Skip to main content

Key Product Details

Species Reactivity

Human, Mouse

Applications

Immunohistochemistry, Western Blot, Simple Western

Label

Unconjugated

Antibody Source

Monoclonal Mouse IgG2A Clone # 1018331

Product Specifications

Immunogen

Spodoptera frugiperda, Sf 21 (baculovirus)-derived human Sulfamidase/SGSH
Arg23-Leu502
Accession # P51688

Specificity

Detects human Sulfamidase/SGSH in direct ELISAs. Detects human and mouse Sulfamidase/SGSH in Western blots.

Clonality

Monoclonal

Host

Mouse

Isotype

IgG2A

Scientific Data Images for Human/Mouse Sulfamidase/SGSH Antibody

Detection of Human and Mouse Sulfamidase/SGSH antibody by Western Blot.

Detection of Human and Mouse Sulfamidase/SGSH by Western Blot.

Western blot shows lysates of MCF-7 human breast cancer cell line, HepG2 human hepatocellular carcinoma cell line, 3T3-L1 mouse embryonic fibroblast adipose-like cell line, and RAW 264.7 mouse monocyte/macrophage cell line. PVDF membrane was probed with 2 µg/mL of Mouse Anti-Human/Mouse Sulfamidase/SGSH Monoclonal Antibody (Catalog # MAB83801) followed by HRP-conjugated Anti-Mouse IgG Secondary Antibody (Catalog # HAF018). A specific band was detected for Sulfamidase/SGSH at approximately 55 kDa (as indicated). This experiment was conducted under reducing conditions and using Immunoblot Buffer Group 1.
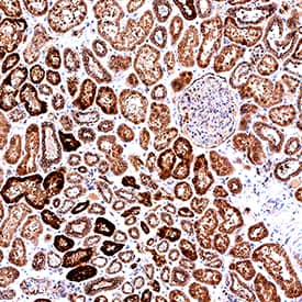
Sulfamidase/SGSH antibody in Human Kidney by Immunohistochemistry (IHC-P).

Sulfamidase/SGSH in Human Kidney.

Sulfamidase/SGSH was detected in immersion fixed paraffin-embedded sections of human kidney using Mouse Anti-Human/Mouse Sulfamidase/SGSH Monoclonal Antibody (Catalog # MAB83801) at 5 µg/mL for 1 hour at room temperature followed by incubation with the Anti-Mouse IgG VisUCyte™ HRP Polymer Antibody (Catalog # VC001). Before incubation with the primary antibody, tissue was subjected to heat-induced epitope retrieval using Antigen Retrieval Reagent-Basic (Catalog # CTS013). Tissue was stained using DAB (brown) and counterstained with hematoxylin (blue). Specific staining was localized to convoluted tubules and glomeruli. View our protocol for IHC Staining with VisUCyte HRP Polymer Detection Reagents.
Detection of Human Sulfamidase/SGSH antibody by Simple WesternTM.

Detection of Human Sulfamidase/SGSH by Simple WesternTM.

Simple Western lane view shows lysates of HepG2 human hepatocellular carcinoma cell line and MCF‑7 human breast cancer cell line, loaded at 0.2 mg/mL. A specific band was detected for Sulfamidase/SGSH at approximately 70 kDa (as indicated) using 20 µg/mL of Mouse Anti-Human/Mouse Sulfamidase/SGSH Monoclonal Antibody (Catalog # MAB83801) . This experiment was conducted under reducing conditions and using the 12-230 kDa separation system.

Applications for Human/Mouse Sulfamidase/SGSH Antibody

Application
Recommended Usage

Immunohistochemistry

5-25 µg/mL
Sample: Immersion fixed paraffin-embedded sections of human kidney

Simple Western

20 µg/mL
Sample: HepG2 human hepatocellular carcinoma cell line and MCF‑7 human breast cancer cell line

Western Blot

2 µg/mL
Sample: MCF‑7 human breast cancer cell line, HepG2 human hepatocellular carcinoma cell line, 3T3‑L1 mouse embryonic fibroblast adipose-like cell line, and RAW 264.7 mouse monocyte/macrophage cell line

Formulation, Preparation, and Storage

Purification

Protein A or G purified from hybridoma culture supernatant

Reconstitution

Reconstitute at 0.5 mg/mL in sterile PBS. For liquid material, refer to CoA for concentration.

Reconstitution Buffer Available:
Size / Price
Qty
Loading...

Formulation

Lyophilized from a 0.2 μm filtered solution in PBS with Trehalose. *Small pack size (SP) is supplied either lyophilized or as a 0.2 µm filtered solution in PBS.

Shipping

Lyophilized product is shipped at ambient temperature. Liquid small pack size (-SP) is shipped with polar packs. Upon receipt, store immediately at the temperature recommended below.

Stability & Storage

Use a manual defrost freezer and avoid repeated freeze-thaw cycles.
  • 12 months from date of receipt, -20 to -70 °C as supplied.
  • 1 month, 2 to 8 °C under sterile conditions after reconstitution.
  • 6 months, -20 to -70 °C under sterile conditions after reconstitution.

Background: Sulfamidase/SGSH

Also known as N-sulfoglucosamine sulfohydrolase and heparan N-sulfatase, Sulfamidase/SGSH is an important member of the sulfatase family involved in the degradation of heparan sulfate (HS) (1). Different from the HS specific endosulfatases that remove sulfate from internal GlcNAc residues (2), SGSH removes sulfate group from the non-reducing end glucosamine residues on HS. The SGSH deficiency results in mucopolysaccharidosis type IIIA (MPS IIIA, Sanfilippo A syndrome), an autosomal recessive lysosomal storage disease characterized by neurological dysfunction but relatively mild somatic manifestations (3). Human SGSH shows 88.6% sequence identity with that of mouse sequence.

References

  1. DiezRoux, G. and Ballabio, A. et al. (2005) Annu. Rev. Genomics Hum. Genet. 6:355.
  2. Morimoto-Tomita, M. et al. (2002) J. Biol. Chem. 277:49175.
  3. Blanch, L. et al. (1997) Hum. Mol. Genet. 6:787.

Alternate Names

HSS, MPS3A, SFMD, SGSH

Entrez Gene IDs

6448 (Human); 27029 (Mouse)

Gene Symbol

SGSH

UniProt

Additional Sulfamidase/SGSH Products

Product Documents for Human/Mouse Sulfamidase/SGSH Antibody

Certificate of Analysis

To download a Certificate of Analysis, please enter a lot number in the search box below.

Note: Certificate of Analysis not available for kit components.

Product Specific Notices for Human/Mouse Sulfamidase/SGSH Antibody

For research use only

Loading...
Loading...
Loading...
Loading...