Skip to main content

Key Product Details

Species Reactivity

Validated:

Human, Mouse, Rat

Cited:

Human, Mouse, Transgenic Mouse

Applications

Validated:

Immunohistochemistry, Western Blot

Cited:

Western Blot

Label

Unconjugated

Antibody Source

Polyclonal Goat IgG

Product Specifications

Immunogen

E. coli-derived recombinant human Rap1A
Met1-Leu184
Accession # P62834

Specificity

Detects human, mouse and rat Rap1A/B. The antibody is highly specific for Rap1A/B and detects recombinant human Rap2A only upon prolonged film exposure.

Clonality

Polyclonal

Host

Goat

Isotype

IgG

Scientific Data Images for Human/Mouse/Rat Rap1A/B Antibody

Detection of Human Rap1A/B antibody by Western Blot.

Detection of Human Rap1A/B by Western Blot.

Western blot shows recombinant human Rap1A, Rap1B, Rap2A, and Rap2B (1 ng/lane). PVDF membrane was probed with 1 µg/mL Human/Mouse/Rat Rap1A/B Antigen Affinity-purified Polyclonal Antibody (Catalog # AF3767) followed by HRP-conjugated Anti-Goat IgG Secondary Antibody (HAF017). This experiment was conducted under reducing conditions and using Immunoblot Buffer Group 1.
Detection of Human/Mouse/Rat Rap1A/B antibody by Western Blot.

Detection of Human/Mouse/Rat Rap1A/B by Western Blot.

Western blot shows lysates of K562 human chronic myelogenous leukemia cell line, MDA-MB-468 human breast cancer cell line, PT18 mouse mast/basophil cell line, and Rat-2 rat embryonic fibroblast cell line. PVDF membrane was probed with 1 µg/mL Human/Mouse/Rat Rap1A/B Antigen Affinity-purified Polyclonal Antibody (Catalog # AF3767) followed by HRP-conjugated Anti-Goat IgG Secondary Antibody (HAF017). A specific band for Rap1A/B was detected at approximately 22 kDa (as indicated). This experiment was conducted under reducing conditions and using Immunoblot Buffer Group 1.

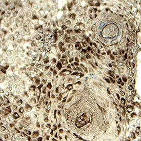
Detection of Rap1A/B in Human Squamous.

Rap1A/B was detected in immersion fixed paraffin-embedded sections of Human Squamous using Goat Anti-Human/Mouse/Rat Rap1A/B Antigen Affinity-purified Polyclonal Antibody (Catalog # AF3767) at 15 µg/mL for 1 hour at room temperature followed by incubation with HRP-DAB. Before incubation with the primary antibody, tissue was subjected to heat-induced epitope retrieval using VisUCyte Antigen Retrieval Reagent-Basic (Catalog # VCTS021). Tissue was stained using DAB (brown) and counterstained with hematoxylin (blue). Specific staining was localized to cytoplasm of cancer cells. View our protocol for IHC Staining with VisUCyte HRP Polymer Detection Reagents.

Applications for Human/Mouse/Rat Rap1A/B Antibody

Application
Recommended Usage

Immunohistochemistry

5-15 µg/mL
Sample: Immersion fixed paraffin-embedded sections of Human Squamous

Western Blot

1 µg/mL
Sample: K562 human chronic myelogenous leukemia cell line, MDA-MB-468 human breast cancer cell line, PT18 mouse mast/basophil cell line, and Rat-2 rat embryonic fibroblast cell line

Formulation, Preparation, and Storage

Purification

Antigen Affinity-purified

Reconstitution

Reconstitute at 0.2 mg/mL in sterile PBS. For liquid material, refer to CoA for concentration.

Reconstitution Buffer Available:
Size / Price
Qty
Loading...

Formulation

Lyophilized from a 0.2 μm filtered solution in PBS with Trehalose. *Small pack size (SP) is supplied either lyophilized or as a 0.2 µm filtered solution in PBS.

Shipping

Lyophilized product is shipped at ambient temperature. Liquid small pack size (-SP) is shipped with polar packs. Upon receipt, store immediately at the temperature recommended below.

Stability & Storage

Use a manual defrost freezer and avoid repeated freeze-thaw cycles.
  • 12 months from date of receipt, -20 to -70 °C as supplied.
  • 1 month, 2 to 8 °C under sterile conditions after reconstitution.
  • 6 months, -20 to -70 °C under sterile conditions after reconstitution.

Background: Rap1A/B

The Ras-related proteins Rap1A and Rap1B share 95% identity and together with Rap2A and Rap2B constitute a grouping within the Ras superfamily of small GTPases. Like other GTPases, Rap proteins transduce signals by cycling between an active GTP-bound and an inactive GDP-bound state. Rap1 counteracts the mitogenic function of Ras, possibly through competitive interactions with Ras GAPs and Raf, and is implicated in the regulation of integrins.

Long Name

Ras-related Protein 1A/B

Alternate Names

RAP1A, RAP1B

UniProt

Additional Rap1A/B Products

Product Documents for Human/Mouse/Rat Rap1A/B Antibody

Certificate of Analysis

To download a Certificate of Analysis, please enter a lot number in the search box below.

Note: Certificate of Analysis not available for kit components.

Product Specific Notices for Human/Mouse/Rat Rap1A/B Antibody

For research use only

Loading...
Loading...
Loading...
Loading...