Skip to main content

Key Product Details

Species Reactivity

Validated:

Human, Mouse, Rat

Cited:

Human, Mouse, Transgenic Mouse

Applications

Validated:

Immunohistochemistry, Western Blot, Simple Western

Cited:

Immunohistochemistry, Neutralization, Immunocytochemistry, Immunoprecipitation

Label

Unconjugated

Antibody Source

Polyclonal Goat IgG

Product Specifications

Immunogen

Mouse myeloma cell line NS0-derived recombinant human Contactin‑2/TAG1
Leu29-Asn1012
Accession # Q02246

Specificity

Detects human Contactin‑2/TAG1 in direct ELISAs. Detects human, mouse, and rat Contactin‑2/TAG1 in Western blots. In direct ELISAs, less than 5% cross-reactivity with recombinant human (rh) Contactin-3, rhContactin-4, rhContactin-5 and rhContactin-6 is observed.

Clonality

Polyclonal

Host

Goat

Isotype

IgG

Scientific Data Images for Human/Mouse/Rat Contactin-2/TAG1 Antibody

Detection of Human, Mouse, and Rat Contactin-2/TAG1 antibody by Western Blot.

Detection of Human, Mouse, and Rat Contactin‑2/TAG1 by Western Blot.

Western blot shows lysates of human cerebellum tissue, mouse brain tissue, and rat brain tissue. PVDF membrane was probed with 1 µg/mL of Goat Anti-Human/Mouse/Rat Contactin-2/TAG1 Antigen Affinity-purified Polyclonal Antibody (Catalog # AF1714) followed by HRP-conjugated Anti-Goat IgG Secondary Antibody (Catalog # HAF017). A specific band was detected for Contactin-2/TAG1 at approximately 135 kDa (as indicated). This experiment was conducted under reducing conditions and using Immunoblot Buffer Group 1.
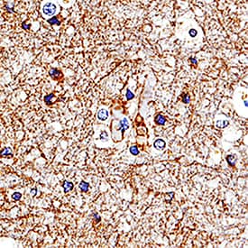
Contactin-2/TAG1 antibody in Human Brain by Immunohistochemistry (IHC-P).

Contactin‑2/TAG1 in Human Brain.

Contactin-2/TAG1 was detected in immersion fixed paraffin-embedded sections of human brain (cortex) using Goat Anti-Human/Mouse/Rat Contactin-2/TAG1 Antigen Affinity-purified Polyclonal Antibody (Catalog # AF1714) at 15 µg/mL overnight at 4 °C. Tissue was stained using the Anti-Goat HRP-DAB Cell & Tissue Staining Kit (brown; Catalog # CTS008) and counterstained with hematoxylin (blue). Specific staining was localized to neuronal processes. View our protocol for Chromogenic IHC Staining of Paraffin-embedded Tissue Sections.

Detection of Human Contactin-2/TAG1 by Simple WesternTM.

Simple Western lane view shows lysates of human brain (cerebellum and hippocampus), loaded at 0.2 mg/mL. A specific band was detected for Contactin-2/TAG1 at approximately 160 kDa (as indicated) using 20 µg/mL of Goat Anti-Human/Mouse/Rat Contactin-2/TAG1 Antigen Affinity-purified Polyclonal Antibody (Catalog # AF1714) . This experiment was conducted under reducing conditions and using the 12-230 kDa separation system.

Applications for Human/Mouse/Rat Contactin-2/TAG1 Antibody

Application
Recommended Usage

Immunohistochemistry

5-15 µg/mL
Sample:  Immersion fixed paraffin-embedded sections of human brain (cortex)

Simple Western

20 µg/mL
Sample: Human brain (cerebellum and hippocampus)

Western Blot

1 µg/mL
Sample: Human cerebellum tissue, Mouse brain tissue, and Rat brain tissue

Formulation, Preparation, and Storage

Purification

Antigen Affinity-purified

Reconstitution

Reconstitute at 0.2 mg/mL in sterile PBS. For liquid material, refer to CoA for concentration.

Reconstitution Buffer Available:
Size / Price
Qty
Loading...

