Skip to main content

Key Product Details

Species Reactivity

Validated:

Human

Cited:

Human

Applications

Validated:

Immunohistochemistry, Western Blot

Cited:

Immunohistochemistry

Label

Unconjugated

Antibody Source

Polyclonal Sheep IgG

Product Specifications

Immunogen

E. coli‑derived recombinant human MUC-1
Pro126-Arg145
Accession # P15941

Specificity

Detects human MUC‑1 in direct ELISAs and Western blots.

Clonality

Polyclonal

Host

Sheep

Isotype

IgG

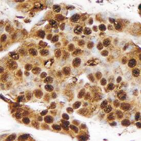
Scientific Data Images for Human MUC-1 Antibody

Detection of Human MUC-1 antibody by Western Blot.

Detection of Human MUC‑1 by Western Blot.

Western blot shows lysates of human lung tissue. PVDF Membrane was probed with 1 µg/mL of Sheep Anti-Human MUC-1 Antigen Affinity-purified Polyclonal Antibody (Catalog # AF6298) followed by HRP-conjugated Anti-Sheep IgG Secondary Antibody (Catalog # HAF016). A specific band was detected for MUC-1 at approximately 230 kDa (as indicated). This experiment was conducted under reducing conditions and using Immunoblot Buffer Group 1.
MUC-1 antibody in Human Breast by Immunohistochemistry (IHC-P).

MUC‑1 in Human Breast.

MUC-1 was detected in immersion fixed paraffin-embedded sections of human breast using Sheep Anti-Human MUC-1 Antigen Affinity-purified Polyclonal Antibody (Catalog # AF6298) at 10 µg/mL overnight at 4 °C. Tissue was stained using the Anti-Sheep HRP-DAB Cell & Tissue Staining Kit (brown; Catalog # CTS019) and counterstained with hematoxylin (blue). Specific staining was localized to nuclei and cytoplasm in epithelial cells. View our protocol for Chromogenic IHC Staining of Paraffin-embedded Tissue Sections.

Applications for Human MUC-1 Antibody

Application
Recommended Usage

Immunohistochemistry

5-15 µg/mL
Sample: Immersion fixed paraffin-embedded sections of human breast

Western Blot

1 µg/mL
Sample: Human lung tissue

Formulation, Preparation, and Storage

Purification

Antigen Affinity-purified

Reconstitution

Reconstitute at 0.2 mg/mL in sterile PBS. For liquid material, refer to CoA for concentration.

Reconstitution Buffer Available:
Size / Price
Qty
Loading...

Formulation

Lyophilized from a 0.2 μm filtered solution in PBS with Trehalose. *Small pack size (SP) is supplied either lyophilized or as a 0.2 µm filtered solution in PBS.

Shipping

Lyophilized product is shipped at ambient temperature. Liquid small pack size (-SP) is shipped with polar packs. Upon receipt, store immediately at the temperature recommended below.

Stability & Storage

Use a manual defrost freezer and avoid repeated freeze-thaw cycles.
  • 12 months from date of receipt, -20 to -70 °C as supplied.
  • 1 month, 2 to 8 °C under sterile conditions after reconstitution.
  • 6 months, -20 to -70 °C under sterile conditions after reconstitution.

Background: MUC-1

MUC-1 (Mucin-1; also episialin, MAM-6, PEM and PUM) is a 150-450 kDa type I transmembrane glycoprotein that belongs to the Mucin family of molecules. It forms a protective barrier against microbes on the apical surface of most glandular epithelium, and becomes prominently displayed on tumor cells. Mature human MUC-1 is 1232 amino acids (aa) in length. It contains an 1135 aa extracellular domain (ECD) (aa 24-1158), and a signal transducing 73 aa cytoplasmic tail (aa 1182-1255). The ECD is highly polymorphic as evidenced by a highly variable number of 20 aa O-glycosylated tandem repeats. Intracellular processing cleaves MUC-1 between Gly1097 and Ser1098, generating a noncovalently linked heterodimer that is expressed on the cell surface. The C-terminus is 22-25 kDa in size, while the N-terminus is highly variable (70-400 kDa in size), a function of the number of resident tandem repeats. Cell surface processing by TACE releases a soluble ECD fragment of variable MW. There are multiple splice variants that show massive reductions in the size of the ECD. Over aa 126-145, human MUC-1 shares < 50% aa identity with mouse MUC-1. When compared to human, mouse MUC-1 is found not to be polymorphic and possess poorly conserved tandem repeat sequences.

Long Name

Mucin 1, Cell Surface-associated

Alternate Names

CD227, Episialin, H23AG, KL-6, Mucin-1, PEM, PEMT

Entrez Gene IDs

4582 (Human)

Gene Symbol

MUC1

UniProt

Additional MUC-1 Products

Product Documents for Human MUC-1 Antibody

Certificate of Analysis

To download a Certificate of Analysis, please enter a lot number in the search box below.

Note: Certificate of Analysis not available for kit components.

Product Specific Notices for Human MUC-1 Antibody

For research use only

Loading...
Loading...
Loading...
Loading...