Skip to main content

Key Product Details

Species Reactivity

Validated:

Human

Cited:

Avian - Chicken

Applications

Validated:

Immunohistochemistry, Western Blot

Cited:

Flow Cytometry

Label

Unconjugated

Antibody Source

Polyclonal Sheep IgG

Product Specifications

Immunogen

E. coli-derived recombinant human N-Cadherin Propeptide
Ser26-Arg159
Accession # P19022

Specificity

Detects human N-Cadherin Propeptide in direct ELISAs and Western blots. In direct ELISAs, less than 5% cross-reactivity with recombinant human (rh) Cadherin-8, rhCadherin-11, and rhR-Cadherin is observed.

Clonality

Polyclonal

Host

Sheep

Isotype

IgG

Scientific Data Images for Human N-Cadherin Propeptide Antibody

Detection of Human Pro-N-Cadherin antibody by Western Blot.

Detection of Human Pro-N-Cadherin by Western Blot.

Western blot shows lysates of IMR-32 human neuroblastoma cell line and U-118-MG human glioblastoma/astrocytoma cell line. PVDF membrane was probed with 1 µg/mL of Sheep Anti-Human N-Cadherin Propeptide Antigen Affinity-purified Polyclonal Antibody (Catalog # AF1388) followed by HRP-conjugated Anti-Sheep IgG Secondary Antibody (Catalog # HAF016). Pro-N-Cadherin was detected at approximately 130 kDa (as indicated). This experiment was conducted under reducing conditions and using Immunoblot Buffer Group 8.

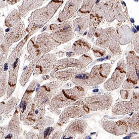
N‑Cadherin in Human Heart.

N-Cadherin was detected in immersion fixed paraffin-embedded sections of human heart using Sheep Anti-Human N-Cadherin Antigen Affinity-purified Polyclonal Antibody (Catalog # AF1388) at 1 µg/mL overnight at 4 °C. Tissue was stained using the Sheep IgG VisUCyte HRP Polymer Antibody (Catalog # VC006). Before incubation with the primary antibody, tissue was subjected to heat-induced epitope retrieval using Antigen Retrieval Reagent-Basic (Catalog # CTS013). Tissue was stained using DAB (brown) and counterstained with hematoxylin (blue). Specific staining was localized to intercalated disks between the myocardial cells. Staining was performed using our protocol for IHC Staining with VisUCyte HRP Polymer Detection Reagents.

Applications for Human N-Cadherin Propeptide Antibody

Application
Recommended Usage

Immunohistochemistry

1-15 µg/mL
Sample: Immersion fixed paraffin-embedded sections of human heart

Western Blot

1 µg/mL
Sample: IMR‑32 human neuroblastoma cell line and U‑118‑MG human glioblastoma/astrocytoma cell line

Formulation, Preparation, and Storage

Purification

Antigen Affinity-purified

Reconstitution

Reconstitute at 0.2 mg/mL in sterile PBS. For liquid material, refer to CoA for concentration.

Reconstitution Buffer Available:
Size / Price
Qty
Loading...

Formulation

Lyophilized from a 0.2 μm filtered solution in PBS with Trehalose. *Small pack size (SP) is supplied either lyophilized or as a 0.2 µm filtered solution in PBS.

Shipping

Lyophilized product is shipped at ambient temperature. Liquid small pack size (-SP) is shipped with polar packs. Upon receipt, store immediately at the temperature recommended below.

Stability & Storage

Use a manual defrost freezer and avoid repeated freeze-thaw cycles.
  • 12 months from date of receipt, -20 to -70 °C as supplied.
  • 1 month, 2 to 8 °C under sterile conditions after reconstitution.
  • 6 months, -20 to -70 °C under sterile conditions after reconstitution.

Background: N-Cadherin

N‑Cadherin (Neural Cadherin; also CD325 and Cadherin-2) is a 130‑135 kDa member of the "classical" (or type I) cadherin subfamily, cadherin superfamily of proteins. It is expressed on multiple cell types, including neurons, fibroblasts, Schwann cells, endothelial cells and hepatic stellate cells. N‑Cadherin mediates homotypic binding, either in cis (same cell) or trans (adjacent cell). proN‑Cadherin is expressed as an 881 amino acid (aa) type I transmembrane glycoprotein. It may be initially inserted into the ER, where the 15‑20 kDa prodomain (aa 26‑159) is cleaved by proprotein convertase, and the mature molecule is transported to the surface. Alternatively, on neurons, proN‑Cadherin may first appear on the surface, with cleavage occurring at the time of synaptogenesis. Cleavage appears necessary for homophilic interaction as presence of the prodomain is suggested to negatively regulate oligomer formation. Over the entire prodomain, the human N‑Cadherin proregion shares 87% aa identity with the mouse N‑Cadherin proregion.

Long Name

Neural Cadherin

Alternate Names

Cadherin-2, CD325, CDH2, NCadherin

Entrez Gene IDs

1000 (Human); 12558 (Mouse); 83501 (Rat)

Gene Symbol

CDH2

UniProt

Additional N-Cadherin Products

Product Documents for Human N-Cadherin Propeptide Antibody

Certificate of Analysis

To download a Certificate of Analysis, please enter a lot number in the search box below.

Note: Certificate of Analysis not available for kit components.

Product Specific Notices for Human N-Cadherin Propeptide Antibody

For research use only

Loading...
Loading...
Loading...
Loading...