Human/Mouse/Rat Kynurenine 3-Monooxygenase/KMO Antibody
R&D Systems, part of Bio-Techne | Catalog # MAB8050
Recombinant Monoclonal Antibody.
Conjugate
Catalog #
Key Product Details
Species Reactivity
Validated:
Human, Mouse, Rat
Cited:
Rat
Applications
Validated:
Immunohistochemistry, Western Blot
Cited:
Western Blot
Label
Unconjugated
Antibody Source
Recombinant Monoclonal Rabbit IgG Clone # 2493A
Product Specifications
Immunogen
S. frugiperda insect ovarian cell line Sf 21-derived recombinant human Kynurenine 3-Monooxygenase/KMO
Asp2-Leu441
Accession # O15229
Asp2-Leu441
Accession # O15229
Specificity
Detects human Kynurenine 3-Monooxygenase/KMO in direct ELISAs. Detects human, mouse, and rat Kynurenine 3-Monooxygenase/KMO in Western blot.
Clonality
Monoclonal
Host
Rabbit
Isotype
IgG
Scientific Data Images for Human/Mouse/Rat Kynurenine 3-Monooxygenase/KMO Antibody
Detection of Human, Mouse, and Rat Kynurenine 3-Monooxygenase/KMO by Western Blot.
Western blot shows lysates of mouse liver tissue, rat spleen tissue, and MDA-MB-453 human breast cancer cell line. PVDF membrane was probed with 1 µg/mL of Rabbit Anti-Human/Mouse/Rat Kynurenine 3-Monooxygenase/KMO Monoclonal Antibody (Catalog # MAB8050) followed by HRP-conjugated Anti-Rabbit IgG Secondary Antibody (Catalog # HAF008). A specific band was detected for Kynurenine 3-Monooxygenase/KMO at approximately 55 kDa (as indicated). This experiment was conducted under reducing conditions and using Immunoblot Buffer Group 1.Kynurenine 3-Monooxygenase/KMO in Human Placenta.
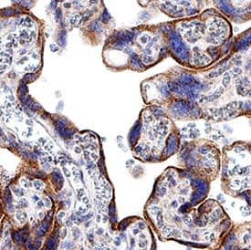
Kynurenine 3-Monooxygenase/KMO was detected in immersion fixed paraffin-embedded sections of human placenta using Rabbit Anti-Human/Mouse/Rat Kynurenine 3-Monooxygenase/KMO Monoclonal Antibody (Catalog # MAB8050) at 3 µg/mL for 1 hour at room temperature followed by incubation with the Anti-Rabbit IgG VisUCyte™ HRP Polymer Antibody (Catalog # VC003). Before incubation with the primary antibody, tissue was subjected to heat-induced epitope retrieval using Antigen Retrieval Reagent-Basic (Catalog # CTS013). Tissue was stained using DAB (brown) and counterstained with hematoxylin (blue). Specific staining was localized to cytoplasm in syncytiotrophoblast cells. View our protocol for IHC Staining with VisUCyte HRP Polymer Detection Reagents.Applications for Human/Mouse/Rat Kynurenine 3-Monooxygenase/KMO Antibody
Application
Recommended Usage
Immunohistochemistry
3-25 µg/mL
Sample: Iimmersion fixed paraffin-embedded sections of human placenta
Sample: Iimmersion fixed paraffin-embedded sections of human placenta
Western Blot
1 µg/mL
Sample: Mouse liver tissue, Rat spleen tissue, and MDA‑MB‑453 human breast cancer cell line
Sample: Mouse liver tissue, Rat spleen tissue, and MDA‑MB‑453 human breast cancer cell line
Formulation, Preparation, and Storage
Purification
Protein A or G purified from cell culture supernatant
Reconstitution
Reconstitute at 0.5 mg/mL in sterile PBS. For liquid material, refer to CoA for concentration.
Formulation
Lyophilized from a 0.2 μm filtered solution in PBS with Trehalose. *Small pack size (SP) is supplied either lyophilized or as a 0.2 µm filtered solution in PBS.
Shipping
Lyophilized product is shipped at ambient temperature. Liquid small pack size (-SP) is shipped with polar packs. Upon receipt, store immediately at the temperature recommended below.
Stability & Storage
Use a manual defrost freezer and avoid repeated freeze-thaw cycles.
- 12 months from date of receipt, -20 to -70 °C as supplied.
- 1 month, 2 to 8 °C under sterile conditions after reconstitution.
- 6 months, -20 to -70 °C under sterile conditions after reconstitution.
Background: Kynurenine 3-Monooxygenase/KMO
References
- Schwarcz, R. et al. (2012) Nat. Rev. Neurosci. 13:465.
- Okuda, S. et al. (1996) Proc. Natl. Acad. Sci. 93:12553.
- Stone, T.W. and M.N. Perkins. (1981) Eur. J. Pharmacol. 72:411.
- Zwilling, D. et al. (2011) Cell 145:863.
Alternate Names
KMO, Kynurenine 3Monooxygenase
Gene Symbol
KMO
UniProt
Additional Kynurenine 3-Monooxygenase/KMO Products
Product Documents for Human/Mouse/Rat Kynurenine 3-Monooxygenase/KMO Antibody
Product Specific Notices for Human/Mouse/Rat Kynurenine 3-Monooxygenase/KMO Antibody
For research use only
Loading...
Loading...
Loading...
Loading...