Skip to main content

Key Product Details

Validated by

Knockout/Knockdown, Biological Validation

Species Reactivity

Validated:

Human, Mouse, Rat

Cited:

Human, Mouse, Rat

Applications

Validated:

Knockout Validated, Immunohistochemistry, Western Blot

Cited:

Western Blot, Cell Culture

Label

Unconjugated

Antibody Source

Monoclonal Mouse IgG2B Clone # 625509

Product Specifications

Immunogen

E. coli-derived recombinant human Bcl-2
Ala2-Asp211
Accession # P10415

Specificity

Detects human Bcl-2 in direct ELISAs and Western blots. In direct ELISAs, approximately 25‑40% cross‑reactivity with recombinant mouse (rm) Bcl‑2 is observed and no cross-reactivity with recombinant human BCL2L12 is observed. In Western blots, 100% cross-reactivity with rmBcl-2 is observed.

Clonality

Monoclonal

Host

Mouse

Isotype

IgG2B

Scientific Data Images for Human/Mouse/Rat Bcl-2 Antibody

Detection of Human, Mouse, and Rat Bcl-2 antibody by Western Blot.

Detection of Human, Mouse, and Rat Bcl‑2 by Western Blot.

Western blot shows lysates of THP-1 human acute monocytic leukemia cell line, KG-1 human acute myelogenous leukemia cell line, CTLL-2 mouse cytotoxic T cell line, and NRK rat normal kidney cell line. PVDF Membrane was probed with 0.1 µg/mL of Mouse Anti-Human/Mouse/Rat Bcl-2 Monoclonal Antibody (Catalog # MAB8272) followed by HRP-conjugated Anti-Mouse IgG Secondary Antibody (Catalog # HAF007). A specific band was detected for Bcl-2 at approximately 24 kDa (as indicated). This experiment was conducted under reducing conditions and using Immunoblot Buffer Group 1.
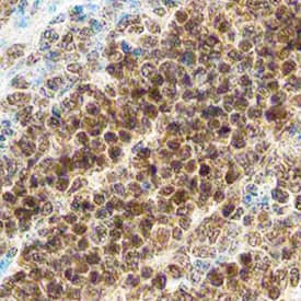
Bcl-2 antibody in Human Lymphoma by Immunohistochemistry (IHC-P).

Bcl‑2 in Human Lymphoma.

Bcl-2 was detected in immersion fixed paraffin-embedded sections of human lymphoma using Mouse Anti-Human/Mouse/Rat Bcl-2 Monoclonal Antibody (Catalog # MAB8272) at 15 µg/mL overnight at 4 °C. Before incubation with the primary antibody, tissue was subjected to heat-induced epitope retrieval using Antigen Retrieval Reagent-Basic (Catalog # CTS013). Tissue was stained using the Anti-Mouse HRP-DAB Cell & Tissue Staining Kit (brown; Catalog # CTS002) and counterstained with hematoxylin (blue). Specific staining was localized to cytoplasm and nuclei. View our protocol for Chromogenic IHC Staining of Paraffin-embedded Tissue Sections.
Western Blot Shows Human Bcl-2 Antibody Specificity by Using Knockout Cell Line.

Western Blot Shows Human Bcl‑2 Specificity by Using Knockout Cell Line.

Western blot shows lysates of HeLa human cervical epithelial carcinoma parental cell line and Bcl-2 knockout HeLa cell line (KO). PVDF membrane was probed with 0.1 µg/mL of Mouse Anti-Human/Mouse/Rat Bcl-2 Monoclonal Antibody (Catalog # MAB8272) followed by HRP-conjugated Anti-Mouse IgG Secondary Antibody (Catalog # HAF018). A specific band was detected for Bcl-2 at approximately 24 kDa (as indicated) in the parental HeLa cell line, but is not detectable in knockout HeLa cell line. GAPDH (Catalog # MAB5718) is shown as a loading control. This experiment was conducted under reducing conditions and using Immunoblot Buffer Group 1.

Applications for Human/Mouse/Rat Bcl-2 Antibody

Application
Recommended Usage

Immunohistochemistry

8-25 µg/mL
Sample: Immersion fixed paraffin-embedded sections of human lymphoma

Knockout Validated

Bcl‑2 is specifically detected in HeLa human cervical epithelial carcinoma parental cell line but is not detectable in Bcl‑2 knockout HeLa cell line.

Western Blot

0.1 µg/mL
Sample: THP‑1 human acute monocytic leukemia cell line, KG‑1 human acute myelogenous leukemia cell line, CTLL‑2 mouse cytotoxic T cell line, and NRK rat normal kidney cell line

Reviewed Applications

Read 1 review rated 5 using MAB8272 in the following applications:

Formulation, Preparation, and Storage

Purification

Protein A or G purified from hybridoma culture supernatant

Reconstitution

Sterile PBS to a final concentration of 0.5 mg/mL. For liquid material, refer to CoA for concentration.

Reconstitution Buffer Available:
Size / Price
Qty
Loading...

Formulation

Lyophilized from a 0.2 μm filtered solution in PBS with Trehalose. *Small pack size (SP) is supplied either lyophilized or as a 0.2 µm filtered solution in PBS.

Shipping

Lyophilized product is shipped at ambient temperature. Liquid small pack size (-SP) is shipped with polar packs. Upon receipt, store immediately at the temperature recommended below.

Stability & Storage

Use a manual defrost freezer and avoid repeated freeze-thaw cycles.
  • 12 months from date of receipt, -20 to -70 °C as supplied.
  • 1 month, 2 to 8 °C under sterile conditions after reconstitution.
  • 6 months, -20 to -70 °C under sterile conditions after reconstitution.

Background: Bcl-2

Bcl-2 is a member of a family of proteins that regulates outer mitochondrial membrane permeability (1, 2). Bcl-2 is an anti-apoptotic member that prevents release of cytochrome c from the mitochondria intermembrane space into the cytosol. Bcl-2 is present on the outer mitochondrial membrane and is also found on other membranes in some cell types. Natural Bcl-2 contains a carboxyl-terminal mitochondria targeting sequence. Recombinant Bcl-2, missing the mitochondrial targeting sequence, maintains its ability to neutralize pro-apoptotic Bcl-2 family members. Neutralization by Bcl-2 appears to be through binding the BH3 region of pro-apoptotic Bcl-2 family members. This activity does not require the mitochondrial targeting sequence.

References

  1. Gross, A. et al. (1999) Genes and Develop. 13:1899.
  2. Kroemer, G. (1997) Nature Med. 3:614.

Long Name

B Cell Lymphoma/Leukemia 2

Alternate Names

Bcl2

Entrez Gene IDs

596 (Human); 12043 (Mouse); 24224 (Rat)

Gene Symbol

BCL2

UniProt

Additional Bcl-2 Products

Product Documents for Human/Mouse/Rat Bcl-2 Antibody

Certificate of Analysis

To download a Certificate of Analysis, please enter a lot number in the search box below.

Note: Certificate of Analysis not available for kit components.

Product Specific Notices for Human/Mouse/Rat Bcl-2 Antibody

For research use only

Loading...
Loading...
Loading...
Loading...
Loading...