Skip to main content

Key Product Details

Species Reactivity

Validated:

Human, Mouse, Rat

Cited:

Human, Mouse, Rat, Porcine, Canine, Primate - Chlorocebus pygerythrus (Vervet Monkey), Transgenic Mouse

Applications

Validated:

Immunohistochemistry, Western Blot, Neutralization, Immunocytochemistry

Cited:

Immunohistochemistry, Immunohistochemistry-Paraffin, Immunohistochemistry-Frozen, Western Blot, Neutralization, Flow Cytometry, Immunocytochemistry, ELISA Development, In vivo assay, Functional Assay

Label

Unconjugated

Antibody Source

Polyclonal Goat IgG

Product Specifications

Immunogen

Chinese hamster ovary cell line CHO-derived recombinant human Activin A

Specificity

Detects human, mouse and rat Activin A in direct ELISAs and Western blots.

Clonality

Polyclonal

Host

Goat

Isotype

IgG

Endotoxin Level

<0.10 EU per 1 μg of the antibody by the LAL method.

Scientific Data Images for Human/Mouse/Rat Activin A betaA subunit Antibody

Activin A antibody in SK-BR-3 and HeLa Human Cell Lines by Immunocytochemistry (ICC).

Activin A in SK-BR-3 and HeLa Human Cell Lines.

Activin A was detected in immersion fixed SK-BR-3 human breast cancer cell line (left panel, positive stain) and HeLa human cervical epithelial carcinoma cell line (right panel, negative stain) using Goat Anti-Human/Mouse/Rat Activin A betaA subunit Antigen Affinity-purified Polyclonal Antibody (Catalog # AF338) at 5 µg/mL for 3 hours at room temperature. Cells were stained using the NorthernLights™ 557-conjugated Anti-Goat IgG Secondary Antibody (red; Catalog # NL001) and counterstained with DAPI (blue). Specific staining was localized to endoplasmic reticuli. View our protocol for Fluorescent ICC Staining of Cells on Coverslips.
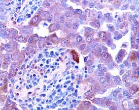
Activin A antibody in Human Breast Cancer Tissue by Immunohistochemistry (IHC-P).

Activin A in Human Breast Cancer Tissue.

Activin A was detected in immersion fixed paraffin-embedded sections of human breast cancer tissue using 5 µg/mL Goat Anti-Human/Mouse/Rat Activin A betaA Subunit Antigen Affinity-purified Polyclonal Antibody (Catalog # AF338) overnight at 4 °C. Tissue was stained (red) and counterstained with hematoxylin (blue). View our protocol for Chromogenic IHC Staining of Paraffin-embedded Tissue Sections.
Hemoglobin Expression Induced by Activin A and Neutralization by Human/Mouse/Rat Activin A Antibody.

Hemoglobin Expression Induced by Activin A and Neutralization by Human/Mouse/Rat Activin A Antibody.

Recombinant Human/Mouse/Rat Activin A (Catalog # 338-AC) increases hemoglobin expression in the K562 human chronic myelogenous leukemia cell line in a dose-dependent manner (orange line), as measured by the psuedoperoxidase assay. Hemoglobin Expression elicited by Recombinant Human/Mouse/Rat Activin A (7.5 ng/mL) is neutralized (green line) by increasing concentrations of Goat Anti-Human/Mouse/Rat Activin A betaA subunit Antigen Affinity-purified Polyclonal Antibody (Catalog # AF338). The ND50 is typically 2-6 µg/mL.

Applications for Human/Mouse/Rat Activin A betaA subunit Antibody

Application
Recommended Usage

Immunocytochemistry

5-25 µg/mL
Sample: Immersion fixed SK-BR-3 human breast cancer cell line

Immunohistochemistry

5-15 µg/mL
Sample: Immersion fixed paraffin-embedded sections of human breast cancer tissue

Western Blot

0.1 µg/mL
Sample: Recombinant Human/Mouse/Rat Activin A (Catalog # 338-AC)

Neutralization

Measured by its ability to neutralize Activin A-induced hemoglobin expression in the K562 human chronic myelogenous leukemia cell line. Schwall, R. H. et al. (1991) Method Enzymol. 198:340. The Neutralization Dose (ND50) is typically 2-6 µg/mL in the presence of 7.5 ng/mL Recombinant Human/Mouse/Rat Activin A.

Formulation, Preparation, and Storage

Purification

Antigen Affinity-purified

Reconstitution

Reconstitute at 0.2 mg/mL in sterile PBS. For liquid material, refer to CoA for concentration.

Reconstitution Buffer Available:
Size / Price
Qty
Loading...

