Skip to main content

Key Product Details

Species Reactivity

Validated:

Human, Mouse

Cited:

Human, Porcine

Applications

Validated:

Immunohistochemistry, Western Blot, Neutralization, Simple Western

Cited:

Western Blot, Immunocytochemistry

Label

Unconjugated

Antibody Source

Polyclonal Goat IgG

Product Specifications

Immunogen

Mouse myeloma cell line NS0-derived recombinant human JAM‑B/VE-JAM
Phe29-Asn236
Accession # P57087

Specificity

Detects human JAM‑B/VE-JAM in direct ELISAs. Detects human and mouse JAM-B/VE-JAM in Western blots.

Clonality

Polyclonal

Host

Goat

Isotype

IgG

Endotoxin Level

<0.10 EU per 1 μg of the antibody by the LAL method.

Scientific Data Images for Human/Mouse JAM-B/VE-JAM Antibody

Detection of Human JAM-B/VE-JAM antibody by Western Blot.

Detection of Human JAM‑B/VE‑JAM by Western Blot.

Western blot shows lysates of human placenta tissue and human testis tissue. PVDF membrane was probed with 1 µg/mL of Goat Anti-Human/Mouse JAM-B/VE-JAM Antigen Affinity-purified Polyclonal Antibody (Catalog # AF1074) followed by HRP-conjugated Anti-Goat IgG Secondary Antibody (Catalog # HAF017). Specific bands were detected for JAM-B/VE-JAM at approximately 43-50 kDa (as indicated). This experiment was conducted under reducing conditions and using Immunoblot Buffer Group 1.
Detection of Mouse JAM-B/VE-JAM antibody by Western Blot.

Detection of Mouse JAM-B/VE-JAM by Western Blot.

Western blot shows lysates of bEnd.3 mouse endothelioma cell line and SVEC4-10 mouse vascular endothelial cell line. PVDF membrane was probed with 2 µg/mL of Goat Anti-Human/Mouse JAM-B/VE-JAM Antigen Affinity-purified Polyclonal Antibody (Catalog # AF1074) followed by HRP-conjugated Anti-Goat IgG Secondary Antibody (Catalog # HAF017). Specific bands were detected for JAM-B/VE-JAM at approximately 40-48 kDa (as indicated). This experiment was conducted under reducing conditions and using Immunoblot Buffer Group 1.
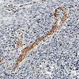
JAM-B/VE-JAM antibody in Human Tonsil by Immunohistochemistry (IHC-P).

JAM-B/VE-JAM in Human Tonsil.

JAM-B/VE-JAM was detected in immersion fixed paraffin-embedded sections of human tonsil using Goat Anti-Human/Mouse JAM-B/VE-JAM Antigen Affinity-purified Polyclonal Antibody (Catalog # AF1074) at 3 µg/mL for 1 hour at room temperature followed by incubation with the Anti-Goat IgG VisUCyte™ HRP Polymer Antibody (Catalog # VC004). Tissue was stained using DAB (brown) and counterstained with hematoxylin (blue). Specific staining was localized to plasma membrane in endothelial cells. View our protocol for IHC Staining with VisUCyte HRP Polymer Detection Reagents.

Applications for Human/Mouse JAM-B/VE-JAM Antibody

Application
Recommended Usage

Immunohistochemistry

3-25 µg/mL
Sample: Immersion fixed paraffin-embedded sections of human tonsil

Simple Western

20 µg/mL
Sample: Human placenta tissue and human testis tissue

Western Blot

1-2 µg/mL
Sample: Human placenta tissue, human testis tissue, bEnd.3 mouse endothelioma cell line, and SVEC4‑10 mouse vascular endothelial cell line

Neutralization

Measured by its ability to neutralize JAM-B/VE-JAM-mediated adhesion of the J45.01 human acute lymphoblastic leukemia T lymphocyte cell line. Fong, S. et al. (2002) J. Immunol. 168:1618. The Neutralization Dose (ND50) is typically 0.2-0.8 µg/mL in the presence of 0.2 µg/mL Recombinant Human JAM-B/VE-JAM Fc Chimera.

