Skip to main content

Key Product Details

Species Reactivity

Validated:

Human, Mouse, Rat

Cited:

Human, Mouse

Applications

Validated:

Immunohistochemistry, Western Blot, Simple Western

Cited:

Western Blot

Label

Unconjugated

Antibody Source

Monoclonal Mouse IgG2A Clone # 563002

Product Specifications

Immunogen

E. coli-derived recombinant human Raf-1
Asn189-Thr353
Accession # P04049

Specificity

Detects human, mouse, and rat Raf-1 at 74 kDa in Western blots.

Clonality

Monoclonal

Host

Mouse

Isotype

IgG2A

Scientific Data Images for Human/Mouse/Rat Raf-1 Antibody

Detection of Human, Mouse, and Rat Raf-1 antibody by Western Blot.

Detection of Human, Mouse, and Rat Raf-1 by Western Blot.

Western blot shows lysates of MCF-7 human breast cancer cell line, HepG2 human hepatocellular carcinoma cell line, A431 human epithelial carcinoma cell line, L-929 mouse fibroblast cell line, and NRK rat normal kidney cell line. PVDF Membrane was probed with 1 µg/mL of Mouse Anti-Human/Mouse/Rat Raf-1 Monoclonal Antibody (Catalog # MAB4540) followed by HRP-conjugated Anti-Mouse IgG Secondary Antibody (Catalog # HAF007). A specific band was detected for Raf-1 at approximately 74 kDa (as indicated). This experiment was conducted under reducing conditions and using Immunoblot Buffer Group 3.
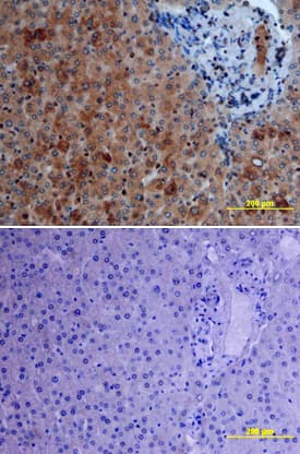
Raf-1 antibody in Human Liver by Immunohistochemistry (IHC-P).

Raf‑1 in Human Liver.

Raf-1 was detected in immersion fixed paraffin-embedded sections of human liver array using Mouse Anti-Human/Mouse/Rat Raf-1 Monoclonal Antibody (Catalog # MAB4540) at 15 µg/mL overnight at 4 °C. Tissue was stained using the Anti-Mouse HRP-DAB Cell & Tissue Staining Kit (brown; Catalog # CTS002) and counterstained with hematoxylin (blue). Lower panel shows a lack of labeling if primary antibodies are omitted and tissue is stained only with secondary antibody followed by incubation with detection reagents. View our protocol for Chromogenic IHC Staining of Paraffin-embedded Tissue Sections.

Detection of Human Raf-1 by Simple WesternTM.

Simple Western lane view shows lysates of MCF-7 human breast cancer cell line, loaded at 0.2 mg/mL. A specific band was detected for Raf-1 at approximately 75 kDa (as indicated) using 10 µg/mL of Mouse Anti-Human/Mouse/Rat Raf-1 Monoclonal Antibody (Catalog # MAB4540) . This experiment was conducted under reducing conditions and using the 12-230 kDa separation system.

Applications for Human/Mouse/Rat Raf-1 Antibody

Application
Recommended Usage

Immunohistochemistry

8-25 µg/mL
Sample: Immersion-fixed paraffin-embedded sections of human liver and human liver cancer tissue

Simple Western

10 µg/mL
Sample: MCF-7 human breast cancer cell line

Western Blot

1 µg/mL
Sample: MCF‑7 human breast cancer cell line, HepG2 human hepatocellular carcinoma cell line, A431 human epithelial carcinoma cell line, L‑929 mouse fibroblast cell line, and NRK rat normal kidney cell line

Reviewed Applications

Read 3 reviews rated 4.3 using MAB4540 in the following applications:

Formulation, Preparation, and Storage

Purification

Protein A or G purified from hybridoma culture supernatant

Reconstitution

Reconstitute at 0.5 mg/mL in sterile PBS. For liquid material, refer to CoA for concentration.

Reconstitution Buffer Available:
Size / Price
Qty
Loading...

Formulation

Lyophilized from a 0.2 μm filtered solution in PBS with Trehalose. *Small pack size (SP) is supplied either lyophilized or as a 0.2 µm filtered solution in PBS.

Shipping

Lyophilized product is shipped at ambient temperature. Liquid small pack size (-SP) is shipped with polar packs. Upon receipt, store immediately at the temperature recommended below.

Stability & Storage

Use a manual defrost freezer and avoid repeated freeze-thaw cycles.
  • 12 months from date of receipt, -20 to -70 °C as supplied.
  • 1 month, 2 to 8 °C under sterile conditions after reconstitution.
  • 6 months, -20 to -70 °C under sterile conditions after reconstitution.

Background: Raf-1

The Raf serine/threonine kinases are effectors of Ras that function as MAP3Ks in the ERK phosphorylation cascade. Mammals express three Raf proteins: A-Raf, B-Raf, and Raf-1, also known as C-Raf. Human Raf-1 contains three distinct regions; an N-terminal RBD (Ras-binding domain) (aa 56 - 131), followed by two rich segments [a cysteine-finger region (aa 138 - 184) (also called CR1/C1) and a second cysteine-rich region (CR2) (aa 253 - 264)] and a C-terminal Ser/Thr kinase catalytic domain (aa 354 - 611). Active Raf-1 phosphorylates and activates the MAPK kinases MEK1 and 2, which in turn phosphorylate and activate the MAP kinases ERK1 and 2.

Long Name

v-raf-1Murine Leukemia Viral Oncogene Homolog 1

Alternate Names

c-Raf-1, Raf1, v-Raf-1

Entrez Gene IDs

5894 (Human); 110157 (Mouse); 24703 (Rat)

Gene Symbol

RAF1

UniProt

Additional Raf-1 Products

Product Documents for Human/Mouse/Rat Raf-1 Antibody

Certificate of Analysis

To download a Certificate of Analysis, please enter a lot number in the search box below.

Note: Certificate of Analysis not available for kit components.

Product Specific Notices for Human/Mouse/Rat Raf-1 Antibody

For research use only

Loading...
Loading...
Loading...
Loading...