Formulation

Lyophilized from a 0.2 μm filtered solution in PBS with Trehalose. See Certificate of Analysis for details.
*Small pack size (-SP) is supplied either lyophilized or as a 0.2 µm filtered solution in PBS.

Shipping

Lyophilized product is shipped at ambient temperature. Liquid small pack size (-SP) is shipped with polar packs. Upon receipt, store immediately at the temperature recommended below.

Stability & Storage

Use a manual defrost freezer and avoid repeated freeze-thaw cycles.
  • 12 months from date of receipt, -20 to -70 °C as supplied.
  • 1 month, 2 to 8 °C under sterile conditions after reconstitution.
  • 6 months, -20 to -70 °C under sterile conditions after reconstitution.

Background: Activin A

Activin and Inhibin are members of the TGF-beta superfamily of cytokines and are involved in a wide range of biological processes including tissue morphogenesis and repair, fibrosis, inflammation, neural development, hematopoiesis, reproductive system function, and carcinogenesis (1‑7). Activin and Inhibin are produced as precursor proteins. Their amino terminal propeptides are proteolytically cleaved and facilitate formation of disulfide-linked dimers of the bioactive proteins (8, 9). Activins are nonglycosylated homodimers or heterodimers of various beta subunits ( betaA, betaB, betaC, and betaE in mammals), while Inhibins are heterodimers of a unique alpha subunit and one of the beta subunits. Activin A is a widely expressed homodimer of two betaA chains. The betaA subunit can also heterodimerize with a betaB or betaC subunit to form Activin AB and Activin AC, respectively (10). The 14 kDa mature human betaA chain shares 100% amino acid sequence identity with bovine, feline, mouse, porcine, and rat betaA. Activin A exerts its biological activities by binding to the type 2 serine/threonine kinase Activin RIIA which then noncovalently associates with the type 1 serine/threonine kinase Activin RIB/ALK-4 (7, 11). Signaling through this receptor complex leads to Smad activation and regulation of activin-responsive gene transcription (7, 11). The bioactivity of Activin A is regulated by a variety of mechanisms (11). BAMBI, Betaglycan, and Cripto are cell-associated molecules that function as decoy receptors or limit the ability of Activin A to induce receptor complex assembly (12‑14). The intracellular formation of Activin A can be prevented by the incorporation of the betaA subunit into Activin AC or Inhibin A (3, 10). And the bioavailability of Activin A is restricted by its incorporation into inactive complexes with alpha2-Macroglobulin, Follistatin, and FLRG (15, 16).

References

  1. Kumanov, P. et al. (2005) Reprod. Biomed. Online 10:786.
  2. Maeshima, A. et al. (2008) Endocr. J. 55:1.
  3. Rodgarkia-Dara, C. et al. (2006) Mutat. Res. 613:123.
  4. Werner, S. and C. Alzheimer (2006) Cytokine Growth Factor Rev. 17:157.
  5. Xu, P. and A.K. Hall (2006) Dev. Biol. 299:303.
  6. Shav-Tal, Y. and D. Zipori (2002) Stem Cells 20:493.
  7. Chen, Y.G. et al. (2006) Exp. Biol. Med. 231:534.
  8. Gray, A.M. and A.J. Mason (1990) Science 247:1328.
  9. Mason, A.J. et al. (1996) Mol. Endocrinol. 10:1055.
  10. Thompson, T.B. et al. (2004) Mol. Cell. Endocrinol. 225:9.
  11. Harrison, C.A. et al. (2005) Trends Endocrinol. Metab. 16:73.
  12. Onichtchouk, D. et al. (1999) Nature 401:480.
  13. Gray, P.C. et al. (2002) Mol. Cell. Endocrinol. 188:254.
  14. Kelber, J.A. et al. (2008) J. Biol. Chem. 283:4490.
  15. Phillips, D.J. et al. (1997) J. Endocrinol. 155:65.
  16. Schneyer, A. et al. (2003) Endocrinology 144:1671.

Alternate Names

activin AB alpha polypeptide, Activin beta-A chain, erythroid differentiation factor, Erythroid differentiation protein, follicle-stimulating hormone-releasing protein, FSH-releasing protein, inhibin beta A chain, inhibin beta A subunit, Inhibin, beta-1

Entrez Gene IDs

3624 (Human); 16323 (Mouse); 29200 (Rat)

Gene Symbol

INHBA

Additional Activin A Products

Product Documents for Human/Mouse/Rat Activin A betaA subunit Antibody

Certificate of Analysis

To download a Certificate of Analysis, please enter a lot number in the search box below.

Note: Certificate of Analysis not available for kit components.

Product Specific Notices for Human/Mouse/Rat Activin A betaA subunit Antibody

For research use only

Loading...
Loading...
Loading...
Loading...