Skip to main content

Key Product Details

Species Reactivity

Validated:

Human, Mouse, Rat

Cited:

Mouse

Applications

Validated:

Immunohistochemistry, Western Blot

Cited:

Immunocytochemistry

Label

Unconjugated

Antibody Source

Monoclonal Mouse IgG1 Clone # 896537

Product Specifications

Immunogen

E. coli-derived recombinant human FLIP
Met1-Asn200
Accession # O15519

Specificity

Detects human FLIP in direct ELISAs and human, mouse, and rat FLIP in Western blots.

Clonality

Monoclonal

Host

Mouse

Isotype

IgG1

Scientific Data Images for Human/Mouse/Rat FLIP Antibody

Detection of Human, Mouse, and Rat FLIP antibody by Western Blot.

Detection of Human, Mouse, and Rat FLIP by Western Blot.

Western blot shows lysates of PANC-1 human pancreatic carcinoma cell line, L-929 mouse fibroblast cell line, and Rat-2 rat embryonic fibroblast cell line. PVDF membrane was probed with 2 µg/mL of Mouse Anti-Human/Mouse/Rat FLIP Monoclonal Antibody (Catalog # MAB8430) followed by HRP-conjugated Anti-Mouse IgG Secondary Antibody (Catalog # HAF018). A specific band was detected for FLIP at approximately 55 kDa (as indicated). This experiment was conducted under reducing conditions and using Immunoblot Buffer Group 1.
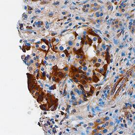
FLIP antibody in Human Pancreatic Cancer Tissue by Immunohistochemistry (IHC-P).

FLIP in Human Pancreatic Cancer Tissue.

FLIP was detected in immersion fixed paraffin-embedded sections of human pancreatic cancer tissue using Mouse Anti-Human/Mouse/Rat FLIP Monoclonal Antibody (Catalog # MAB8430) at 15 µg/mL overnight at 4 °C. Tissue was stained using the Anti-Mouse HRP-DAB Cell & Tissue Staining Kit (brown; Catalog # CTS002) and counterstained with hematoxylin (blue). Specific staining was localized to cytoplasm of cells in islets. View our protocol for Chromogenic IHC Staining of Paraffin-embedded Tissue Sections.

Applications for Human/Mouse/Rat FLIP Antibody

Application
Recommended Usage

Immunohistochemistry

8-25 µg/mL
Sample: Immersion fixed paraffin-embedded sections of human pancreatic cancer tissue

Western Blot

2 µg/mL
Sample: PANC‑1 human pancreatic carcinoma cell line, L‑929 mouse fibroblast cell line, and Rat‑2 rat embryonic fibroblast cell line

Formulation, Preparation, and Storage

Purification

Protein A or G purified from hybridoma culture supernatant

Reconstitution

Reconstitute at 0.5 mg/mL in sterile PBS. For liquid material, refer to CoA for concentration.

Reconstitution Buffer Available:
Size / Price
Qty
Loading...

Formulation

Lyophilized from a 0.2 μm filtered solution in PBS with Trehalose. *Small pack size (SP) is supplied either lyophilized or as a 0.2 µm filtered solution in PBS.

Shipping

Lyophilized product is shipped at ambient temperature. Liquid small pack size (-SP) is shipped with polar packs. Upon receipt, store immediately at the temperature recommended below.

Stability & Storage

Use a manual defrost freezer and avoid repeated freeze-thaw cycles.
  • 12 months from date of receipt, -20 to -70 °C as supplied.
  • 1 month, 2 to 8 °C under sterile conditions after reconstitution.
  • 6 months, -20 to -70 °C under sterile conditions after reconstitution.

Background: FLIP

FLIP (Flice-Like Inhibitory Protein), also known as CFLAR (CASP8 and FADD-Like Apoptosis Regulator), I-FLICE, CASPER, and FLAME-1, is an apoptosis inhibitory protein with architecture similar to that of Caspases-8 and -10. Both of the major FLIP isoforms, the 55 kDa Long (L) and the 27 kDa Short (S), contain two death effector domains (DED).  FLIP(L) has a C-terminal Caspase-like protease domain which lacks both a catalytic active site and residues that form a substrate-binding pocket. FLIP(S) and FLIP(L) interact with the adaptor molecule FADD, and potently inhibit apoptosis initiated by Fas Ligand/TNF signaling pathways.  Over amino acids 1-200, human FLIP shares 75% sequence identity with mouse and rat FLIP.

Long Name

FLICE Inhibitory Proteins

Alternate Names

CASPER, CFLAR, FLAME-1, I-FLICE

Entrez Gene IDs

8837 (Human); 12633 (Mouse)

Gene Symbol

CFLAR

UniProt

Additional FLIP Products

Product Documents for Human/Mouse/Rat FLIP Antibody

Certificate of Analysis

To download a Certificate of Analysis, please enter a lot number in the search box below.

Note: Certificate of Analysis not available for kit components.

Product Specific Notices for Human/Mouse/Rat FLIP Antibody

For research use only

Loading...
Loading...
Loading...
Loading...