Skip to main content

Key Product Details

Species Reactivity

Validated:

Human, Mouse, Rat

Cited:

Human, Mouse, Rat

Applications

Validated:

Immunohistochemistry, Western Blot, ELISA, Neutralization

Cited:

Immunohistochemistry, Immunohistochemistry-Paraffin, Western Blot, Neutralization, Electrochemiluminescent Assay

Label

Unconjugated

Antibody Source

Polyclonal Goat IgG

Product Specifications

Immunogen

E. coli-derived recombinant human Growth Hormone
Phe27-Phe217
Accession # CAA23779

Specificity

Detects human Growth Hormone in direct ELISAs and Western blots.

Clonality

Polyclonal

Host

Goat

Isotype

IgG

Endotoxin Level

<0.10 EU per 1 μg of the antibody by the LAL method.

Scientific Data Images for Human/Mouse/Rat Growth Hormone Antibody

Detection of Human, Mouse, and Rat Growth Hormone antibody by Western Blot.

Detection of Human, Mouse, and Rat Growth Hormone by Western Blot.

Western blot shows lysates of human, mouse, and rat pituitary gland tissue. PVDF membrane was probed with 0.5 µg/mL of Goat Anti-Human Growth Hormone Antigen Affinity-purified Polyclonal Antibody (Catalog # AF1067) followed by HRP-conjugated Anti-Goat IgG Secondary Antibody (Catalog # HAF017). A specific band was detected for Growth Hormone at approximately 22 kDa (as indicated). This experiment was conducted under reducing conditions and using Immunoblot Buffer Group 1.
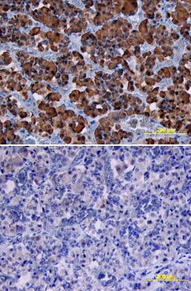
Growth Hormone antibody in Human Pituitary by Immunohistochemistry (IHC-P).

Growth Hormone in Human Pituitary.

Growth Hormone was detected in immersion fixed paraffin-embedded sections of human pituitary using Goat Anti-Human/Mouse/Rat Growth Hormone Antigen Affinity-purified Polyclonal Antibody (Catalog # AF1067) at 10 µg/mL overnight at 4 °C. Tissue was stained using the Anti-Goat HRP-DAB Cell & Tissue Staining Kit (brown; Catalog # CTS008) and counterstained with hematoxylin (blue). Lower panel shows a lack of labeling if primary antibodies are omitted and tissue is stained only with secondary antibody followed by incubation with detection reagents. View our protocol for Chromogenic IHC Staining of Paraffin-embedded Tissue Sections.
Cell Proliferation Induced by Growth Hormone and Neutralization by Human Growth Hormone Antibody.

Cell Proliferation Induced by Growth Hormone and Neutralization by Human Growth Hormone Antibody.

Recombinant Human Growth Hormone (Catalog # 1067-GH) stimulates proliferation in the Nb2-11 rat lymphoma cell line in a dose-dependent manner (orange line). Proliferation elicited by Recombinant Human Growth Hormone (0.2 ng/mL) is neutralized (green line) by increasing concentrations of Goat Anti-Human/Mouse/Rat Growth Hormone Antigen Affinity-purified Polyclonal Antibody (Catalog # AF1067). The ND50 is typically 1.5-7.5 ng/mL.

Applications for Human/Mouse/Rat Growth Hormone Antibody

Application
Recommended Usage

ELISA

This antibody functions as an ELISA detection antibody when paired with Mouse Anti-Human Growth Hormone Monoclonal Antibody (Catalog # MAB10671).

This product is intended for assay development on various assay platforms requiring antibody pairs. We recommend the Human Growth Hormone (GH) DuoSet ELISA Kit (Catalog # DY1067) for convenient development of a sandwich ELISA or the Human Growth Hormone Quantikine ELISA Kit (Catalog # DGH00) for a complete optimized ELISA.

