Skip to main content

Human/Mouse/Rat GABAB R2 Antibody

R&D Systems, part of Bio-Techne | Catalog # MAB10456

Recombinant Monoclonal Antibody.
R&D Systems, part of Bio-Techne

Key Product Details

Species Reactivity

Human, Mouse, Rat

Applications

Immunohistochemistry, Western Blot, Simple Western

Label

Unconjugated

Antibody Source

Recombinant Monoclonal Rabbit IgG Clone # 2605C

Product Specifications

Immunogen

Mouse myeloma cell line NS0-derived recombinant rat GABAB R2
Trp41-Ser482
Accession # O88871

Specificity

Detects human, mouse, and rat GABAB R2 in direct ELISAs.

Clonality

Monoclonal

Host

Rabbit

Isotype

IgG

Scientific Data Images for Human/Mouse/Rat GABAB R2 Antibody

Detection of Mouse and Rat GABABR2 antibody by Western Blot.

Detection of Mouse and Rat GABABR2 by Western Blot.

Western blot shows lysates of mouse brain tissue and rat brain tissue. PVDF membrane was probed with 1 µg/mL of Rabbit Anti-Human/Mouse/Rat GABABR2 Monoclonal Antibody (Catalog # MAB10456) followed by HRP-conjugated Anti-Rabbit IgG Secondary Antibody (Catalog # HAF008). A specific band was detected for GABABR2 at approximately 106 kDa (as indicated). This experiment was conducted under reducing conditions and using Immunoblot Buffer Group 1.
GABABR2 antibody in Human Brain by Immunohistochemistry (IHC-P).

GABABR2 in Human Brain.

GABABR2 was detected in immersion fixed paraffin-embedded sections of human brain (caudate putamen) using Rabbit Anti-Human/Mouse/Rat GABABR2 Monoclonal Antibody (Catalog # MAB10456) at 8 µg/mL for 1 hour at room temperature followed by incubation with the Anti-Rabbit IgG VisUCyte™ HRP Polymer Antibody (Catalog # VC003). Before incubation with the primary antibody, tissue was subjected to heat-induced epitope retrieval using Antigen Retrieval Reagent-Basic (Catalog # CTS013). Tissue was stained using DAB (brown) and counterstained with hematoxylin (blue). Specific staining was localized to neurons and neuronal processes. View our protocol for IHC Staining with VisUCyte HRP Polymer Detection Reagents.
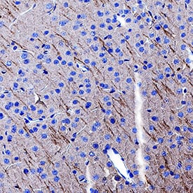
GABABR2 antibody in Mouse Brain by Immunohistochemistry (IHC-P).

GABABR2 in Mouse Brain.

GABABR2 was detected in perfusion fixed paraffin-embedded sections of mouse brain using Rabbit Anti-Human/Mouse/Rat GABABR2 Monoclonal Antibody (Catalog # MAB10456) at 10 µg/mL for 1 hour at room temperature followed by incubation with the Anti-Rabbit IgG VisUCyte™ HRP Polymer Antibody (Catalog # VC003). Before incubation with the primary antibody, tissue was subjected to heat-induced epitope retrieval using Antigen Retrieval Reagent-Basic (Catalog # CTS013). Tissue was stained using DAB (brown) and counterstained with hematoxylin (blue). Specific staining was localized to neuronal processes. View our protocol for IHC Staining with VisUCyte HRP Polymer Detection Reagents.

Applications for Human/Mouse/Rat GABAB R2 Antibody

Application
Recommended Usage

Immunohistochemistry

8-25 µg/mL
Sample: Immersion fixed paraffin-embedded sections of human brain (caudate putamen), perfusion fixed paraffin-embedded sections of mouse brain and perfusion fixed paraffin-embedded sections of rat brain

Simple Western

20 µg/mL
Sample: Rat brain

Western Blot

1 µg/mL
Sample: Mouse brain tissue and Rat brain tissue

Formulation, Preparation, and Storage

Purification

Protein A or G purified from cell culture supernatant

Reconstitution

Reconstitute at 0.5 mg/mL in sterile PBS. For liquid material, refer to CoA for concentration.

Reconstitution Buffer Available:
Size / Price
Qty
Loading...

Formulation

Lyophilized from a 0.2 μm filtered solution in PBS with Trehalose. *Small pack size (SP) is supplied either lyophilized or as a 0.2 µm filtered solution in PBS.

Shipping

Lyophilized product is shipped at ambient temperature. Liquid small pack size (-SP) is shipped with polar packs. Upon receipt, store immediately at the temperature recommended below.

Stability & Storage

Use a manual defrost freezer and avoid repeated freeze-thaw cycles.
  • 12 months from date of receipt, -20 to -70 °C as supplied.
  • 1 month, 2 to 8 °C under sterile conditions after reconstitution.
  • 6 months, -20 to -70 °C under sterile conditions after reconstitution.

Background: GABA-B R2

GABBR2 is half of a heterodimeric GPCR for GABA which mediates coupling to G proteins. B-type receptors for the neurotransmitter GABA (gamma-aminobutyric acid) inhibit neuronal activity through G protein-coupled second-messenger systems, which regulate the release of neurotransmitters and the activity of ion channels and adenylyl cyclase As a homodimer, GABBR2 is retained in the endoplasmic reticulum and endoplasmic reticulum-Golgi intermediate compartment.  When GBR1/GBR2 heterodimers are present they are localized to the plasma membrane. GABBR2 is differentially expressed in the nervous system. GABBR2 and GABBR1 mRNA's are coexpressed in various brain regions such as the Purkinje cell layer of the cerebellum. In situ hybridization histochemistry using an antisensce probe to this novel receptor indicates GABBR2 is found exclusively in neurons. GABBR2 is implicated in synaptic inhibition, hippocampal long-term potentiation, slow wave sleep, muscle relaxation and nociception.

Long Name

gamma-Aminobutyric Acid Type B Receptor Subunit 2

Alternate Names

GABABR2, GABBR2, GPR51, GPRC3B

Entrez Gene IDs

9568 (Human); 83633 (Rat)

Gene Symbol

GABBR2

UniProt

Additional GABA-B R2 Products

Product Documents for Human/Mouse/Rat GABAB R2 Antibody

Certificate of Analysis

To download a Certificate of Analysis, please enter a lot number in the search box below.

Note: Certificate of Analysis not available for kit components.

Product Specific Notices for Human/Mouse/Rat GABAB R2 Antibody

For research use only

Loading...
Loading...
Loading...
Loading...