Skip to main content

Key Product Details

Species Reactivity

Human

Applications

ELISA, Immunohistochemistry

Label

Unconjugated

Antibody Source

Monoclonal Mouse IgG2B Clone # 569720

Product Specifications

Immunogen

Mouse myeloma cell line, NS0-derived human Neuronal Pentraxin 2
Gly16-Leu431
Accession # P47972

Specificity

Detects human Neuronal Pentraxin 2 in direct ELISAs.

Clonality

Monoclonal

Host

Mouse

Isotype

IgG2B

Scientific Data Images for Human Neuronal Pentraxin 2 Antibody

Neuronal Pentraxin 2 in Human Pituitary (Anterior Lobe).

Neuronal Pentraxin 2 was detected in immersion fixed paraffin-embedded sections of human pituitary (anterior lobe) using Mouse Anti-Human Neuronal Pentraxin 2 Monoclonal Antibody (Catalog # MAB78162) at 0.5 µg/mL for 1 hour at room temperature followed by incubation with the Anti-Mouse IgG VisUCyte™ HRP Polymer Antibody (VC001). Before incubation with the primary antibody, tissue was subjected to heat-induced epitope retrieval using Antigen Retrieval Reagent-Basic (CTS013). Tissue was stained using DAB (brown) and counterstained with hematoxylin (blue). Specific staining was localized to cytoplasm. Staining was performed using our protocol for IHC Staining with VisUCyte HRP Polymer Detection Reagents.
Neuronal Pentraxin 2 antibody in Human Pituitary by Immunohistochemistry (IHC-P).

Neuronal Pentraxin 2 in Human Pituitary.

Neuronal Pentraxin 2 was detected in immersion fixed paraffin-embedded sections of human pituitary tissue using Mouse Anti-Human Neuronal Pentraxin 2 Monoclonal Antibody (Catalog # MAB78162) at 5 µg/mL for 1 hour at room temperature followed by incubation with the Anti-Mouse IgG VisUCyte™ HRP Polymer Antibody (Catalog # VC001). Before incubation with the primary antibody, tissue was subjected to heat-induced epitope retrieval using Antigen Retrieval Reagent-Basic (Catalog # CTS013). Tissue was stained using DAB (brown) and counterstained with hematoxylin (blue). Specific staining was localized to cytoplasm. View our protocol for IHC Staining with VisUCyte HRP Polymer Detection Reagents.

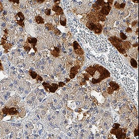
Neuronal Pentraxin 2 in Human Pancreas.

Neuronal Pentraxin 2 was detected in immersion fixed paraffin-embedded sections of human pancreas using Mouse Anti-Human Neuronal Pentraxin 2 Monoclonal Antibody (Catalog # MAB78162) at 1.7 µg/mL for 1 hour at room temperature followed by incubation with the Anti-Mouse IgG VisUCyte™ HRP Polymer Antibody (VC001). Before incubation with the primary antibody, tissue was subjected to heat-induced epitope retrieval using Antigen Retrieval Reagent-Basic (CTS013). Tissue was stained using DAB (brown) and counterstained with hematoxylin (blue). Specific staining was localized to islet cells. Staining was performed using our protocol for IHC Staining with VisUCyte HRP Polymer Detection Reagents.

Applications for Human Neuronal Pentraxin 2 Antibody

Application
Recommended Usage

ELISA

This antibody functions as an ELISA detection antibody when paired with Mouse Anti-Human Neuronal Pentraxin 2 Monoclonal Antibody (Catalog # MAB78161).

This product is intended for assay development on various assay platforms requiring antibody pairs.

Immunohistochemistry

0.5-25 µg/mL
Sample: Immersion fixed paraffin-embedded sections of human pituitary (anterior lobe) and paraffin-embedded sections of human pancreas

Formulation, Preparation, and Storage

Purification

Protein A or G purified from hybridoma culture supernatant

Reconstitution

Reconstitute at 0.5 mg/mL in sterile PBS. For liquid material, refer to CoA for concentration.

