Skip to main content

Key Product Details

Species Reactivity

Human, Mouse, Rat

Applications

Immunohistochemistry, Western Blot, Immunocytochemistry, Simple Western

Label

Unconjugated

Antibody Source

Monoclonal Mouse IgG1 Clone # 1007902

Product Specifications

Immunogen

Synthetic peptide containing human ALDH2
Ser18-Ser517
Accession # P05091

Specificity

Detects human ALDH2 in direct ELISAs. Detects human, mouse, and rat ALDH2 in Western blots.

Clonality

Monoclonal

Host

Mouse

Isotype

IgG1

Scientific Data Images for Human/Mouse/Rat ALDH2 Antibody

Detection of Human. Mouse, and Rat ALDH2 antibody by Western Blot.

Detection of Human. Mouse, and Rat ALDH2 by Western Blot.

Western blot shows lysates of human liver tissue, mouse liver tissue, and rat liver tissue. PVDF membrane was probed with 2 µg/mL of Mouse Anti-Human/Mouse/Rat ALDH2 Monoclonal Antibody (Catalog # MAB10168) followed by HRP-conjugated Anti-Mouse IgG Secondary Antibody (Catalog # HAF018). A specific band was detected for ALDH2 at approximately 56 kDa (as indicated). This experiment was conducted under reducing conditions and using Immunoblot Buffer Group 1.
ALDH2 antibody in SK-BR-3 Human Cell Line by Immunocytochemistry (ICC).

ALDH2 in SK-BR-3 Human Cell Line.

ALDH2 was detected in immersion fixed SK-BR-3 human breast cancer cell line (positive staining) and MCF-7 human breast cancer cell line (negative staining) using Mouse Anti-Human/Mouse/Rat ALDH2 Monoclonal Antibody (Catalog # MAB10168) at 8 µg/mL for 3 hours at room temperature. Cells were stained using the NorthernLights™ 557-conjugated Anti-Mouse IgG Secondary Antibody (red; Catalog # NL007) and counterstained with DAPI (blue). Specific staining was localized to cytoplasm. View our protocol for Fluorescent ICC Staining of Cells on Coverslips.
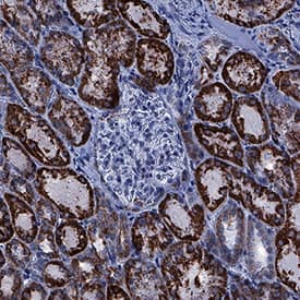
ALDH2 antibody in Human Kidney by Immunohistochemistry (IHC-P).

ALDH2 in Human Kidney.

ALDH2 was detected in immersion fixed paraffin-embedded sections of human kidney using Mouse Anti-Human/Mouse/Rat ALDH2 Monoclonal Antibody (Catalog # MAB10168) at 0.5 µg/mL for 1 hour at room temperature followed by incubation with the Anti-Mouse IgG VisUCyte™ HRP Polymer Antibody (Catalog # VC001). Before incubation with the primary antibody, tissue was subjected to heat-induced epitope retrieval using Antigen Retrieval Reagent-Basic (Catalog # CTS013). Tissue was stained using DAB (brown) and counterstained with hematoxylin (blue). Specific staining was localized to cytoplasm. View our protocol for IHC Staining with VisUCyte HRP Polymer Detection Reagents.

Applications for Human/Mouse/Rat ALDH2 Antibody

Application
Recommended Usage

Immunocytochemistry

8-25 µg/mL
Sample: Immersion fixed SK-BR-3 human breast cancer cell line

Immunohistochemistry

0.5-25 µg/mL
Sample: Immersion fixed paraffin-embedded sections of human kidney

Simple Western

20 µg/mL
Sample: Human liver tissue, Mouse liver tissue, and Rat liver tissue

Western Blot

2 µg/mL
Sample: Human liver tissue, Mouse liver tissue, and Rat liver tissue

Reviewed Applications

Read 1 review rated 5 using MAB10168 in the following applications:

Formulation, Preparation, and Storage

Purification

Protein A or G purified from hybridoma culture supernatant

Reconstitution

Reconstitute at 0.5 mg/mL in sterile PBS. For liquid material, refer to CoA for concentration.

Reconstitution Buffer Available:
Size / Price
Qty
Loading...

Formulation

Lyophilized from a 0.2 μm filtered solution in PBS with Trehalose. *Small pack size (SP) is supplied either lyophilized or as a 0.2 µm filtered solution in PBS.

Shipping

Lyophilized product is shipped at ambient temperature. Liquid small pack size (-SP) is shipped with polar packs. Upon receipt, store immediately at the temperature recommended below.

Stability & Storage

Use a manual defrost freezer and avoid repeated freeze-thaw cycles.
  • 12 months from date of receipt, -20 to -70 °C as supplied.
  • 1 month, 2 to 8 °C under sterile conditions after reconstitution.
  • 6 months, -20 to -70 °C under sterile conditions after reconstitution.

Background: ALDH2

Aldehyde Dehydrogenase 2 (ALDH2) is a protein involved in the pathway which synthesizes acetate from ethanol.  It also functions as a protector against oxidative stress.  The ALDH2 isoform is localized to the mitochondrial matrix.  Genetic variation in ALDH2 in the East Asian population is associated with high instances of acute alcohol intoxication.

Long Name

Aldehyde Dehydrogenase 2 Family Member

Alternate Names

ALDHI, ALDM

Entrez Gene IDs

217 (Human); 11669 (Mouse)

Gene Symbol

ALDH2

UniProt

Additional ALDH2 Products

Product Documents for Human/Mouse/Rat ALDH2 Antibody

Certificate of Analysis

To download a Certificate of Analysis, please enter a lot number in the search box below.

Note: Certificate of Analysis not available for kit components.

Product Specific Notices for Human/Mouse/Rat ALDH2 Antibody

For research use only

Loading...
Loading...
Loading...
Loading...