Skip to main content

Key Product Details

Species Reactivity

Validated:

Human, Mouse, Rat

Cited:

Human, Mouse, Transgenic Mouse

Applications

Validated:

Immunohistochemistry, Western Blot, Immunocytochemistry

Cited:

Immunohistochemistry, Immunocytochemistry

Label

Unconjugated

Antibody Source

Polyclonal Goat IgG

Product Specifications

Immunogen

E. coli-derived recombinant human Musashi-1
Met1-His362
Accession # O43347

Specificity

Detects human Musashi-1 in direct ELISAs and Western blots. In direct ELISAs, less than 1% cross-reactivity with recombinant human Musashi‑2 is observed.

Clonality

Polyclonal

Host

Goat

Isotype

IgG

Scientific Data Images for Human/Mouse/Rat Musashi-1 Antibody

Detection of Recombinant Human Musashi-1 antibody by Western Blot.

Detection of Recombinant Human Musashi‑1 by Western Blot.

Western blot shows 25 ng of Recombinant Human Musashi-1 and Recombinant Human Musashi-2. PVDF Membrane was probed with 0.1 µg/mL of Goat Anti-Human/Mouse/ Rat Musashi-1 Antigen Affinity-purified Polyclonal Antibody (Catalog # AF2628) followed by HRP-conjugated Anti-Goat IgG Secondary Antibody (Catalog # HAF109). A specific band was detected for Musashi-1 at approximately 39 kDa (as indicated). This experiment was conducted under reducing conditions and using Immunoblot Buffer Group 3.
Musashi-1 antibody in Mouse Cortical Stem Cells by Immunocytochemistry (ICC).

Musashi‑1 in Mouse Cortical Stem Cells.

Musashi-1 was detected in immersion fixed undifferentiated mouse cortical stem cells using Goat Anti-Human/Mouse/Rat Musashi-1 Antigen Affinity-purified Polyclonal Antibody (Catalog # AF2628) at 10 µg/mL for 3 hours at room temperature. Cells were stained using the NorthernLights™ 557-conjugated Anti-Goat IgG Secondary Antibody (red; Catalog # NL001) and counter-stained with DAPI (blue). Specific staining was localized to nuclei and cytoplasm. View our protocol for Fluorescent ICC Staining of Stem Cells on Coverslips.
Musashi-1 antibody in Rat Cortical Stem Cells by Immunocytochemistry (ICC).

Musashi‑1 in Rat Cortical Stem Cells.

Musashi-1 was detected in immersion fixed undifferentiated rat cortical stem cells using Goat Anti-Human/Mouse/Rat Musashi-1 Antigen Affinity-purified Polyclonal Antibody (Catalog # AF2628) at 10 µg/mL for 3 hours at room temperature. Cells were stained using the NorthernLights™ 557-conjugated Anti-Goat IgG Secondary Antibody (red; Catalog # NL001) and counterstained with DAPI (blue). Specific staining was localized to nuclei and cytoplasm. View our protocol for Fluorescent ICC Staining of Stem Cells on Coverslips.

Applications for Human/Mouse/Rat Musashi-1 Antibody

Application
Recommended Usage

Immunocytochemistry

5-15 µg/mL
Sample: Immersion fixed undifferentiated rat and mouse cortical stem cells

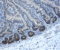
Immunohistochemistry

1-15 µg/mL
Sample: Immersion fixed paraffin-embedded sections of human intestine

Western Blot

0.1 µg/mL
Sample: Recombinant Human Musashi-1

Formulation, Preparation, and Storage

Purification

Antigen Affinity-purified

Reconstitution

Reconstitute at 0.2 mg/mL in sterile PBS. For liquid material, refer to CoA for concentration.

Reconstitution Buffer Available:
Size / Price
Qty
Loading...

Formulation

Lyophilized from a 0.2 μm filtered solution in PBS with Trehalose. *Small pack size (SP) is supplied either lyophilized or as a 0.2 µm filtered solution in PBS.

Shipping

Lyophilized product is shipped at ambient temperature. Liquid small pack size (-SP) is shipped with polar packs. Upon receipt, store immediately at the temperature recommended below.

Stability & Storage

Use a manual defrost freezer and avoid repeated freeze-thaw cycles.
  • 12 months from date of receipt, -20 to -70 °C as supplied.
  • 1 month, 2 to 8 °C under sterile conditions after reconstitution.
  • 6 months, -20 to -70 °C under sterile conditions after reconstitution.

Background: Musashi-1

Musashi-1 is an RNA-binding protein that is expressed in the developing central nervous system. Expression is highest in proliferating multipotent neural precursor cells and decreases during neuronal differentiation (1, 2).

References

  1. Kaneko, Y. et al. (2000) Dev. Neurosci. 22:139.
  2. Kanemura, Y. et al. (2002) Meth. Mol. Biol. 198:273.

Alternate Names

MSI1, Musashi1

Entrez Gene IDs

4440 (Human)

Gene Symbol

MSI1

UniProt

Additional Musashi-1 Products

Product Documents for Human/Mouse/Rat Musashi-1 Antibody

Certificate of Analysis

To download a Certificate of Analysis, please enter a lot number in the search box below.

Note: Certificate of Analysis not available for kit components.

Product Specific Notices for Human/Mouse/Rat Musashi-1 Antibody

For research use only

Loading...
Loading...
Loading...
Loading...