Skip to main content

Key Product Details

Validated by

Biological Validation

Species Reactivity

Validated:

Human, Mouse

Cited:

Human, Mouse

Applications

Validated:

Immunohistochemistry, Western Blot

Cited:

Immunohistochemistry, Western Blot

Label

Unconjugated

Antibody Source

Polyclonal Rabbit IgG

Product Specifications

Immunogen

Phosphopeptide containing human Tie-2 Y1102 site

Specificity

Detects human and mouse Tie-2 when phosphorylated at Y1102 and Y1100, respectively.

Clonality

Polyclonal

Host

Rabbit

Isotype

IgG

Scientific Data Images for Human/Mouse Phospho-Tie-2 (Y1102/Y1100) Antibody

Detection of Mouse Phospho-Tie-2 (Y1102/Y1100) antibody by Western Blot.

Detection of Mouse Phospho-Tie‑2 (Y1102/Y1100) by Western Blot.

Western blot shows lysates of NIH-3T3 mouse embryonic fibroblast cell line transfected with mouse Tie-2 untreated (-) or treated (+) with 600 ng/mL Recombinant Human Angiopoietin-1 (Catalog # 923-AN) for 5 minutes. PVDF membrane was probed with 1 µg/mL of Rabbit Anti-Human/Mouse Phospho-Tie-2 (Y1102/Y1100) Antigen Affinity-purified Polyclonal Antibody (Catalog # AF3909) followed by HRP-conjugated Anti-Rabbit IgG Secondary Antibody (Catalog # HAF008). A specific band was detected for Phospho-Tie-2 (Y1102/1100) at approximately 150 kDa (as indicated). This experiment was conducted under reducing conditions and using Immunoblot Buffer Group 1.
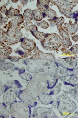
Tie-2 antibody in Human Placenta by Immunohistochemistry (IHC-P).

Tie‑2 in Human Placenta.

Tie-2 phosphorylated at Y1102 was detected in immersion fixed paraffin-embedded sections of human placenta using Rabbit Anti-Human/Mouse Phospho-Tie-2 (Y1102/Y1100) Antigen Affinity-purified Polyclonal Antibody (Catalog # AF3909) at 15 µg/mL overnight at 4 °C. Tissue was stained using the Anti-Rabbit HRP-DAB Cell & Tissue Staining Kit (brown; Catalog # CTS005) and counterstained with hematoxylin (blue). Lower panel shows a lack of labeling if primary antibodies are omitted and tissue is stained only with secondary antibody followed by incubation with detection reagents. View our protocol for Chromogenic IHC Staining of Paraffin-embedded Tissue Sections.

Applications for Human/Mouse Phospho-Tie-2 (Y1102/Y1100) Antibody

Application
Recommended Usage

Immunohistochemistry

5-15 µg/mL
Sample: Immersion fixed paraffin-embedded sections of mouse embryonic brain (15 d.p.c.) and human placenta

Western Blot

1 µg/mL
Sample: NIH‑3T3 mouse embryonic fibroblast cell line transfected with mouse Tie-2 treated with Recombinant Human Angiopoietin-1 (Catalog # 923-AN)

Reviewed Applications

Read 2 reviews rated 3.5 using AF3909 in the following applications:

Formulation, Preparation, and Storage

Purification

Antigen Affinity-purified

Reconstitution

Reconstitute at 0.2 mg/mL in sterile PBS. For liquid material, refer to CoA for concentration.

Reconstitution Buffer Available:
Size / Price
Qty
Loading...

Formulation

Lyophilized from a 0.2 μm filtered solution in PBS with Trehalose. *Small pack size (SP) is supplied either lyophilized or as a 0.2 µm filtered solution in PBS.

Shipping

Lyophilized product is shipped at ambient temperature. Liquid small pack size (-SP) is shipped with polar packs. Upon receipt, store immediately at the temperature recommended below.

Stability & Storage

Use a manual defrost freezer and avoid repeated freeze-thaw cycles.
  • 12 months from date of receipt, -20 to -70 °C as supplied.
  • 1 month, 2 to 8 °C under sterile conditions after reconstitution.
  • 6 months, -20 to -70 °C under sterile conditions after reconstitution.

Background: Tie-2

Tie-2 (also known as TEK) is an angiogenic receptor tyrosine kinase required for the later stage of blood vessel maturation. Ligand binding induces receptor dimerization and autophosphorylation on multiple tyrosine residues. Phosphorylation of human Tie-2 at Y1102 and mouse Tie-2 at Y1100 results in the activation of PI 3‑kinase (1, 2).

References

  1. Kontos, C.D. et al. (1998) Mol. Cell Biol. 18:4131.
  2. Jones, N. et al. (1999) J. Biol. Chem. 274:30896.

Long Name

Tyrosine Kinase with Immunoglobulin and Epidermal Growth Factor Homology Domains 2

Alternate Names

CD202b, TEK, Tie2

Entrez Gene IDs

7010 (Human); 21687 (Mouse); 89804 (Rat); 396729 (Porcine); 403714 (Canine); 102122204 (Cynomolgus Monkey); 30747 (Zebrafish)

Gene Symbol

TEK

Additional Tie-2 Products

Product Documents for Human/Mouse Phospho-Tie-2 (Y1102/Y1100) Antibody

Certificate of Analysis

To download a Certificate of Analysis, please enter a lot number in the search box below.

Note: Certificate of Analysis not available for kit components.

Product Specific Notices for Human/Mouse Phospho-Tie-2 (Y1102/Y1100) Antibody

For research use only

Loading...
Loading...
Loading...
Loading...