Reconstitution Buffer Available:
Size / Price
Qty
Loading...

Formulation

Lyophilized from a 0.2 μm filtered solution in PBS with Trehalose. *Small pack size (SP) is supplied either lyophilized or as a 0.2 µm filtered solution in PBS.

Shipping

Lyophilized product is shipped at ambient temperature. Liquid small pack size (-SP) is shipped with polar packs. Upon receipt, store immediately at the temperature recommended below.

Stability & Storage

Use a manual defrost freezer and avoid repeated freeze-thaw cycles.
  • 12 months from date of receipt, -20 to -70 °C as supplied.
  • 1 month, 2 to 8 °C under sterile conditions after reconstitution.
  • 6 months, -20 to -70 °C under sterile conditions after reconstitution.

Background: Neuronal Pentraxin 2

Neuronal Pentraxin (NPTX2), also called NP2 or NARP (neuronal activity-regulated pentraxin) is a 46-60 kDa secreted glycoprotein within the Pentraxin family (1-4). Neuronal pentraxins include NPTX1 and NPTX2, both secreted proteins, and NPTXR (Neuronal Pentraxin Receptor), which is found in type II transmembrane or cleaved, soluble forms (1-5). Circulating NPTX2 forms disulfide-linked 250 kDa homopentamers, while at excitatory synapses it can form heteropentamers and larger clusters with NPTX1 and NPTXR (1-5). The clusters promote synaptogenesis by recruiting subunits of AMPA-type glutamate receptors (AMPAR) (4-6). Of the three neuronal pentraxins, only NPTX2 shows immediate-early expression induced by synaptic activity (5, 6). Human NPTX2 is synthesized as a 431 amino acid (aa) protein with a 15 aa signal sequence and a 416 aa secreted mature protein that contains a calcium binding Pentraxin domain. Mature human NPTX2 shares 96% aa sequence identity with mouse, rat, bovine, and canine NPTX2. Unlike other neuronal pentraxins, NPTX2 expression is not limited to neurons and NPTX2 protein is detected in the plasma (1, 7). It is prominent in the hippocampus, cerebral cortex, cerebellum, hypothalamus, posterior pituitary, and retina (2-8). It is found at excitatory synapses in parvalbumin-expressing interneurons and vasopressin- and orexin-expressing hypothalamic neurons (5-7). Its expression is increased in the substantia nigra in Parkinson’s disease, and it is present in Lewy bodies (9). NPTX2 shows calcium-dependent adhesion (3, 6). It promotes axon outgrowth in cortical explants, and formation, maturation and plasticity of synapses in vivo (3-6, 8).

References

  1. Hsu, Y.C. and M.S. Perin (1995) Genomics 28:220.
  2. Kirkpatrick, L.L. et al. (2000) J. Biol. Chem. 275:17786.
  3. Tsui, C.C. et al. (1996) J. Neurosci. 16:2463.
  4. Cho, R.W. et al. (2008) Neuron 57:858.
  5. Xu, D. et al. (2003) Neuron 39:513.
  6. Chang, M.C. et al. (2010) Nat. Neurosci. 13:1090.
  7. Reti, I.M. et al. (2008) Neuroscience 151:352.
  8. Bjartmar, L. et al. (2006) J. Neurosci. 26:6269.
  9. Moran, L.B. et al. (2008) Acta Neuropathol. 115:471.

Alternate Names

Apexin, NARP, NPTX2

Entrez Gene IDs

4885 (Human); 53324 (Mouse); 288475 (Rat)

Gene Symbol

NPTX2

UniProt

Additional Neuronal Pentraxin 2 Products

Product Documents for Human Neuronal Pentraxin 2 Antibody

Certificate of Analysis

To download a Certificate of Analysis, please enter a lot number in the search box below.

Note: Certificate of Analysis not available for kit components.

Product Specific Notices for Human Neuronal Pentraxin 2 Antibody

For research use only

Loading...
Loading...
Loading...
Loading...