Skip to main content

Key Product Details

Validated by

Biological Validation

Species Reactivity

Validated:

Human, Mouse

Cited:

Human, Mouse

Applications

Validated:

Immunohistochemistry, Western Blot

Cited:

Immunohistochemistry, Immunohistochemistry-Paraffin, Western Blot, Immunocytochemistry

Label

Unconjugated

Antibody Source

Polyclonal Goat IgG

Product Specifications

Immunogen

E. coli-derived recombinant human MSX1
Met1-Thr165
Accession # P28360

Specificity

Detects human and mouse MSX1 in Western blots.

Clonality

Polyclonal

Host

Goat

Isotype

IgG

Scientific Data Images for Human/Mouse MSX1 Antibody

Detection of Human MSX1 antibody by Western Blot.

Detection of Human MSX1 by Western Blot.

Western blot shows lysates of HeLa human cervical epithelial carcinoma cell line. Gels were loaded with 30 µg of whole cell lysate (WCL), 20 µg of cytoplasmic (Cyto), and 10 µg of nuclear extracts (Nuc). PVDF membrane was probed with 0.1 µg/mL Goat Anti-Human/Mouse MSX1 Antigen Affinity-purified Polyclonal Antibody (Catalog # AF5045) followed by HRP-conjugated Anti-Goat IgG Secondary Antibody (Catalog # HAF017). A specific band for MSX1 was detected at approximately 40 kDa (as indicated). This experiment was conducted under reducing conditions and using Immunoblot Buffer Group 1.
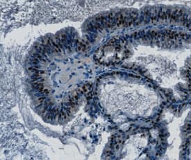
MSX1 antibody in Human Ovarian Cancer Tissue by Immunohistochemistry (IHC-P).

MSX1 in Human Ovarian Cancer Tissue.

MSX1 was detected in immersion fixed paraffin-embedded sections of human ovarian cancer tissue using Goat Anti-Human/Mouse MSX1 Antigen Affinity-purified Polyclonal Antibody (Catalog # AF5045) at 0.3, 1.0 and 3.0 µg/mL overnight at 4 °C. Tissue was stained using the Anti-Goat HRP-DAB Cell & Tissue Staining Kit (brown; Catalog # CTS008) and counterstained with hematoxylin (blue). Specific staining was localized to nuclei. View our protocol for Chromogenic IHC Staining of Paraffin-embedded Tissue Sections.
Detection of Human MSX1 by Western Blot

Detection of Human MSX1 by Western Blot

Regulation of MSX1 expression is mediated by pSMAD1/5/8 in the human cap-stage tooth germs. (A–C) Immunostaining shows that MSX1 expression is abundant in dimethyl sulfoxide (DMSO)-treated human cap-stage tooth germs, dramatically reduced in dorsomorphin treated human cap-stage tooth germ, and unaltered in U0126 + SB203580 + SP600125 treated human cap-stage tooth germs. (D) A Western blot assay confirms the dramatically reduced expression of MSX1 in dorsomorphin treated human cap-stage tooth germs. Actin was used as the internal control. (E) Quantitative analysis of the Western blot assay. de, the dental epithelium; dm, the dental mesenchyme. Error bars represent SD. ***p < 0.001. Bar = 50 μm. Image collected and cropped by CiteAb from the following publication (https://pubmed.ncbi.nlm.nih.gov/35211032), licensed under a CC-BY license. Not internally tested by R&D Systems.

Applications for Human/Mouse MSX1 Antibody

Application
Recommended Usage

Immunohistochemistry

5-15 µg/mL
Sample: Immersion fixed paraffin-embedded sections of human ovarian cancer tissue

Western Blot

0.1 µg/mL
Sample: HeLa human cervical epithelial carcinoma cell line

Reviewed Applications

Read 3 reviews rated 4.7 using AF5045 in the following applications:

Formulation, Preparation, and Storage

Purification

Antigen Affinity-purified

Reconstitution

Reconstitute at 0.2 mg/mL in sterile PBS. For liquid material, refer to CoA for concentration.

Reconstitution Buffer Available:
Size / Price
Qty
Loading...

Formulation

Lyophilized from a 0.2 μm filtered solution in PBS with Trehalose. *Small pack size (SP) is supplied either lyophilized or as a 0.2 µm filtered solution in PBS.

Shipping

Lyophilized product is shipped at ambient temperature. Liquid small pack size (-SP) is shipped with polar packs. Upon receipt, store immediately at the temperature recommended below.

Stability & Storage

Use a manual defrost freezer and avoid repeated freeze-thaw cycles.
  • 12 months from date of receipt, -20 to -70 °C as supplied.
  • 1 month, 2 to 8 °C under sterile conditions after reconstitution.
  • 6 months, -20 to -70 °C under sterile conditions after reconstitution.

Background: MSX1

MSX1 (Msh homeobox homology 1) is a member of the muscle segment homoebox gene family. MSX1 is involved in limb-pattern formation, craniofacial development, odontogenesis, and tumor growth inhibition. MSX1 functions as a transcriptional repressor. MSX1 has been shown to interact with the linker histone, H1B, and repress transcription of the MyoD promoter. Chromosomal abnormalities involving MSX1 have been associated with the Wolf-Hirschhorn syndrome characterized by heart defects and mental retardation.

Long Name

Msh Homeobox 1

Alternate Names

HOX7, HYD1, OFC5

Entrez Gene IDs

4487 (Human); 17701 (Mouse); 81710 (Rat)

Gene Symbol

MSX1

UniProt

Additional MSX1 Products

Product Documents for Human/Mouse MSX1 Antibody

Certificate of Analysis

To download a Certificate of Analysis, please enter a lot number in the search box below.

Note: Certificate of Analysis not available for kit components.

Product Specific Notices for Human/Mouse MSX1 Antibody

For research use only

Loading...
Loading...
Loading...
Loading...