Immunohistochemistry

5-15 µg/mL
Sample: Immersion fixed paraffin-embedded sections of human pituitary

Western Blot

0.5 µg/mL
Sample: Human, mouse, and rat pituitary gland tissue

Neutralization

Measured by its ability to neutralize Growth Hormone-induced proliferation in the Nb2‑11 rat lymphoma cell line. Gout, P.W. et al. (1980) Cancer Res. 40:2433. The Neutralization Dose (ND50) is typically 1.5-7.5 ng/mL in the presence of 0.2 ng/mL Recombinant Human Growth Hormone.

Reviewed Applications

Read 3 reviews rated 4.7 using AF1067 in the following applications:

Formulation, Preparation, and Storage

Purification

Antigen Affinity-purified

Reconstitution

Reconstitute at 0.2 mg/mL in sterile PBS. For liquid material, refer to CoA for concentration.

Reconstitution Buffer Available:
Size / Price
Qty
Loading...

Formulation

Lyophilized from a 0.2 μm filtered solution in PBS with Trehalose. *Small pack size (SP) is supplied either lyophilized or as a 0.2 µm filtered solution in PBS.

Shipping

Lyophilized product is shipped at ambient temperature. Liquid small pack size (-SP) is shipped with polar packs. Upon receipt, store immediately at the temperature recommended below.

Stability & Storage

Use a manual defrost freezer and avoid repeated freeze-thaw cycles.
  • 12 months from date of receipt, -20 to -70 °C as supplied.
  • 1 month, 2 to 8 °C under sterile conditions after reconstitution.
  • 6 months, -20 to -70 °C under sterile conditions after reconstitution.

Background: Growth Hormone

Growth Hormone (GH), also known as somatotropin, is a member of a family of growth factors that includes prolactin, placental lactogens, proliferins, and somatolactin (1, 2). It is synthesized primarily by somatotropes in the anterior pituitary and is stored in secretary granules. The pulsatile release of GH into circulation is regulated by the concerted actions of the hypothalamic hormones - GH-releasing hormone (GHRH) and somatostatin (SST) - as well as by signals from the periphery - ghrelin (3) and leptin (4). The human GH cDNA encodes a 217 amino acid (aa) residue precursor protein with a 26 aa putative signal peptide. By alternative splicing, at least four isoforms of GH have been identified (5).

Human GH is a pleiotropic cytokine that exerts its biological actions by binding to the transmembrane GH receptor, which is present in many cell types (1, 2). GH stimulates the liver and other tissues to produce IGF-I, which regulates growth and metabolism. GH has also been shown to have direct effects on growth that is independent of IGF-I. GH, directly or indirectly via IGF-I, can act on B cells, T cells, NK cells, macrophages, and neutrophils to exert immunomodulatory activities (6). In addition, GH can act directly on various cell types to induce lipolysis, lactation, amino acid uptake, and protein synthesis (1, 2, 6).

References

  1. Goffin, V. et al. (1996) Endocrine Rev. 17:385.
  2. Le Roith, D. et al. (2001) Endocrine Rev. 22:53.
  3. Kojima, K. et al. (1999) Nature, 402:656.
  4. Tannenbaum, G. et al. (1998) Endocrinol. 139:3871.
  5. Welniak, L.A. et al. (2002) J. Leukoc. Biol. 71:381.

Alternate Names

GH-N, GH1, GHB5, GHN, IGHD1A, IGHD2, Somatotropin

Entrez Gene IDs

2688 (Human)

Gene Symbol

GH1

UniProt

Additional Growth Hormone Products

Product Documents for Human/Mouse/Rat Growth Hormone Antibody

Certificate of Analysis

To download a Certificate of Analysis, please enter a lot number in the search box below.

Note: Certificate of Analysis not available for kit components.

Product Specific Notices for Human/Mouse/Rat Growth Hormone Antibody

For research use only

Loading...
Loading...
Loading...
Loading...