Skip to main content

Key Product Details

Species Reactivity

Validated:

Human, Mouse, Rat

Cited:

Human, Mouse, Rat, Xenograft

Applications

Validated:

Immunohistochemistry, Western Blot

Cited:

Immunohistochemistry, Western Blot, Simple Western, Functional Assay

Label

Unconjugated

Antibody Source

Monoclonal Mouse IgG1 Clone # 216703

Product Specifications

Immunogen

E. coli-derived recombinant human ERK1
Met1-Pro379
Accession # P27361

Specificity

Detects human, mouse, and rat ERK1/ERK2 in Western blots.

Clonality

Monoclonal

Host

Mouse

Isotype

IgG1

Scientific Data Images for Human/Mouse/Rat ERK1/ERK2 Antibody

Detection of Human/Mouse/Rat ERK1/ERK2 antibody by Western Blot.

Detection of Human/Mouse/Rat ERK1/ERK2 by Western Blot.

Western blot shows lysates of HeLa human cervical epithelial carcinoma cell line, PC-12 rat adrenal pheochromocytoma cell line, and TS1 mouse helper T cell line. PVDF membrane was probed with 0.5 µg/mL Mouse Anti-Human/Mouse/Rat ERK1/ERK2 Monoclonal Antibody (Catalog # MAB1576) followed by HRP-conjugated Anti-Mouse IgG Secondary Antibody (Catalog # HAF007). For additional reference, recombinant human ERK1 and ERK2 (2 ng/lane) were included. A specific band for ERK1/ERK2 was detected at approximately 44/42 kDa (as indicated). This experiment was conducted under reducing conditions and using Immunoblot Buffer Group 4.
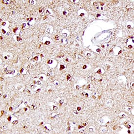
ERK1/ERK2 antibody in Human Brain by Immunohistochemistry (IHC-P).

ERK1/ERK2 in Human Brain.

ERK1/ERK2 was detected in immersion fixed paraffin-embedded sections of human brain (cortex) using Mouse Anti-Human/Mouse/Rat ERK1/ERK2 Monoclonal Antibody (Catalog # MAB1576) at 15 µg/mL overnight at 4 °C. Tissue was stained using the Anti-Mouse HRP-DAB Cell & Tissue Staining Kit (brown; Catalog # CTS002) and counterstained with hematoxylin (blue). Specific staining was localized to neuronal cell bodies. View our protocol for Chromogenic IHC Staining of Paraffin-embedded Tissue Sections.

Applications for Human/Mouse/Rat ERK1/ERK2 Antibody

Application
Recommended Usage

Immunohistochemistry

8-25 µg/mL
Sample: Immersion fixed paraffin-embedded sections of human brain cortex

Western Blot

0.5 µg/mL
Sample: HeLa human cervical epithelial carcinoma cell line, PC-12 rat adrenal pheochromocytoma cell line, and TS1 mouse helper T cell line

Reviewed Applications

Read 8 reviews rated 4 using MAB1576 in the following applications:

Formulation, Preparation, and Storage

Purification

Protein A or G purified from hybridoma culture supernatant

Reconstitution

Reconstitute at 0.5 mg/mL in sterile PBS. For liquid material, refer to CoA for concentration.

Reconstitution Buffer Available:
Size / Price
Qty
Loading...

Formulation

Lyophilized from a 0.2 μm filtered solution in PBS with Trehalose. *Small pack size (SP) is supplied either lyophilized or as a 0.2 µm filtered solution in PBS.

Shipping

Lyophilized product is shipped at ambient temperature. Liquid small pack size (-SP) is shipped with polar packs. Upon receipt, store immediately at the temperature recommended below.

Stability & Storage

Use a manual defrost freezer and avoid repeated freeze-thaw cycles.
  • 12 months from date of receipt, -20 to -70 °C as supplied.
  • 1 month, 2 to 8 °C under sterile conditions after reconstitution.
  • 6 months, -20 to -70 °C under sterile conditions after reconstitution.

Background: ERK1/ERK2

ERK1 and ERK2 (also known as MAPK3 and MAPK1) are 44 and 42 kDa Ser/Thr kinases, respectively. They are part of the Ras-Raf ERK signal transduction cascade often found downstream of growth factor receptor activation. ERK1 and ERK2 were initially isolated and cloned as kinases activated in response to insulin and NGF. They are expressed in most, if not all, mammalian tissues. Dual threonine and tyrosine phosphorylation activates both ERKs, at Thr202/Tyr204 for human ERK1 and Thr185/Tyr187 for human ERK2. The two proteins share 83% amino acid identity, differing mainly at the N and C termini.

Long Name

Extracellular Signal-regulated Kinase 1/2

Alternate Names

ERK1, ERK-1, ERT2, Extracellular signal-regulated kinase 1, extracellular signal-related kinase 1, HS44KDAP, HUMKER1A, Insulin-stimulated MAP2 kinase, MAPK 1, Microtubule-associated protein 2 kinase, mitogen-activated protein kinase 3, p44erk1, p44-ERK1, p44mapk, p44-MAPK, PRKM3

UniProt

Additional ERK1/ERK2 Products

Product Documents for Human/Mouse/Rat ERK1/ERK2 Antibody

Certificate of Analysis

To download a Certificate of Analysis, please enter a lot number in the search box below.

Note: Certificate of Analysis not available for kit components.

Product Specific Notices for Human/Mouse/Rat ERK1/ERK2 Antibody

For research use only

Loading...
Loading...
Loading...
Loading...