Skip to main content

Key Product Details

Species Reactivity

Validated:

Human, Mouse, Rat

Cited:

Human, Mouse, Rat, Canine, Primate - Macaca fascicularis (Crab-eating Monkey or Cynomolgus Macaque), Rabbit, Transgenic Mouse, Xenograft

Applications

Validated:

Immunohistochemistry, Western Blot, Immunocytochemistry, Simple Western

Cited:

Immunohistochemistry, Immunohistochemistry-Paraffin, Immunohistochemistry-Frozen, Western Blot, Flow Cytometry, Immunocytochemistry, Bioassay

Label

Unconjugated

Antibody Source

Polyclonal Goat IgG

Product Specifications

Immunogen

E. coli-derived recombinant human SOX1
Asn242-Gly379 (Leu276Ile)
Accession # NP_005977

Specificity

Detects human SOX1 in direct ELISAs and Western blots.

Clonality

Polyclonal

Host

Goat

Isotype

IgG

Scientific Data Images for Human/Mouse/Rat SOX1 Antibody

Detection of Human SOX1 antibody by Western Blot.

Detection of Human SOX1 by Western Blot.

Western blot shows lysates of undifferentiated iBJ6 human iPS cells and iBJ6 human iPS cells differentiated into neuroprogenitor cells. PVDF membrane was probed with 1 µg/mL of Goat Anti-Human/Mouse/Rat SOX1 Antigen Affinity-purified Polyclonal Antibody (Catalog # AF3369) followed by HRP-conjugated Anti-Goat IgG Secondary Antibody (HAF017). A specific band was detected for SOX1 at approximately 39 kDa (as indicated). This experiment was conducted under reducing conditions and using Immunoblot Buffer Group 1.
SOX1 antibody in ectoderm differentuiated BG01V Human Embryonic Stem Cells by Immunocytochemistry (ICC).

SOX1 in ectoderm differentuiated BG01V Human Embryonic Stem Cells.

SOX1 was detected in immersion fixed BG01V human embryonic stem cells differentiated into neural progenitor cells using Goat Anti-Human/Mouse/Rat SOX1 Antigen Affinity-purified Polyclonal Antibody (Catalog # AF3369) at 10 µg/mL for 3 hours at room temperature. Cells were stained using the NorthernLights™ 557-conjugated Anti-Goat IgG Secondary Antibody (red; NL001) and counterstained with DAPI (blue). Nestin was also detected using Mouse Anti-Mouse/Rat Nestin Monoclonal Antibody (MAB2736) and stained using the NorthernLights™ 493-conjugated Anti-Mouse IgG Secondary Antibody (green; Catalog # NL009). Specific staining of SOX1 was localized to nuclei. View our protocol for Fluorescent ICC Staining of Stem Cells on Coverslips.
SOX1 antibody in differentiated NTera-2 Human Cell Line by Immunocytochemistry (ICC).

SOX1 in differentiated NTera‑2 Human Cell Line.

SOX1 was detected in immersion fixed NTera-2 human testicular embryonic carcinoma cell line differentiated with retinoic acid using Goat Anti-Human/Mouse/Rat SOX1 Antigen Affinity-purified Polyclonal Antibody (Catalog # AF3369) at 10 µg/mL for 3 hours at room temperature. Cells were stained using the NorthernLights™ 493-conjugated Anti-Goat IgG Secondary Antibody (green, upper panel; NL003) and counterstained with DAPI (blue, lower panel). View our protocol for Fluorescent ICC Staining of Cells on Coverslips.

Applications for Human/Mouse/Rat SOX1 Antibody

Application
Recommended Usage

Immunocytochemistry

5-15 µg/mL
Sample: Immersion fixed NTera-2 human testicular embryonic carcinoma cell line, mouse cortical stem cells, rat cortical stem cells, and BG01V human embryonic stem cells differentiated into neural progenitor cells

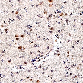
Immunohistochemistry

3-15 µg/mL
Sample: Immersion fixed paraffin-embedded sections of human brain (cortex)

Simple Western

10 µg/mL
Sample: iB6J human iPS cells differentiated into neuroprogenitor cells

Western Blot

1 µg/mL
Sample: iB6J human iPS cells differentiated into neuroprogenitor cells

Reviewed Applications

Read 4 reviews rated 5 using AF3369 in the following applications:

Formulation, Preparation, and Storage

Purification

Antigen Affinity-purified

Reconstitution

Reconstitute at 0.2 mg/mL in sterile PBS. For liquid material, refer to CoA for concentration.

Reconstitution Buffer Available:
Size / Price
Qty
Loading...

Formulation

Lyophilized from a 0.2 μm filtered solution in PBS with Trehalose. *Small pack size (SP) is supplied either lyophilized or as a 0.2 µm filtered solution in PBS.

Shipping

Lyophilized product is shipped at ambient temperature. Liquid small pack size (-SP) is shipped with polar packs. Upon receipt, store immediately at the temperature recommended below.

Stability & Storage

Use a manual defrost freezer and avoid repeated freeze-thaw cycles.
  • 12 months from date of receipt, -20 to -70 °C as supplied.
  • 1 month, 2 to 8 °C under sterile conditions after reconstitution.
  • 6 months, -20 to -70 °C under sterile conditions after reconstitution.

Background: SOX1

SOX1 is a 39 kDa transcription factor that belongs to the SOXB1 subgroup. Within the developing CNS, SOX1 maintains neural cells in an undifferentiated state and has been used as a marker for neural stem cells. Human and mouse SOX1 share 97% amino acid sequence identity.

Long Name

SRY-related HMG-box 1

Alternate Names

SRY (sex determining region Y)-box 1, SRY-related HMG-box gene 1, transcription factor SOX-1

Entrez Gene IDs

6656 (Human); 20664 (Mouse)

Gene Symbol

SOX1

UniProt

Additional SOX1 Products

Product Documents for Human/Mouse/Rat SOX1 Antibody

Certificate of Analysis

To download a Certificate of Analysis, please enter a lot number in the search box below.

Note: Certificate of Analysis not available for kit components.

Product Specific Notices for Human/Mouse/Rat SOX1 Antibody

For research use only

Loading...
Loading...
Loading...
Loading...