Skip to main content

Key Product Details

Species Reactivity

Validated:

Human, Mouse, Rat

Cited:

Rat

Applications

Validated:

Immunohistochemistry, Western Blot, Immunocytochemistry

Cited:

Western Blot

Label

Unconjugated

Antibody Source

Polyclonal Goat IgG

Product Specifications

Immunogen

E. coli-derived recombinant human Complexin-1
Met1-Lys134
Accession # O14810

Specificity

Detects human, mouse, and rat Complexin-1 in direct ELISAs and Western blots.

Clonality

Polyclonal

Host

Goat

Isotype

IgG

Scientific Data Images for Human/Mouse/Rat Complexin-1/2 Antibody

Detection of Human, Mouse, and Rat Complexin-1/2 antibody by Western Blot.

Detection of Human, Mouse, and Rat Complexin-1/2 by Western Blot.

Western blot shows lysates of human brain (hippocampus) tissue, mouse brain tissue, and rat brain (cerebellum) tissue. PVDF membrane was probed with 0.5 µg/mL of Goat Anti-Human/Mouse/Rat Complexin-1/2 Antigen Affinity-purified Polyclonal Antibody (Catalog # AF7787) followed by HRP-conjugated Anti-Goat IgG Secondary Antibody (Catalog # HAF017). Specific bands were detected for Complexin-1/2 at approximately 17-19 kDa (as indicated). This experiment was conducted under reducing conditions and using Immunoblot Buffer Group 1.
Complexin-1/2 antibody in Rat Hippocampal Neurons by Immunocytochemistry (ICC).

Complexin-1/2 in Rat Hippocampal Neurons.

Complexin-1/2 was detected in immersion fixed rat hippocampal neurons (14 daysin vitro) using Goat Anti-Human/ Mouse/Rat Complexin-1/2 Antigen Affinity-purified Polyclonal Antibody (Catalog # AF7787) at 10 µg/mL for 3 hours at room temperature. Cells were stained using the Northern-Lights™ 557-conjugated Anti-Goat IgG Secondary Antibody (red; Catalog # NL001) and counterstained with DAPI (blue). Specific staining was localized to cytoplasm. View our protocol for Fluorescent ICC Staining of Cells on Coverslips.
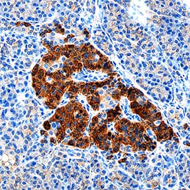
Complexin-1/2 antibody in Human Pancreas by Immunohistochemistry (IHC-P).

Complexin-1/2 in Human Pancreas.

Complexin-1/2 was detected in immersion fixed paraffin-embedded sections of human pancreas using Goat Anti-Human/Mouse/Rat Complexin-1/2 Antigen Affinity-purified Polyclonal Antibody (Catalog # AF7787) at 10 µg/mL for 1 hour at room temperature followed by incubation with the Anti-Goat IgG VisUCyte™ HRP Polymer Antibody (Catalog # VC004). Before incubation with the primary antibody, tissue was subjected to heat-induced epitope retrieval using Antigen Retrieval Reagent-Basic (Catalog # CTS013). Tissue was stained using DAB (brown) and counterstained with hematoxylin (blue). Specific staining was localized to cytoplasm in islet cells. View our protocol for IHC Staining with VisUCyte HRP Polymer Detection Reagents.

Applications for Human/Mouse/Rat Complexin-1/2 Antibody

Application
Recommended Usage

Immunocytochemistry

5-15 µg/mL
Sample: Immersion fixed rat hippocampal neuron (14 days in vitro)

Immunohistochemistry

5-15 µg/mL
Sample: Immersion fixed paraffin-embedded sections of human pancreas and immersion fixed frozen sections of mouse brain (cortex)

Western Blot

0.5 µg/mL
Sample: Human brain (hippocampus) tissue, mouse brain tissue, and rat brain (cerebellum) tissue

Formulation, Preparation, and Storage

Purification

Antigen Affinity-purified

Reconstitution

Sterile PBS to a final concentration of 0.2 mg/mL. For liquid material, refer to CoA for concentration.

Reconstitution Buffer Available:
Size / Price
Qty
Loading...

Formulation

Lyophilized from a 0.2 μm filtered solution in PBS with Trehalose. *Small pack size (SP) is supplied either lyophilized or as a 0.2 µm filtered solution in PBS.

Shipping

Lyophilized product is shipped at ambient temperature. Liquid small pack size (-SP) is shipped with polar packs. Upon receipt, store immediately at the temperature recommended below.

Stability & Storage

Use a manual defrost freezer and avoid repeated freeze-thaw cycles.
  • 12 months from date of receipt, -20 to -70 °C as supplied.
  • 1 month, 2 to 8 °C under sterile conditions after reconstitution.
  • 6 months, -20 to -70 °C under sterile conditions after reconstitution.

Background: Complexin-1/2

Complexin-1 (CPX I; also synaphin-2) is a 17-18 kDa, cytosolic protein that belongs to the complexin/synaphin family, complexin-1/-2 subfamily of molecules. It is expressed in select neurons and pancreatic beta-cells, and serves as a block against premature neurotransmitter/insulin granule release. Both Complexin-1 and Complexin-2 bind to the SNARE complex that contains SNAP25, VAMP2 and STX1A, generating oligomers of SNARE complexes that are optimally oriented relative to the positions of vesicle and plasma membranes. This effectively places synaptic vesicles in an optimal configuration, allowing for a coordinated, uniform fusion and release upon appropriate stimulus. Typically, complexin-1 is described as a clamp that blocks (vesicle) fusion, and the stimulus that overcomes it is one that induces an influx of synaptotagmin-detectable calcium. Human complexin-1 is 134 amino acids (aa) in length. It contains one coiled-coil domain (aa 29-69) that incorporates part of a SNARE complex interaction sequence (aa 48-70). Full-length human complexin-1 shares 97% aa sequence identity with mouse complexin-1.

Alternate Names

CPLX1;CPX1;CPX-I;DEE63;EIEE63

UniProt

Additional Complexin-1/2 Products

Product Documents for Human/Mouse/Rat Complexin-1/2 Antibody

Certificate of Analysis

To download a Certificate of Analysis, please enter a lot number in the search box below.

Note: Certificate of Analysis not available for kit components.

Product Specific Notices for Human/Mouse/Rat Complexin-1/2 Antibody

For research use only

Loading...
Loading...
Loading...
Loading...