Skip to main content

Human/Mouse/Rat nNOS Antibody

R&D Systems, part of Bio-Techne | Catalog # MAB24162

Key Product Details

Species Reactivity

Human, Mouse, Rat

Applications

Immunohistochemistry, Western Blot

Label

Unconjugated

Antibody Source

Monoclonal Mouse IgG1 Clone # 85327

Product Specifications

Immunogen

S. frugiperda insect ovarian cell line Sf 21-derived recombinant human nNOS
Ser218-Ser1434
Accession # P29475

Specificity

Detects human nNos in direct ELISAs and Western blots.

Clonality

Monoclonal

Host

Mouse

Isotype

IgG1

Scientific Data Images for Human/Mouse/Rat nNOS Antibody

Detection of Mouse and Rat nNOS antibody by Western Blot.

Detection of Mouse and Rat nNOS by Western Blot.

Western blot shows lysates of mouse brain tissue and rat brain tissue. PVDF membrane was probed with 0.5 µg/mL of Mouse Anti-Human/Mouse/Rat nNOS Monoclonal Antibody (Catalog # MAB24162) followed by HRP-conjugated Anti-Mouse IgG Secondary Antibody (Catalog # HAF018). A specific band was detected for nNOS at approximately 160 kDa (as indicated). This experiment was conducted under reducing conditions and using Immunoblot Buffer Group 1.
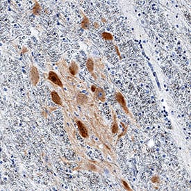
nNOS antibody in Human Brain by Immunohistochemistry (IHC-P).

nNOS in Human Brain.

nNOS was detected in immersion fixed paraffin-embedded sections of human brain (substantia nigra) using Mouse Anti-Human/Mouse/Rat nNOS Monoclonal Antibody (Catalog # MAB24162) at 5 µg/mL for 1 hour at room temperature followed by incubation with the Anti-Mouse IgG VisUCyte™ HRP Polymer Antibody (Catalog # VC001). Tissue was stained using DAB (brown) and counterstained with hematoxylin (blue). Specific staining was localized to neuronal cell bodies and processes. View our protocol for IHC Staining with VisUCyte HRP Polymer Detection Reagents.
nNOS antibody in Mouse Spinal Cord by Immunohistochemistry (IHC-Fr).

nNOS in Mouse Spinal Cord.

nNOS was detected in perfusion fixed frozen sections of mouse spinal cord using Mouse Anti-Human/Mouse/Rat nNOS Monoclonal Antibody (Catalog # MAB24162) at 5 µg/mL for 1 hour at room temperature followed by incubation with the Anti-Mouse IgG VisUCyte™ HRP Polymer Antibody (Catalog # VC001). Tissue was stained using DAB (brown) and counterstained with hematoxylin (blue). Specific staining was localized to dorsal horn. View our protocol for IHC Staining with VisUCyte HRP Polymer Detection Reagents.

Applications for Human/Mouse/Rat nNOS Antibody

Application
Recommended Usage

Immunohistochemistry

5-25 µg/mL
Sample: Perfusion fixed frozen sections of mouse spinal cord and immersion fixed paraffin-embedded human brain (substantia nigra)

Western Blot

0.5 µg/mL
Sample: Mouse brain tissue and rat brain tissue

Formulation, Preparation, and Storage

Purification

Protein A or G purified from hybridoma culture supernatant

Reconstitution

Reconstitute at 0.5 mg/mL in sterile PBS. For liquid material, refer to CoA for concentration.

Reconstitution Buffer Available:
Size / Price
Qty
Loading...

Formulation

Lyophilized from a 0.2 μm filtered solution in PBS with Trehalose. *Small pack size (SP) is supplied either lyophilized or as a 0.2 µm filtered solution in PBS.

Shipping

Lyophilized product is shipped at ambient temperature. Liquid small pack size (-SP) is shipped with polar packs. Upon receipt, store immediately at the temperature recommended below.

Stability & Storage

Use a manual defrost freezer and avoid repeated freeze-thaw cycles.
  • 12 months from date of receipt, -20 to -70 °C as supplied.
  • 1 month, 2 to 8 °C under sterile conditions after reconstitution.
  • 6 months, -20 to -70 °C under sterile conditions after reconstitution.

Background: nNOS

nNOS is one of three NOS enzymes that catalyze the oxidation of L-argine to L-citruline and nitric oxide. nNOS exists as homodimers containing a cytochrome P450‑like prosthetic heme group in the N-terminal half. It also has a tightly bound FAD and FMN group in the C-terminal half. At least 4 isoforms of human nNOS are known. Human nNOS shares about 55% amino acid sequence identity with eNOS and iNOS. It also shares 96% sequence identity with mouse or rat nNOS.

Long Name

Neuronal Nitric Oxide Synthase

Alternate Names

NOS1

Entrez Gene IDs

4842 (Human); 18125 (Mouse)

Gene Symbol

NOS1

UniProt

Additional nNOS Products

Product Documents for Human/Mouse/Rat nNOS Antibody

Certificate of Analysis

To download a Certificate of Analysis, please enter a lot number in the search box below.

Note: Certificate of Analysis not available for kit components.

Product Specific Notices for Human/Mouse/Rat nNOS Antibody

For research use only

Loading...
Loading...
Loading...
Loading...
Loading...