Through alternative splicing or the use of alternative promoters, Nrg-1 has been shown to encode more than 14 soluble or transmembrane proteins. The extracellular domain of the transmembrane NRG1 isoforms can be proteolytically cleaved to release soluble growth factors. All NRG1 isoforms contain an EGF‑like domain ( alpha- or beta-splice variant that differ in their C-terminal region) that is required for their direct binding to the ErbB3 or ErbB4 receptor tyrosine kinases. The ErbB3 or ErbB4 subsequently recruits and heterodimerizes with ErbB2, resulting in tyrosine phosphorylation and NRG1 signaling. NRG1 isoforms can be classified into three major subtypes. Type I (Neu Differentiation Factor, NDF; Heregulin, HRG; Acetylcholine Receptor Inducing Activity, ARIA) and type II (Glial Growth Factor, GGF) NRG1s have an immunoglobulin (Ig)-like domain N-terminal to the EGF‑like domain. Type I NRG1s differ from type II NRG1s by having a glycosylation-rich domain between the Ig‑like and the EGF‑like domains. Type III NRG1s (Sensory and Motor neuron-Derived Factor) lacks the Ig‑like domain but has a cysteine rich domain (CRD) instead. NRG1 isoforms show distinct spatial and temporal expression patterns. These proteins play important roles during development of both the nervous system and the heart. They have been shown to regulate the selective expression of neurotransmitter receptors in neurons and at the neuromuscular junction, and promote the differentiation and development of Schwann cells from neural crest stem cells. NRG1s have also been shown to be involved in the establishment of the oligodendroglial lineage.

References

  1. Buonanno, A., and Fischbach, G.D. (2001) Curr. Opin. Neurobiol. 11:287.
  2. Adlkofer, K. and Lai, C. (2000) Glia 29:104.
  3. Garratt, A.N. et al. (2000) BioEssays 22:987.

Alternate Names

Neuregulin1 beta 1

Entrez Gene IDs

3084 (Human); 211323 (Mouse); 112400 (Rat)

Gene Symbol

NRG1

UniProt

Additional Neuregulin-1 beta 1/NRG1 beta 1 Products

Product Documents for Human NRG1-beta 1/HRG1-beta 1 EGF Domain Antibody

Certificate of Analysis

To download a Certificate of Analysis, please enter a lot number in the search box below.

Note: Certificate of Analysis not available for kit components.

Product Specific Notices for Human NRG1-beta 1/HRG1-beta 1 EGF Domain Antibody

For research use only

Loading...
Loading...
Loading...
Loading...