Skip to main content

Key Product Details

Species Reactivity

Validated:

Human, Mouse, Rat

Cited:

Human

Applications

Validated:

Immunohistochemistry, Western Blot

Cited:

Western Blot

Label

Unconjugated

Antibody Source

Monoclonal Mouse IgG2B Clone # 670914

Product Specifications

Immunogen

E. coli-derived recombinant human DGK-epsilon
Asn314-Arg435
Accession # P52429

Specificity

Detects human DGK-epsilon in direct ELISAs and human, mouse and rat DGK-epsilon in Western blots. In Western blots, approximately 10-50% cross-reactivity with recombinant human DGK zeta, eta, iota, alpha, theta, gamma, kappa, delta, and beta is observed.

Clonality

Monoclonal

Host

Mouse

Isotype

IgG2B

Scientific Data Images for Human/Mouse/Rat DGK-epsilon Antibody

Detection of Human, Mouse, and Rat DGK-e antibody by Western Blot.

Detection of Human, Mouse, and Rat DGK‑ epsilon by Western Blot.

Western blot shows lysates of HeLa human cervical epithelial carcinoma cell line, L1.2 mouse pro-B cell line, L6 rat myoblast cell line, and Nb2-11 rat lymphoma cell line. PVDF membrane was probed with 1 µg/mL of Mouse Anti-Human DGK-e Monoclonal Antibody (Catalog # MAB5125) followed by HRP-conjugated Anti-Mouse IgG Secondary Antibody (Catalog # HAF007). A specific band was detected for DGK-e at approximately 64 kDa (as indicated). This experiment was conducted under reducing conditions and using Immunoblot Buffer Group 1.
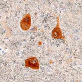
DGK-e antibody in Human Brain by Immunohistochemistry (IHC-P).

DGK‑ epsilon in Human Brain.

DGK-e was detected in immersion fixed paraffin-embedded sections of human brain (medulla) using Mouse Anti-Human DGK-e Monoclonal Antibody (Catalog # MAB5125) at 15 µg/mL overnight at 4 °C. Before incubation with the primary antibody, tissue was subjected to heat-induced epitope retrieval using Antigen Retrieval Reagent-Basic (Catalog # CTS013). Tissue was stained using the Anti-Mouse HRP-DAB Cell & Tissue Staining Kit (brown; Catalog # CTS002) and counterstained with hematoxylin (blue). Specific staining was localized to neurons. This application has not yet been tested in mouse or rat samples. View our protocol for Chromogenic IHC Staining of Paraffin-embedded Tissue Sections.

Applications for Human/Mouse/Rat DGK-epsilon Antibody

Application
Recommended Usage

Immunohistochemistry

8-25 µg/mL
Sample: Immersion fixed paraffin-embedded sections of human brain (medulla)

Western Blot

1 µg/mL
Sample: HeLa human cervical epithelial carcinoma cell line, L1.2 mouse pro-B cell line, L6 rat myoblast cell line, and Nb2‑11 rat lymphoma cell line

Formulation, Preparation, and Storage

Purification

Protein A or G purified from hybridoma culture supernatant

Reconstitution

Sterile PBS to a final concentration of 0.5 mg/mL. For liquid material, refer to CoA for concentration.

Reconstitution Buffer Available:
Size / Price
Qty
Loading...

Formulation

Lyophilized from a 0.2 μm filtered solution in PBS with Trehalose. *Small pack size (SP) is supplied either lyophilized or as a 0.2 µm filtered solution in PBS.

Shipping

Lyophilized product is shipped at ambient temperature. Liquid small pack size (-SP) is shipped with polar packs. Upon receipt, store immediately at the temperature recommended below.

Stability & Storage

Use a manual defrost freezer and avoid repeated freeze-thaw cycles.
  • 12 months from date of receipt, -20 to -70 °C as supplied.
  • 1 month, 2 to 8 °C under sterile conditions after reconstitution.
  • 6 months, -20 to -70 °C under sterile conditions after reconstitution.

Background: DGK-epsilon

DGK-epsilon (Diacylglycerol kinase epsilon) is a 65 kDa member of the eukaryocytic diacylglycerol kinase family of enzymes. It is a type III DGK that possesses only a C1/Cys-rich domain and a catalytic region, and is found in neurons and testis. DGK-epsilon specifically phosphorylates arachidonate-containing DAG, and may downregulate DAG signaling that results from inositol cycling. Human DGK-epsilon is 567 amino acids (aa) in length. It contains one predicted transmembrane domain (aa 22-42), two C1 DAG-binding regions (aa 59-108 and 124-177) and one catalytic domain (aa 219-350). DGK-epsilon is predicted to form intramembrane oligomers. Over aa 314-435, human DGK-epsilon shares 99% aa identity with mouse DGK-epsilon.

Long Name

Diacylglycerol Kinase, epsilon 64kDa

Alternate Names

DAGK5, DAGK6, DGKE, DGKepsilon

Entrez Gene IDs

8526 (Human); 56077 (Mouse)

Gene Symbol

DGKE

UniProt

Additional DGK-epsilon Products

Product Documents for Human/Mouse/Rat DGK-epsilon Antibody

Certificate of Analysis

To download a Certificate of Analysis, please enter a lot number in the search box below.

Note: Certificate of Analysis not available for kit components.

Product Specific Notices for Human/Mouse/Rat DGK-epsilon Antibody

For research use only

Loading...
Loading...
Loading...
Loading...