Skip to main content

Key Product Details

Species Reactivity

Validated:

Human, Mouse, Rat

Cited:

Human

Applications

Validated:

Immunohistochemistry, Western Blot, Immunocytochemistry

Cited:

Immunohistochemistry

Label

Unconjugated

Antibody Source

Polyclonal Goat IgG

Product Specifications

Immunogen

E. coli-derived recombinant human Caveolin-2
Met1-Lys86
Accession # P51636

Specificity

Detects endogenous human, mouse, and rat Caveolin-2 in Western blots.

Clonality

Polyclonal

Host

Goat

Isotype

IgG

Scientific Data Images for Human/Mouse/Rat Caveolin-2 Antibody

Detection of Human Caveolin-2 antibody by Western Blot.

Detection of Human Caveolin-2 by Western Blot.

Western blot shows recombinant human Caveolin-1, Caveolin-2 and Caveolin-3 (5 ng/lane). PVDF membrane was probed with 1 µg/mL Goat Anti-Human/Mouse/Rat Caveolin-2 Antigen Affinity-purified Polyclonal Antibody (Catalog # AF5788) followed by HRP-conjugated Anti-Goat IgG Secondary Antibody (HAF017). A specific band for Caveolin-2 was detected at approximately 22 kDa (as indicated). This experiment was conducted under reducing conditions and using Immunoblot Buffer Group 1.
Caveolin-2 antibody in Human K562 Cells by Immunocytochemistry (ICC).

Caveolin-2 in Human K562 Cells.

Caveolin-2 was detected in immersion fixed K562 human chronic myelogenous leukemia cell line using 10 µg/mL Goat Anti-Human/Mouse/Rat Caveolin-2 Antigen Affinity-purified Polyclonal Antibody (Catalog # AF5788) for 3 hours at room temperature. Cells were stained with the NorthernLights™ 557-conjugated Anti-Goat IgG Secondary Antibody (red; NL001) and counterstained with DAPI (blue).
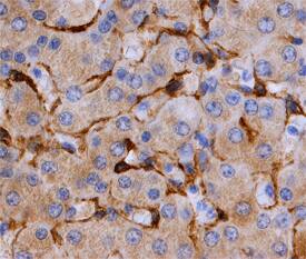
Caveolin-2 antibody in Human Liver by Immunohistochemistry (IHC-P).

Caveolin-2 in Human Liver.

Caveolin-2 was detected in paraffin-embedded sections of human liver using Goat Anti-Human/Mouse/Rat Caveolin-2 Antigen Affinity-purified Polyclonal Antibody (Catalog # AF5788) at 10 µg/mL overnight at 4 °C. Before incubation with the primary antibody tissue was subjected to heat-induced epitope retrieval using Antigen Retrieval Reagent-Basic (Catalog # CTS013). Tissue was stained using the Anti-Goat HRP-DAB Cell & Tissue Staining Kit (brown CTS008) and counter-stained with hematoxylin (blue). View our protocol for Chromogenic IHC Staining of Paraffin-embedded Tissue Sections.

Applications for Human/Mouse/Rat Caveolin-2 Antibody

Application
Recommended Usage

Immunocytochemistry

5-15 µg/mL
Sample: Immersion fixed K562 human chronic myelogenous leukemia cell line

Immunohistochemistry

5-15 µg/mL
Sample: Immersion fixed paraffin-embedded sections of human liver

Western Blot

1 µg/mL
Sample: A549 human lung carcinoma cell line, C2C12 mouse myoblast cell line, and L6 rat myoblast cell line

Formulation, Preparation, and Storage

Purification

Antigen Affinity-purified

Reconstitution

Reconstitute at 0.2 mg/mL in sterile PBS. For liquid material, refer to CoA for concentration.

Reconstitution Buffer Available:
Size / Price
Qty
Loading...

Formulation

Lyophilized from a 0.2 μm filtered solution in PBS with Trehalose. *Small pack size (SP) is supplied either lyophilized or as a 0.2 µm filtered solution in PBS.

Shipping

Lyophilized product is shipped at ambient temperature. Liquid small pack size (-SP) is shipped with polar packs. Upon receipt, store immediately at the temperature recommended below.

Stability & Storage

Use a manual defrost freezer and avoid repeated freeze-thaw cycles.
  • 12 months from date of receipt, -20 to -70 °C as supplied.
  • 1 month, 2 to 8 °C under sterile conditions after reconstitution.
  • 6 months, -20 to -70 °C under sterile conditions after reconstitution.

Background: Caveolin-2

Caveolin-2 is a cell membrane-associated member of the caveolin family of proteins. Although its predicted MW is 17 kDa, it runs anomalously at 21‑22 kDa on SDS‑PAGE. Caveolin-2 is not ubiquitous, but it is found in divergent cell types such as smooth muscle, endothelial, and skeletal muscle cells, plus fibroblasts and adipocytes. When expressed alone, Caveolin-2 forms monomers and homodimers; when expressed with Caveolin-1, it exists as part of a 150 kDa, Caveolin-1 associated oligomeric complex. Human Caveolin-2 is 162 amino acids (aa) in length. It contains a central membrane-embedded sequence (aa 87‑107) flanked by two cytoplasmic domains (aa 1‑86 and 108‑162). Caveolin-2 has been found phosphorylated at tyrosines 19 and 27, and at serines 20, 23 and 36.

Alternate Names

CAV2, Caveolin2

Entrez Gene IDs

858 (Human); 12390 (Mouse); 363425 (Rat)

Gene Symbol

CAV2

UniProt

Additional Caveolin-2 Products

Product Documents for Human/Mouse/Rat Caveolin-2 Antibody

Certificate of Analysis

To download a Certificate of Analysis, please enter a lot number in the search box below.

Note: Certificate of Analysis not available for kit components.

Product Specific Notices for Human/Mouse/Rat Caveolin-2 Antibody

For research use only

Loading...
Loading...
Loading...
Loading...