Skip to main content

Key Product Details

Species Reactivity

Human, Mouse

Applications

Western Blot

Label

Unconjugated

Antibody Source

Monoclonal Rat IgG2A Clone # 406612

Product Specifications

Immunogen

E. coli-derived recombinant mouse Wnt-9b
Ala46-Glu90 & Lys228-Tyr298
Accession # O35468.2

Specificity

Detects human Wnt-9b in Western blots. Detects recombinant mouse Wnt-9b in direct ELISAs and Western blots. In direct ELISAs and Western blots, no cross-reactivity with recombinant human Wnt-2, -6, -7a, -7b, -9a, recombinant mouse Wnt-1, -2b, -4, -5a, -5b, -8a, -8b,-10a, -10b, -11, or -16 is observed.

Clonality

Monoclonal

Host

Rat

Isotype

IgG2A

Scientific Data Images for Human/Mouse Wnt-9b Antibody

Detection of Human/Mouse Wnt-9b by Western Blot.

Western blot shows lysates of T47D human breast cancer cells, ME-180 human cervical epithelial carcinoma cells and KATO-III human gastric carcinoma cells. PVDF membrane was probed with 5 µg/mL of Rat Anti-Human/Mouse Wnt-9b Monoclonal Antibody (Catalog # MAB3669) followed by HRP-conjugated Anti-Rat IgG Secondary Antibody (Catalog # HAF005). A specific band was detected for Wnt-9b at approximately ~40 kDa (as indicated). This experiment was conducted under reducing conditions and using Western Blot Buffer Group 1.

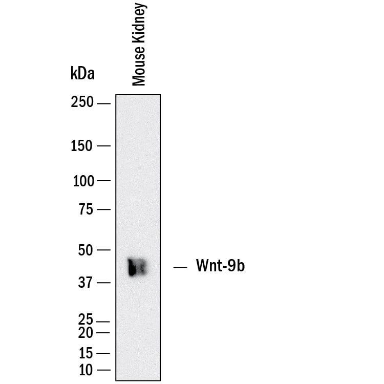
Detection of Mouse Wnt-9b by Western Blot.

Western Blot shows lysates of mouse kidney tissue. PVDF membrane was probed with 5 µg/ml of Rat Anti-Human/Mouse Wnt-9b Monoclonal Antibody (Catalog # MAB3669) followed by HRP-conjugated Anti-Rat IgG Secondary Antibody (Catalog # HAF005). A specific band was detected for Wnt-9b at approximately 40 kDa (as indicated). This experiment was conducted under reducing conditions and using Western Blot Buffer Group 1.

Applications for Human/Mouse Wnt-9b Antibody

Application
Recommended Usage

Western Blot

5 µg/mL
Sample: T47D human breast cancer cells, ME‑180 human cervical epithelial carcinoma cells, KATO‑III human gastric carcinoma cells, and mouse kidney tissue

Formulation, Preparation, and Storage

Purification

Protein A or G purified from hybridoma culture supernatant

Reconstitution

Reconstitute at 0.5 mg/mL in sterile PBS. For liquid material, refer to CoA for concentration.

Reconstitution Buffer Available:
Size / Price
Qty
Loading...

Formulation

Lyophilized from a 0.2 μm filtered solution in PBS with Trehalose. See Certificate of Analysis for details.
*Small pack size (-SP) is supplied either lyophilized or as a 0.2 µm filtered solution in PBS.

Shipping

Lyophilized product is shipped at ambient temperature. Liquid small pack size (-SP) is shipped with polar packs. Upon receipt, store immediately at the temperature recommended below.

Stability & Storage

Use a manual defrost freezer and avoid repeated freeze-thaw cycles.
  • 12 months from date of receipt, -20 to -70 °C as supplied.
  • 1 month, 2 to 8 °C under sterile conditions after reconstitution.
  • 6 months, -20 to -70 °C under sterile conditions after reconstitution.

Background: Wnt-9b

Mouse Wnt-9b, previously called Wnt-14b or Wnt-15, is one of about 19 vertebrate members of the Wingless-type MMTV integration site (Wnt) family of highly conserved, cysteine-rich secreted glycoproteins important for normal developmental processes (1‑3). Wnts mainly transduce signals by binding to receptors of the Frizzled family, in conjunction with a coreceptor of the low-density lipoprotein receptor-related protein family (LRP-5 or -6) (1, 2). The 359 aa mouse Wnt-9b precursor contains a 336 aa mature region with 24 conserved cysteines (3). Mature mouse Wnt-9b shares 93%, 98%, 92%, 92% and 91% aa identity with human, rat, canine, equine and bovine Wnt-9b, respectively. It is evolutionarily related to Wnt-9a and Wnt-3, which share 63% and 32% aa identity, respectively (4). Wnt-9b mRNA is expressed in late embryos and in adult kidney, with lesser amounts in brain and liver (3, 4). It appears to direct mesenchymal-to-epithelial transition in the kidney and other tissues (5). During kidney development, it is expressed in the ureteric bud and induces mesonephric and metanephric tubulogenesis, nephron development, and caudal extension of the Mullerian duct, acting upstream of Wnt-4 (5‑7). Induction is dependent on beta-catenin activity, implicating the canonical signaling pathway (7). Mice devoid of Wnt-9b die shortly after birth due to kidney agenesis, while low expression results in small kidneys with fewer nephrons (1, 5, 6). Mutations of Wnt-9b also cause incompletely penetrant cleft lip and palate in mice, indicating its involvement with facial midline morphogenesis (8, 9). It has weak transforming activity compared to other transforming Wnts (4).

References

  1. http://www.stanford.edu/group/nusselab/cgi-bin/wnt/
  2. Logan, C. Y. and R. Nusse (2004) Annu. Rev. Cell Dev. Biol. 20:781.
  3. Kirikoshi, H. and  M. Katoh (2002) Int. J. Mol. Med. 9:135.
  4. Qian, J. et al. (2003) Genomics 81:34.
  5. Carroll, T. J. et al. (2005) Dev. Cell 9:283.
  6. Merkel, C. E. et al. (2007) Pediatr. Nephrol. 22:1825.
  7. Park, J-S. et al. (2007) Development 134:2533.
  8. Lan, Y. et al. (2006) Dev. Dyn. 235:1448.
  9. Juriloff, D. M. and  M. J. Harris (2008) Birth Defects Res. A Clin. Mol. Teratol. 82:63.

Long Name

Wingless-type MMTV Integration Site Family, Member 9b

Alternate Names

Wnt-14b, Wnt-15, Wnt9b

Entrez Gene IDs

7484 (Human); 22412 (Mouse); 303586 (Rat)

Gene Symbol

WNT9B

UniProt

Additional Wnt-9b Products

Product Documents for Human/Mouse Wnt-9b Antibody

Certificate of Analysis

To download a Certificate of Analysis, please enter a lot number in the search box below.

Note: Certificate of Analysis not available for kit components.

Product Specific Notices for Human/Mouse Wnt-9b Antibody

For research use only

Loading...
Loading...
Loading...
Loading...