Skip to main content

Key Product Details

Species Reactivity

Validated:

Human, Mouse, Rat

Cited:

Human

Applications

Validated:

Immunohistochemistry, Western Blot, Immunocytochemistry, Simple Western

Cited:

Immunohistochemistry, Immunohistochemistry-Paraffin

Label

Unconjugated

Antibody Source

Polyclonal Sheep IgG

Product Specifications

Immunogen

E. coli-derived recombinant human Transgelin/TAGLN
Ala2-Ser201
Accession # Q01995

Specificity

Detects human, mouse, and rat Transgelin/TAGLN in Western blots. In direct ELISAs, less than 5% cross-reactivity with recombinant human (rh) TAGLN2 and rhTAGLN3 is observed.

Clonality

Polyclonal

Host

Sheep

Isotype

IgG

Scientific Data Images for Human/Mouse/Rat Transgelin/TAGLN Antibody

Detection of Mouse and Rat Transgelin/TAGLN antibody by Western Blot.

Detection of Mouse and Rat Transgelin/TAGLN by Western Blot.

Western blot shows lysates of mouse uterus tissue and rat uterus tissue. PVDF membrane was probed with 0.5 µg/mL of Sheep Anti-Human/Mouse/Rat Transgelin/TAGLN Antigen Affinity-purified Polyclonal Antibody (Catalog # AF7886) followed by HRP-conjugated Anti-Sheep IgG Secondary Antibody (Catalog # HAF016). Specific bands were detected for Transgelin/TAGLN at approximately 18-22 kDa (as indicated). This experiment was conducted under reducing conditions and using Immunoblot Buffer Group 1.
Transgelin/TAGLN antibody in MCF 10A Human Cell Line by Immunocytochemistry (ICC).

Transgelin/TAGLN in MCF 10A Human Cell Line.

Transgelin/TAGLN was detected in immersion fixed MCF 10A human breast epithelial cell line using Sheep Anti-Human/Mouse/Rat Transgelin/TAGLN Antigen Affinity-purified Polyclonal Antibody (Catalog # AF7886) at 10 µg/mL for 3 hours at room temperature. Cells were stained using the NorthernLights™ 557-conjugated Anti-Sheep IgG Secondary Antibody (red; Catalog # NL010) and counterstained with DAPI (blue). Specific staining was localized to cytoplasm. View our protocol for Fluorescent ICC Staining of Cells on Coverslips.
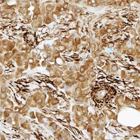
Transgelin/TAGLN antibody in Human Liver Cancer Tissue by Immunohistochemistry (IHC-P).

Transgelin/TAGLN in Human Liver Cancer Tissue.

Transgelin/TAGLN was detected in immersion fixed paraffin-embedded sections of human liver cancer tissue using Sheep Anti-Human/Mouse/Rat Transgelin/TAGLN Antigen Affinity-purified Polyclonal Antibody (Catalog # AF7886) at 1.7 µg/mL overnight at 4 °C. Tissue was stained using the Anti-Sheep HRP-DAB Cell & Tissue Staining Kit (brown; Catalog # CTS019) and counterstained with hematoxylin (blue). Specific staining was localized to connective tissue. View our protocol for Chromogenic IHC Staining of Paraffin-embedded Tissue Sections.

Applications for Human/Mouse/Rat Transgelin/TAGLN Antibody

Application
Recommended Usage

Immunocytochemistry

5-15 µg/mL
Sample: Immersion fixed MCF 10A human breast epithelial cell line

Immunohistochemistry

5-15 µg/mL
Sample: Immersion fixed paraffin-embedded sections of human liver cancer tissue

Simple Western

25 µg/mL
Sample: Mouse uterus tissue

Western Blot

0.5 µg/mL
Sample: Mouse uterus tissue and rat uterus tissue

Formulation, Preparation, and Storage

Purification

Antigen Affinity-purified

Reconstitution

Sterile PBS to a final concentration of 0.2 mg/mL. For liquid material, refer to CoA for concentration.

Reconstitution Buffer Available:
Size / Price
Qty
Loading...

Formulation

Lyophilized from a 0.2 μm filtered solution in PBS with Trehalose. *Small pack size (SP) is supplied either lyophilized or as a 0.2 µm filtered solution in PBS.

Shipping

Lyophilized product is shipped at ambient temperature. Liquid small pack size (-SP) is shipped with polar packs. Upon receipt, store immediately at the temperature recommended below.

Stability & Storage

Use a manual defrost freezer and avoid repeated freeze-thaw cycles.
  • 12 months from date of receipt, -20 to -70 °C as supplied.
  • 1 month, 2 to 8 °C under sterile conditions after reconstitution.
  • 6 months, -20 to -70 °C under sterile conditions after reconstitution.

Background: Transgelin/TAGLN

TAGLN (Transgelin; also 22 kDa Actin-binding protein, WS3-10 and Smooth muscle protein 22 alpha) is a 22-24 kDa cytosolic member of the calponin (calcium-binding and calmodulin-binding troponin T-like protein) family of molecules. It is expressed in both visceral and vascular smooth muscle, fibroblasts, cardiac myocytes, and potentially in breast duct plus prostate epithelium. TAGLN is associated with the actin stress fibers and appears to both suppress MMP-9 production, and downmodulate Ca++-independent smooth muscle contraction. Human TAGLN is 201 amino acids (aa) in length. It contains one CH/calponin homology domain (aa 24-137), and an actin-binding calponin-like repeat/CLIK (aa 175-200). There is one utilized phosphorylation site at Tyr193, plus two utilized acetylation sites in the N-terminus. Three potential isoform variants are reported, one that shows a alternative start site at Met111, a second that contains a new start site 10 aa upstream of the standard site, and a third that possesses a 58 aa substitution for aa 97-201. Full-length human and mouse TAGLN share 97% aa sequence identity.

Alternate Names

SM22 alpha, TAGLN, WS3-10

Entrez Gene IDs

6876 (Human); 21345 (Mouse); 25123 (Rat)

Gene Symbol

TAGLN

UniProt

Additional Transgelin/TAGLN Products

Product Documents for Human/Mouse/Rat Transgelin/TAGLN Antibody

Certificate of Analysis

To download a Certificate of Analysis, please enter a lot number in the search box below.

Note: Certificate of Analysis not available for kit components.

Product Specific Notices for Human/Mouse/Rat Transgelin/TAGLN Antibody

For research use only

Loading...
Loading...
Loading...
Loading...