Skip to main content

Human/Mouse/Rat SOX2 Antibody

R&D Systems, part of Bio-Techne | Catalog # MAB2018R

Recombinant Monoclonal Antibody.
R&D Systems, part of Bio-Techne

Key Product Details

Species Reactivity

Validated:

Human, Mouse, Rat

Cited:

Human

Applications

Validated:

Immunohistochemistry, Western Blot, Intracellular Staining by Flow Cytometry

Cited:

Immunohistochemistry

Label

Unconjugated

Antibody Source

Recombinant Monoclonal Mouse IgG2A Clone # 245610R

Product Specifications

Immunogen

E. coli-derived recombinant human SOX2
Gly135-Met317
Accession # P48431

Specificity

Detects human and mouse SOX2 in Western blots.

Clonality

Monoclonal

Host

Mouse

Isotype

IgG2A

Scientific Data Images for Human/Mouse/Rat SOX2 Antibody

Detection of Human, Mouse, and Rat SOX2 antibody by Western Blot.

Detection of Human, Mouse, and Rat SOX2 by Western Blot.

Western blot shows lysates of D3 mouse embryonic stem cell line, NTera-2 human testicular embryonic carcinoma cell line, F9 mouse teratocarcinoma stem cells, and rat cortical stem cells. PVDF membrane was probed with 2 µg/mL of Mouse Anti-Human/Mouse/Rat SOX2 Monoclonal Antibody (Catalog # MAB2018R) followed by HRP-conjugated Anti-Mouse IgG Secondary Antibody (HAF018). A specific band was detected for SOX2 at approximately 36 kDa (as indicated). This experiment was conducted under reducing conditions and using Immunoblot Buffer Group 1.
Detection of SOX2 antibody in NTera-2 Human Cell Line antibody by Flow Cytometry.

Detection of SOX2 in NTera‑2 Human Cell Line by Flow Cytometry.

NTera-2 human testicular embryonic carcinoma cell line was stained with Recombinant Mouse Anti-Human/Mouse/Rat SOX2 Monoclonal Antibody (Catalog # MAB2018R, filled histogram) or isotype control antibody (MAB003, open histogram), followed by Phycoerythrin-conjugated Anti-Mouse IgG Secondary Antibody (F0102B). To facilitate intracellular staining, cells were fixed with Flow Cytometry Fixation Buffer (FC004) and permeabilized with Flow Cytometry Permeabilization/Wash Buffer I (FC005). View our protocol for Staining Intracellular Molecules.

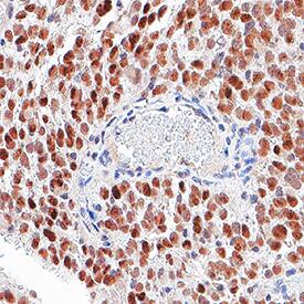
Detection of SOX2 in glioblastoma.

SOX2 was detected in immersion fixed paraffin-embedded sections of glioblastoma using Mouse Anti-Human/Mouse/Rat SOX2 Monoclonal Antibody (Catalog # MAB2018R) at 5 µg/mL for 1 hour at room temperature followed by incubation with the Anti-Mouse IgG VisUCyte™ HRP Polymer Antibody (Catalog # VC001). Before incubation with the primary antibody, tissue was subjected to heat-induced epitope retrieval using VisUCyte Antigen Retrieval Reagent-Basic (Catalog # VCTS021). Tissue was stained using DAB (brown) and counterstained with hematoxylin (blue). Specific staining was localized to nuclei in cancer cells. View our protocol for IHC Staining with VisUCyte HRP Polymer Detection Reagents.

Applications for Human/Mouse/Rat SOX2 Antibody

Application
Recommended Usage

Immunohistochemistry

5-25 µg/mL
Sample: Immersion fixed paraffin-embedded sections of glioblastoma

Intracellular Staining by Flow Cytometry

0.25 µg/106 cells
Sample: NTera‑2 human testicular embryonic carcinoma cell line fixed with Flow Cytometry Fixation Buffer (Catalog # FC004) and permeabilized with Flow Cytometry Permeabilization/Wash Buffer I (Catalog # FC005)

Western Blot

2 µg/mL
Sample: D3 mouse embryonic stem cell line, NTera‑2 human testicular embryonic carcinoma cell line, F9 mouse teratocarcinoma stem cells, and rat cortical stem cells

Formulation, Preparation, and Storage

Purification

Protein A or G purified from cell culture supernatant

Reconstitution

Reconstitute at 0.5 mg/mL in sterile PBS. For liquid material, refer to CoA for concentration.

Reconstitution Buffer Available:
Size / Price
Qty
Loading...

Formulation

Lyophilized from a 0.2 μm filtered solution in PBS with Trehalose. *Small pack size (SP) is supplied either lyophilized or as a 0.2 µm filtered solution in PBS.

Shipping

Lyophilized product is shipped at ambient temperature. Liquid small pack size (-SP) is shipped with polar packs. Upon receipt, store immediately at the temperature recommended below.

Stability & Storage

Use a manual defrost freezer and avoid repeated freeze-thaw cycles.
  • 12 months from date of receipt, -20 to -70 °C as supplied.
  • 1 month, 2 to 8 °C under sterile conditions after reconstitution.
  • 6 months, -20 to -70 °C under sterile conditions after reconstitution.

Background: SOX2

SOX2 belongs to the SOX (SRY-like HMG box) family of transcription factors with diverse roles in development. SOX2 functions in specifying the first three lineages present at implantation and in regulating proliferation and differentiation in the developing peripheral nervous system (1-6).

References

  1. Graham, V. et al. (2003) Neuron 39:749.
  2. Avilion, A.A. et al. (2003) Genes Dev. 17:126.
  3. Kishi, M. et al. (2000) Development 127:791.
  4. Yuan, H. et al. (1995) Genes Dev. 9:2635.
  5. Uwanogho, D. et al. (1995) Mech. Dev. 49:23.
  6. Stevanovic, M. (2003) Mol. Biol. Rep. 30:127.

Long Name

Transcription Factor SOX2

Alternate Names

ANOP3, MCOPS3, MGC2413, SRY (sex determining region Y)-box 2, SRY-related HMG-box gene 2, transcription factor SOX2, transcription factor SOX-2

Entrez Gene IDs

6657 (Human)

Gene Symbol

SOX2

UniProt

Additional SOX2 Products

Product Documents for Human/Mouse/Rat SOX2 Antibody

Certificate of Analysis

To download a Certificate of Analysis, please enter a lot number in the search box below.

Note: Certificate of Analysis not available for kit components.

Product Specific Notices for Human/Mouse/Rat SOX2 Antibody

For research use only

Loading...
Loading...
Loading...
Loading...
Loading...
Loading...