Reviewed Applications

Read 1 review rated 4 using AF1074 in the following applications:

Formulation, Preparation, and Storage

Purification

Antigen Affinity-purified

Reconstitution

Reconstitute at 0.2 mg/mL in sterile PBS. For liquid material, refer to CoA for concentration.

Reconstitution Buffer Available:
Size / Price
Qty
Loading...

Formulation

Lyophilized from a 0.2 μm filtered solution in PBS with Trehalose. *Small pack size (SP) is supplied either lyophilized or as a 0.2 µm filtered solution in PBS.

Shipping

Lyophilized product is shipped at ambient temperature. Liquid small pack size (-SP) is shipped with polar packs. Upon receipt, store immediately at the temperature recommended below.

Stability & Storage

Use a manual defrost freezer and avoid repeated freeze-thaw cycles.
  • 12 months from date of receipt, -20 to -70 °C as supplied.
  • 1 month, 2 to 8 °C under sterile conditions after reconstitution.
  • 6 months, -20 to -70 °C under sterile conditions after reconstitution.

Background: JAM-B/VE-JAM

The family of juctional adhesion molecules (JAM), comprising at least three members, are type I transmembrane receptors belonging to the immunoglobulin (Ig) superfamily (1, 2). These proteins are localized in the tight junctions between endothelial cells or epithelial cells. Some family members are also found on blood leukocytes and platelets. JAM-B, alternatively named vascular endothelial JAM (VE-JAM), is expressed prominently on high endothelial venules of lymphoid organs where it is localized to the intercellular boundaries of high endothelial cells. It is also expressed on the endothelium of a variety of non-lymphoid organs, especially the heart and placenta (3, 5). Human JAM-B cDNA predicts a 298 amino acid residue (aa) precursor protein with a putative 28 aa signal peptide, a 209 aa extracellular region containing two Ig domains, a 23 aa transmembrane domain and a 38 aa cytoplasmic domain containing a PDZ-binding motif and a PKC phosphorylation site. Human JAM-B shares approximately 79% aa sequence homology with its mouse homologue. It also shares approximately 35% aa sequence homology with human JAM-A or JAM-C. JAM-B exhibits homotypic interactions, as well as heterotypic interactions with JAM-C, but not JAM-A (4, 5, 7). It is also a ligand for the integrin alpha4 beta1. However, the JAM-B/ alpha4 beta1 interaction is facilitated only after prior adhesion of JAM-B to JAM-C (6). Through its heterotypic interactions with JAM-C, JAM-B is an adhesive ligand for T, NK, and dendritic cells, and may play a role in regulating leukocyte transmigration (5).

The nomenclature used for the JAM family proteins is confusing. VE-JAM has been referred in the literature variously as JAM-B or JAM-3. Until further clarification, R&D Systems has adopted the nomenclature where both mouse and human VE-JAM are referred to as JAM-B.

References

  1. Chavakis, T. et al. (2003) Thromb. Haemost. 89:13.
  2. Aurand-Lions, M. et al. (2001) Blood 98:3699.
  3. Palmeri, A. et al. (2000) J. Biol. Chem. 275:19139.
  4. Cunnigham, S. et al. (2000) J. Biol. Chem. 275:34750.
  5. Liang, T. et al. (2002) J. Immunol. 168:1618.
  6. Cunningham, A. et al. (2002) J Biol. Chem. 277:27589.
  7. Arrate, M. et al. (2001) J. Biol. Chem. 276:45826.

Long Name

Junctional Adhesion Molecule B

Alternate Names

CD322, JAM2, JAMB, VE-JAM

Entrez Gene IDs

58494 (Human); 67374 (Mouse)

Gene Symbol

JAM2

UniProt

Additional JAM-B/VE-JAM Products

Product Documents for Human/Mouse JAM-B/VE-JAM Antibody

Certificate of Analysis

To download a Certificate of Analysis, please enter a lot number in the search box below.

Note: Certificate of Analysis not available for kit components.

Product Specific Notices for Human/Mouse JAM-B/VE-JAM Antibody

For research use only

Loading...
Loading...
Loading...
Loading...