Formulation

Lyophilized from a 0.2 μm filtered solution in PBS with Trehalose. *Small pack size (SP) is supplied either lyophilized or as a 0.2 µm filtered solution in PBS.

Shipping

Lyophilized product is shipped at ambient temperature. Liquid small pack size (-SP) is shipped with polar packs. Upon receipt, store immediately at the temperature recommended below.

Stability & Storage

Use a manual defrost freezer and avoid repeated freeze-thaw cycles.
  • 12 months from date of receipt, -20 to -70 °C as supplied.
  • 1 month, 2 to 8 °C under sterile conditions after reconstitution.
  • 6 months, -20 to -70 °C under sterile conditions after reconstitution.

Background: Contactin-2/TAG1

Contactin-2 (CNTN2), also called TAG-1 (transient axonal glycoprotein), TAX1 (transiently-expressed axonal glycoprotein), or axonin-1, is a 135 kDa glycosyl‑phosphatidylinositol (GPI)- anchored cell adhesion molecule that belongs to the contactin subfamily within the immunoglobulin (Ig) protein superfamily (1‑3). Human Contactin-2 cDNA encodes a 28 amino acid (aa) signal peptide, a 984 aa mature secreted protein with six Ig-like domains followed by four fibronectin type III‑like repeats, and a 28 aa C-terminal GPI anchor pro-sequence. GPI-specific phospholipase activity can release soluble, active Contactin-2 from the membrane (2). Mature human Contactin-2 shares approximately 93%, 93% and 75% aa sequence identity with human, rat and chicken Contactin-2, respectively. During development, Contactin-2 is expressed by a subset of neuronal populations in the central nervous system (CNS) and peripheral nervous system (PNS), particularly during initial phases of axon outgrowth (3‑5). Both the 135 kDa form and a 90 kDa form are also upregulated in response to CNS injury in the adult (6). Data support a role for Contactin-2 in axon pathfinding, neurite outgrowth and adhesion, especially in the CNS (3‑6). In mature myelinated fibers, Contactin‑2 is expressed by oligodendrocytes and Schwann cells, which are myelinating glial cells of the CNS and PNS, respectively (7, 8). It is enriched in the juxtaparanodal regions, where it recruits caspr2 (Contactin‑associated protein 2), a transmembrane neurexin involved in cell adhesion and intercellular communication (7‑10). The axonal Contactin‑2 interacts in cis with caspr2, and in trans with another Contactin‑2 on the glial membrane (8). This ternary complex is required for the accumulation and organization of K+ channels in the juxtaparanodes (9).

References

  1. Wolfer, D. & R. J. Giger (1994) Swissprot Accession # Q61330.
  2. Hasler, T.H. et al. (1993) Eur. J. Biochem. 211:329.
  3. Karagogeos, D. (2003) Front. Biosci.8:s1304.
  4. Liu, Y. & M.C. Halloran (2005) J. Neurosci. 25:10556.
  5. Denaxa, M. et al. (2005) Dev. Biol. 288:87.
  6. Soares, S. et al. (2005) Eur. J. Neurosci. 21:1169.
  7. Traka, M. et al. (2002) J. Neurosci. 22:3016.
  8. Poliak, S. and E. Peles (2003) Nature Reviews Neurosci. 4:968.
  9. Traka, M. et al. (2003) J. Cell Biol. 162:1161.
  10. Poliak, S. et al. (2003) J. Cell Biol. 162:1149.

Alternate Names

Axonin-1, AXT, CNTN2, Contactin2, TAG1, TAX1

Entrez Gene IDs

6900 (Human); 21367 (Mouse)

Gene Symbol

CNTN2

UniProt

Additional Contactin-2/TAG1 Products

Product Documents for Human/Mouse/Rat Contactin-2/TAG1 Antibody

Certificate of Analysis

To download a Certificate of Analysis, please enter a lot number in the search box below.

Note: Certificate of Analysis not available for kit components.

Product Specific Notices for Human/Mouse/Rat Contactin-2/TAG1 Antibody

For research use only

Loading...
Loading...
Loading...
Loading...