Skip to main content

Key Product Details

Species Reactivity

Validated:

Human, Mouse

Cited:

Human, Mouse

Applications

Validated:

Immunohistochemistry, Western Blot, Immunocytochemistry

Cited:

Western Blot

Label

Unconjugated

Antibody Source

Recombinant Monoclonal Rabbit IgG Clone # 2153C

Product Specifications

Immunogen

E. coli-derived recombinant human Kir2.1
Asn352-Ile427
Accession # P63252

Specificity

Detects human Kir2.1 in direct ELISAs. Detects human and mouse Kir2.1 in Immunohistochemistry.

Clonality

Monoclonal

Host

Rabbit

Isotype

IgG

Scientific Data Images for Human/Mouse Kir2.1 Antibody

Detection of Human Kir2.1 antibody by Western Blot.

Detection of Human Kir2.1 by Western Blot.

Western blot shows lysates of Human heart ventricle tissue and human lung tissue. PVDF membrane was probed with 3 µg/mL of Rabbit Anti-Human/Mouse Kir2.1 Monoclonal Antibody (Catalog # MAB9548) followed by HRP-conjugated Anti-Rabbit IgG Secondary Antibody (Catalog # HAF008). A specific band was detected for Kir2.1 at approximately 50-55 kDa (as indicated). This experiment was conducted under reducing conditions and using Immunoblot Buffer Group 1.
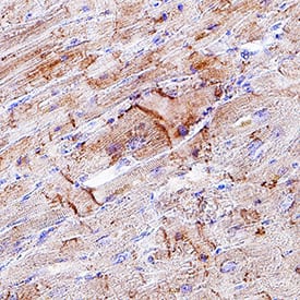
Kir2 by Immunohistochemistry (IHC-P).1 antibody in Human Heart by Immunohistochemistry (IHC-P).

Kir2.1 in Human Heart.

Kir2.1 was detected in immersion fixed paraffin-embedded sections of human heart using Rabbit Anti-Human/Mouse Kir2.1 Monoclonal Antibody (Catalog # MAB9548) at 3 µg/mL for 1 hour at room temperature followed by incubation with the Anti-Rabbit IgG VisUCyte™ HRP Polymer Antibody (Catalog # VC003). Tissue was stained using DAB (brown) and counterstained with hematoxylin (blue). Specific staining was localized to intercalated discs. View our protocol for IHC Staining with VisUCyte HRP Polymer Detection Reagents.
Kir2 by Immunohistochemistry (IHC-Fr).1 antibody in Mouse Heart by Immunohistochemistry (IHC-Fr).

Kir2.1 in Mouse Heart.

Kir2.1 was detected in perfusion fixed frozen sections of mouse heart using Rabbit Anti-Human/Mouse Kir2.1 Monoclonal Antibody (Catalog # MAB9548) at 3 µg/mL for 1 hour at room temperature followed by incubation with the Anti-Rabbit IgG VisUCyte™ HRP Polymer Antibody (Catalog # VC003). Tissue was stained using DAB (brown) and counterstained with hematoxylin (blue). Specific staining was localized to intercalated discs. View our protocol for IHC Staining with VisUCyte HRP Polymer Detection Reagents.

Applications for Human/Mouse Kir2.1 Antibody

Application
Recommended Usage

Immunocytochemistry

2-25 µg/mL
Sample: Immersion fixed human cardiomyocytes

Immunohistochemistry

3-25 µg/mL
Sample: Immersion fixed paraffin-embedded sections of human heart and perfusion fixed frozen sections of mouse heart

Western Blot

3 µg/mL
Sample: Human heart ventricle tissue and lung tissue

Reviewed Applications

Read 1 review rated 5 using MAB9548 in the following applications:

Formulation, Preparation, and Storage

Purification

Protein A or G purified from hybridoma culture supernatant

Reconstitution

Reconstitute at 0.5 mg/mL in sterile PBS. For liquid material, refer to CoA for concentration.

Reconstitution Buffer Available:
Size / Price
Qty
Loading...

Formulation

Lyophilized from a 0.2 μm filtered solution in PBS with Trehalose. *Small pack size (SP) is supplied either lyophilized or as a 0.2 µm filtered solution in PBS.

Shipping

Lyophilized product is shipped at ambient temperature. Liquid small pack size (-SP) is shipped with polar packs. Upon receipt, store immediately at the temperature recommended below.

Stability & Storage

Use a manual defrost freezer and avoid repeated freeze-thaw cycles.
  • 12 months from date of receipt, -20 to -70 °C as supplied.
  • 1 month, 2 to 8 °C under sterile conditions after reconstitution.
  • 6 months, -20 to -70 °C under sterile conditions after reconstitution.

Background: Kir2.1

Human Inward Rectifier Potassium Channel 2 (KIR2.1), also known as KCNJ2, is a 427 amino acid (aa) integral membrane protein with 98% homology with mouse and rat KIR2.1.   This potassium channel preferentially allows potassium to flow into the cell, which is thought to generate action potential waveform and excitability in neuronal and muscle tissues. Mutations in the KIR2.1 gene are associated with Andersen syndrome, with associated paralysis, cardiac arrhythmias and dysmorphic features. KIR2.1 is widely expressed, notably in heart, placenta, lung, skeletal muscle, kidney and spleen. Expression of KIR2.1 is necessary for development of mature cardiomyocytes from mouse embryonic stem cells.

Long Name

Inward Rectifier K(+) Channel Kir2.1

Alternate Names

ATFB9, HIRK1, IRK1, KCNJ2, LQT7, SQT3

Entrez Gene IDs

3759 (Human); 16518 (Mouse); 29712 (Rat)

Gene Symbol

KCNJ2

UniProt

Additional Kir2.1 Products

Product Documents for Human/Mouse Kir2.1 Antibody

Certificate of Analysis

To download a Certificate of Analysis, please enter a lot number in the search box below.

Note: Certificate of Analysis not available for kit components.

Product Specific Notices for Human/Mouse Kir2.1 Antibody

For research use only

Loading...
Loading...
Loading...
Loading...