Skip to main content

Key Product Details

Validated by

Knockout/Knockdown

Species Reactivity

Validated:

Human, Mouse, Rat

Cited:

Human, Mouse

Applications

Validated:

Knockout Validated, Immunohistochemistry, Western Blot, Immunocytochemistry, Simple Western

Cited:

Immunohistochemistry, Western Blot, Immunocytochemistry

Label

Unconjugated

Antibody Source

Polyclonal Sheep IgG

Product Specifications

Immunogen

E. coli-derived recombinant human PKM1/2
Ser434-Pro531
Accession # P14618

Specificity

Detects human, mouse, and rat PKM2 in Western blots and detects recombinant human PKM1/2 in direct ELISAs.

Clonality

Polyclonal

Host

Sheep

Isotype

IgG

Scientific Data Images for Human/Mouse/Rat PKM1/2 Antibody

Detection of Human, Mouse, and Rat PKM2 antibody by Western Blot.

Detection of Human, Mouse, and Rat PKM2 by Western Blot.

Western blot shows lysates of A549 human lung carcinoma cell line, KG-1 human acute myelogenous leukemia cell line, BaF3 mouse pro-B cell line, and NRK rat normal kidney cell line. PVDF membrane was probed with 0.2 µg/mL of Sheep Anti-Human/Mouse/Rat PKM1/2 Antigen Affinity-purified Polyclonal Antibody (Catalog # AF7244) followed by HRP-conjugated Anti-Sheep IgG Secondary Antibody (HAF016). A specific band was detected for PKM2 at approximately 60 kDa (as indicated). This experiment was conducted under reducing conditions and using Immunoblot Buffer Group 1.
PKM2 antibody in Wi-38 Human Cell Line by Immunocytochemistry (ICC).

PKM2 in Wi-38 Human Cell Line.

PKM2 was detected in immersion fixed Wi-38 human lung fibroblast cell line using Sheep Anti-Human/Mouse/Rat PKM1/2 Antigen Affinity-purified Polyclonal Antibody (Catalog # AF7244) at 10 µg/mL for 3 hours at room temperature. Cells were stained using the NorthernLights™ 557-conjugated Anti-Sheep IgG Secondary Antibody (red; NL010) and counterstained with DAPI (blue). Specific staining was localized to cytoplasm. View our protocol for Fluorescent ICC Staining of Cells on Coverslips.
PKM2 antibody in RAW 264 by Immunocytochemistry (ICC).7 Mouse Cell Line by Immunocytochemistry (ICC).

PKM2 in RAW 264.7 Mouse Cell Line.

PKM2 was detected in immersion fixed RAW 264.7 mouse monocyte/macrophage cell line using Sheep Anti-Human/Mouse/Rat PKM1/2 Antigen Affinity-purified Polyclonal Antibody (Catalog # AF7244) at 10 µg/mL for 3 hours at room temperature. Cells were stained using the NorthernLights™ 557-conjugated Anti-Sheep IgG Secondary Antibody (red; NL010) and counterstained with DAPI (blue). Specific staining was localized to cytoplasm. View our protocol for Fluorescent ICC Staining of Cells on Coverslips.

Applications for Human/Mouse/Rat PKM1/2 Antibody

Application
Recommended Usage

Immunocytochemistry

5-15 µg/mL
Sample: Immersion fixed Wi-38 human lung fibroblast cell line and RAW 264.7 mouse monocyte/macrophage cell line

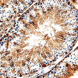
Immunohistochemistry

5-15 µg/mL
Sample: Perfusion fixed frozen sections of mouse and rat testis

Knockout Validated

PKM2 is specifically detected in HeLa human cervical epithelial carcinoma parental cell line but is not detectable in PKM2 knockout HeLa cell line.

Simple Western

2 µg/mL
Sample: A549 human lung carcinoma cell line

Western Blot

0.2 µg/mL
Sample: A549 human lung carcinoma cell line, KG‑1 human acute myelogenous leukemia cell line, BaF3 mouse pro-B cell line, NRK rat normal kidney cell line, U‑87 MG human glioblastoma/astrocytoma cell line, HeLa human cervical epithelial carcinoma cell line, human skeletal muscle

Formulation, Preparation, and Storage

Purification

Antigen Affinity-purified

Reconstitution

Sterile PBS to a final concentration of 0.2 mg/mL. For liquid material, refer to CoA for concentration.

Reconstitution Buffer Available:
Size / Price
Qty
Loading...

Formulation

Lyophilized from a 0.2 μm filtered solution in PBS with Trehalose. *Small pack size (SP) is supplied either lyophilized or as a 0.2 µm filtered solution in PBS.

Shipping

Lyophilized product is shipped at ambient temperature. Liquid small pack size (-SP) is shipped with polar packs. Upon receipt, store immediately at the temperature recommended below.

Stability & Storage

Use a manual defrost freezer and avoid repeated freeze-thaw cycles.
  • 12 months from date of receipt, -20 to -70 °C as supplied.
  • 1 month, 2 to 8 °C under sterile conditions after reconstitution.
  • 6 months, -20 to -70 °C under sterile conditions after reconstitution.

Background: PKM2

PKM2 (Pyruvate Kinase isoenzyme M2; also p58, OIP3, THBP1 and CTHBP) is a 58-60 kDa member of the PK family of enzymes. It is widely expressed, being found both intracellularly and in blood, and represents the more common splice variant of the PKM gene. PKM2 generates ATP and pyruvate by catalyzing the transfer of a phosphoryl group from PEP to ADP. Thus, when active, PKM2 promotes energy production and glycolysis. PKM2 exists as a marginally active monomer, with full activity achieved through homotetramerization. Notably, in tumor cells, select oncogenes appear to induce PKM2 homodimerization which limits PKM2 activity. PKM2 is known to be regulated by the binding of T3 and Fru-1,6-bisP. Human PKM2 is 531 amino acids (aa) in length. It contains a catalytic region (aa 43‑527) plus four utilized Ser/Thr and Tyr phosphorylation sites, respectively. PKM1 is another PKM gene splice variant that shows a 45 aa substitution for
aa 389‑433 of PKM2. This variant shows limited expression (striated muscle) and hyperbolic Michaelis-Menten kinetics. There are additional isoform variants of PKM2 that show either a deletion of aa 59‑132, or a 67 aa substitution for aa 1‑82. Over aa 434‑531, human PKM2 shares 95% aa sequence identity with mouse PKM2.

Long Name

Pyruvate Kinase, Muscle

Alternate Names

CTHBP, OIP3, p58, PK2, PK3, TCB, THBP1, Tumor M2-PK

Entrez Gene IDs

5315 (Human); 18746 (Mouse); 25630 (Rat)

Gene Symbol

PKM

UniProt

Additional PKM2 Products

Product Documents for Human/Mouse/Rat PKM1/2 Antibody

Certificate of Analysis

To download a Certificate of Analysis, please enter a lot number in the search box below.

Note: Certificate of Analysis not available for kit components.

Product Specific Notices for Human/Mouse/Rat PKM1/2 Antibody

For research use only

Loading...
Loading...
Loading...
Loading...